ARE COVID-19 PNEUMONIA FINDINGS DIFFERENT BETWEEN COMORBID AND NON-COMORBID PATIENTS? THE HIGH RESOLUTION COMPUTED TOMOGRAPHY FEATURES OF THE 108 FOLLOW-UP PATIENTS.

IF 0.8 4区 医学 Q3 MEDICINE, GENERAL & INTERNAL
Ayşe Özlem Balık, Buket Yagci, Recep Balik, Ulaş Yalim Uncu
{"title":"ARE COVID-19 PNEUMONIA FINDINGS DIFFERENT BETWEEN COMORBID AND NON-COMORBID PATIENTS? THE HIGH RESOLUTION COMPUTED TOMOGRAPHY FEATURES OF THE 108 FOLLOW-UP PATIENTS.","authors":"Ayşe Özlem Balık, Buket Yagci, Recep Balik, Ulaş Yalim Uncu","doi":"10.20471/acc.2024.63.02.2","DOIUrl":null,"url":null,"abstract":"<p><p>The aim was to compare the computed tomography (CT) semi-quantitative severity scoring (CT-SS) system assessments of COVID-19 pneumonia on initial and follow-up examinations according to the presence of comorbidities. Of the 278 real-time reverse transcription-polymerase chain reaction positive patients, 108 with a follow-up CT scan were evaluated. Then, all CT images were independently reviewed for CT-SS analysis by two reviewers. Reviewers were unaware of the patient laboratory and clinical findings. A quarter of patients had negative findings on their initial CTs. Sixty-one (56.4%) patients showed progression. Disease progression was more frequently observed in patients with type 2 diabetes mellitus (DM) and malignancies (p=0.044 and p=0.019, respectively). Follow-up CTs of patients with comorbidities, especially those with cardiovascular disease (56.4%) and type 2 DM (70.0%), demonstrated an increased frequency of diffuse involvement. The white lung sign was more frequently observed in patients with malignancies (60.0%). In this study, COVID-19 patients with comorbidity showed a higher rate of disease progression than those without comorbidity. Patients with comorbidities more frequently had severe CT findings with high CT-SS. These findings may serve as a guide in the COVID-19 pneumonia follow-up and treatment.</p>","PeriodicalId":7072,"journal":{"name":"Acta clinica Croatica","volume":"63 2","pages":"260-274"},"PeriodicalIF":0.8000,"publicationDate":"2024-10-01","publicationTypes":"Journal Article","fieldsOfStudy":null,"isOpenAccess":false,"openAccessPdf":"https://www.ncbi.nlm.nih.gov/pmc/articles/PMC11912856/pdf/","citationCount":"0","resultStr":null,"platform":"Semanticscholar","paperid":null,"PeriodicalName":"Acta clinica Croatica","FirstCategoryId":"3","ListUrlMain":"https://doi.org/10.20471/acc.2024.63.02.2","RegionNum":4,"RegionCategory":"医学","ArticlePicture":[],"TitleCN":null,"AbstractTextCN":null,"PMCID":null,"EPubDate":"","PubModel":"","JCR":"Q3","JCRName":"MEDICINE, GENERAL & INTERNAL","Score":null,"Total":0}
引用次数: 0

Abstract

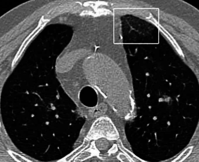
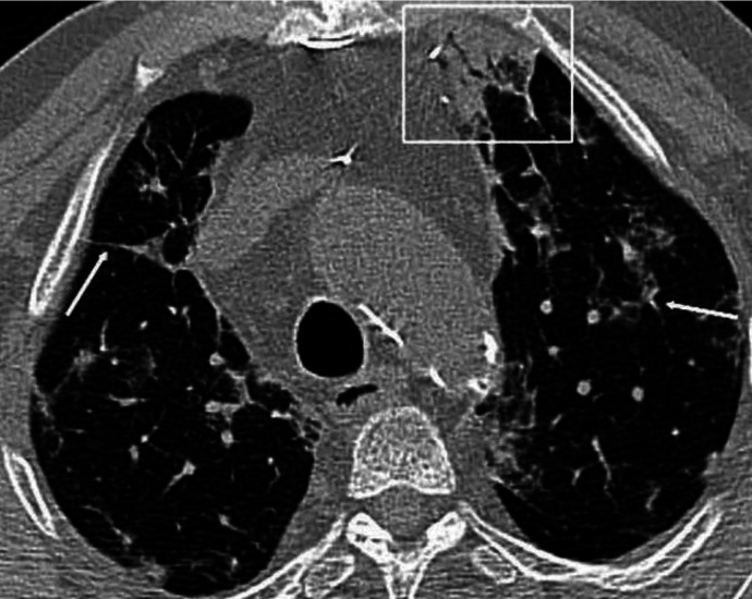
The aim was to compare the computed tomography (CT) semi-quantitative severity scoring (CT-SS) system assessments of COVID-19 pneumonia on initial and follow-up examinations according to the presence of comorbidities. Of the 278 real-time reverse transcription-polymerase chain reaction positive patients, 108 with a follow-up CT scan were evaluated. Then, all CT images were independently reviewed for CT-SS analysis by two reviewers. Reviewers were unaware of the patient laboratory and clinical findings. A quarter of patients had negative findings on their initial CTs. Sixty-one (56.4%) patients showed progression. Disease progression was more frequently observed in patients with type 2 diabetes mellitus (DM) and malignancies (p=0.044 and p=0.019, respectively). Follow-up CTs of patients with comorbidities, especially those with cardiovascular disease (56.4%) and type 2 DM (70.0%), demonstrated an increased frequency of diffuse involvement. The white lung sign was more frequently observed in patients with malignancies (60.0%). In this study, COVID-19 patients with comorbidity showed a higher rate of disease progression than those without comorbidity. Patients with comorbidities more frequently had severe CT findings with high CT-SS. These findings may serve as a guide in the COVID-19 pneumonia follow-up and treatment.

Abstract Image

Abstract Image

Abstract Image

合并症和非合并症患者的COVID-19肺炎检查结果不同吗?108例随访患者的高分辨率计算机断层扫描特征。
目的是比较计算机断层扫描(CT)半定量严重程度评分(CT- ss)系统评估COVID-19肺炎在初始和随访检查中是否存在合并症。278例实时逆转录聚合酶链反应阳性患者中,108例随访CT扫描进行评估。然后,所有CT图像由两名审稿人独立审阅,进行CT- ss分析。审稿人不知道患者的实验室和临床结果。四分之一的患者最初的ct检查结果为阴性。61例(56.4%)患者出现进展。疾病进展在2型糖尿病(DM)和恶性肿瘤患者中更为常见(p=0.044和p=0.019)。伴有合并症的患者,尤其是心血管疾病患者(56.4%)和2型糖尿病患者(70.0%)的随访ct显示弥漫性受累的频率增加。白色肺征以恶性肿瘤患者多见(60.0%)。在本研究中,有合并症的COVID-19患者的疾病进展率高于无合并症的患者。有合并症的患者往往有严重的CT表现和高CT- ss。这些发现可为COVID-19肺炎随访和治疗提供指导。
本文章由计算机程序翻译,如有差异,请以英文原文为准。
求助全文
约1分钟内获得全文 求助全文
来源期刊
Acta clinica Croatica
Acta clinica Croatica 医学-医学:内科
CiteScore
1.10
自引率
16.70%
发文量
38
审稿时长
6-12 weeks
期刊介绍: Acta Clinica Croatica is a peer reviewed general medical journal that publishes original articles that advance and improve medical science and practice and that serve the purpose of transfer of original and valuable information to journal readers. Acta Clinica Croatica is published in English four times a year.
×
引用
GB/T 7714-2015
复制
MLA
复制
APA
复制
导出至
BibTeX EndNote RefMan NoteFirst NoteExpress
×
提示
您的信息不完整,为了账户安全,请先补充。
现在去补充
×
提示
您因"违规操作"
具体请查看互助需知
我知道了
×
提示
确定
请完成安全验证×
copy
已复制链接
快去分享给好友吧!
我知道了
右上角分享
点击右上角分享
0
联系我们:info@booksci.cn Book学术提供免费学术资源搜索服务,方便国内外学者检索中英文文献。致力于提供最便捷和优质的服务体验。 Copyright © 2023 布克学术 All rights reserved.
京ICP备2023020795号-1
ghs 京公网安备 11010802042870号
Book学术文献互助
Book学术文献互助群
群 号:604180095
Book学术官方微信