INTESTINAL OBSTRUCTION AS A RESULT OF PANCREATIC ECTOPY IN JEJUNUM: A CASE REPORT AND LITERATURE REVIEW.

IF 0.8 4区 医学 Q3 MEDICINE, GENERAL & INTERNAL
Matilda Đolai, Milena Šunjević, Ana Dražin, Predrag Petrović, Slobodan Torbica, Sandra Trivunić Dajko
{"title":"INTESTINAL OBSTRUCTION AS A RESULT OF PANCREATIC ECTOPY IN JEJUNUM: A CASE REPORT AND LITERATURE REVIEW.","authors":"Matilda Đolai, Milena Šunjević, Ana Dražin, Predrag Petrović, Slobodan Torbica, Sandra Trivunić Dajko","doi":"10.20471/acc.2024.63.02.18","DOIUrl":null,"url":null,"abstract":"<p><p>Pancreatic heterotopia is a relatively rare condition that implies pancreatic tissue anatomically separated from the main gland, showing no vascular or ductal continuity. It is known to occur in many sites of gastrointestinal tract, with stomach being the most common one. This case is of great interest because ectopic pancreatic tissue in jejunal wall presented as bowel obstruction. The aim of this article is to provide a review of clinical, histopathologic and immunohistochemical features of ectopic pancreatic tissue in jejunum, emphasizing the possible diagnostic pitfalls in gastrointestinal tract, especially in its upper parts. Knowing the most common locations, imaging features and histopathologic criteria, the diagnosis of pancreatic heterotopia could be successfully set preoperatively. Associated complications are various and sometimes difficult to handle, so accurate and precise diagnosis, as well as surgical resection, is often needed.</p>","PeriodicalId":7072,"journal":{"name":"Acta clinica Croatica","volume":"63 2","pages":"413-417"},"PeriodicalIF":0.8000,"publicationDate":"2024-10-01","publicationTypes":"Journal Article","fieldsOfStudy":null,"isOpenAccess":false,"openAccessPdf":"https://www.ncbi.nlm.nih.gov/pmc/articles/PMC11912852/pdf/","citationCount":"0","resultStr":null,"platform":"Semanticscholar","paperid":null,"PeriodicalName":"Acta clinica Croatica","FirstCategoryId":"3","ListUrlMain":"https://doi.org/10.20471/acc.2024.63.02.18","RegionNum":4,"RegionCategory":"医学","ArticlePicture":[],"TitleCN":null,"AbstractTextCN":null,"PMCID":null,"EPubDate":"","PubModel":"","JCR":"Q3","JCRName":"MEDICINE, GENERAL & INTERNAL","Score":null,"Total":0}
引用次数: 0

Abstract

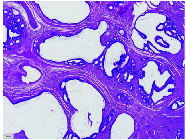
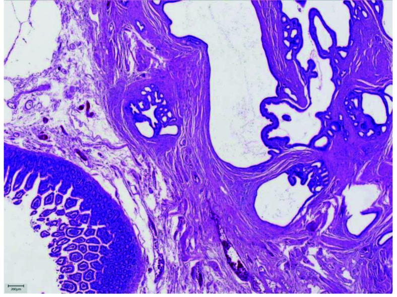
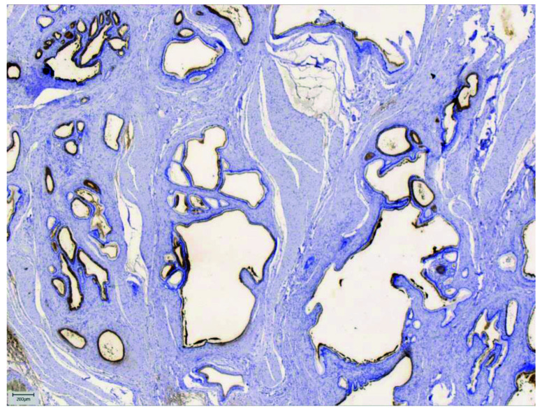
Pancreatic heterotopia is a relatively rare condition that implies pancreatic tissue anatomically separated from the main gland, showing no vascular or ductal continuity. It is known to occur in many sites of gastrointestinal tract, with stomach being the most common one. This case is of great interest because ectopic pancreatic tissue in jejunal wall presented as bowel obstruction. The aim of this article is to provide a review of clinical, histopathologic and immunohistochemical features of ectopic pancreatic tissue in jejunum, emphasizing the possible diagnostic pitfalls in gastrointestinal tract, especially in its upper parts. Knowing the most common locations, imaging features and histopathologic criteria, the diagnosis of pancreatic heterotopia could be successfully set preoperatively. Associated complications are various and sometimes difficult to handle, so accurate and precise diagnosis, as well as surgical resection, is often needed.

Abstract Image

Abstract Image

Abstract Image

空肠胰异位致肠梗阻1例并文献复习。
胰腺异位是一种相对罕见的情况,意味着胰腺组织在解剖上与主腺体分离,没有血管或导管的连续性。已知它发生在胃肠道的许多部位,胃是最常见的。这个病例是非常有趣的,因为异位胰腺组织在空肠壁表现为肠梗阻。本文旨在综述空肠异位胰腺组织的临床、组织病理学和免疫组织化学特征,强调胃肠道,特别是上半部分可能的诊断缺陷。了解最常见的位置、影像学特征和组织病理学标准,可以成功地在术前确定胰腺异位的诊断。相关并发症多种多样,有时难以处理,因此经常需要准确和精确的诊断以及手术切除。
本文章由计算机程序翻译,如有差异,请以英文原文为准。
求助全文
约1分钟内获得全文 求助全文
来源期刊
Acta clinica Croatica
Acta clinica Croatica 医学-医学:内科
CiteScore
1.10
自引率
16.70%
发文量
38
审稿时长
6-12 weeks
期刊介绍: Acta Clinica Croatica is a peer reviewed general medical journal that publishes original articles that advance and improve medical science and practice and that serve the purpose of transfer of original and valuable information to journal readers. Acta Clinica Croatica is published in English four times a year.
×
引用
GB/T 7714-2015
复制
MLA
复制
APA
复制
导出至
BibTeX EndNote RefMan NoteFirst NoteExpress
×
提示
您的信息不完整,为了账户安全,请先补充。
现在去补充
×
提示
您因"违规操作"
具体请查看互助需知
我知道了
×
提示
确定
请完成安全验证×
copy
已复制链接
快去分享给好友吧!
我知道了
右上角分享
点击右上角分享
0
联系我们:info@booksci.cn Book学术提供免费学术资源搜索服务,方便国内外学者检索中英文文献。致力于提供最便捷和优质的服务体验。 Copyright © 2023 布克学术 All rights reserved.
京ICP备2023020795号-1
ghs 京公网安备 11010802042870号
Book学术文献互助
Book学术文献互助群
群 号:604180095
Book学术官方微信