COMBINED ENDOVASCULAR REPAIR OF AORTA AND REMOVAL OF PENETRATING PEDICLE SCREW AFTER POSTERIOR INSTRUMENTATION: A CASE REPORT AND LITERATURE REVIEW.

IF 0.8 4区 医学 Q3 MEDICINE, GENERAL & INTERNAL
Dean Girotto, Josip Burić, Hrvoje Šimić, Vjekoslav Tomulić, Tomislav Jakljević, Zvonimir Kvas
{"title":"COMBINED ENDOVASCULAR REPAIR OF AORTA AND REMOVAL OF PENETRATING PEDICLE SCREW AFTER POSTERIOR INSTRUMENTATION: A CASE REPORT AND LITERATURE REVIEW.","authors":"Dean Girotto, Josip Burić, Hrvoje Šimić, Vjekoslav Tomulić, Tomislav Jakljević, Zvonimir Kvas","doi":"10.20471/acc.2024.63.02.20","DOIUrl":null,"url":null,"abstract":"<p><p>Stabilization of spine using transpedicular screws is the most commonly used instrumentation technique among spinal surgeons. The 'free hand' technique is considered relatively safe and can be performed under x-ray control. Vascular injuries with misplaced screws are rare but potentially fatal complications. Injury of thoracoabdominal aorta by malpositioned screw demands a multidisciplinary approach. Injury of vessel wall might demand screw removal and vessel wall repair. Here we present a case of 72-year-old female patient who underwent long segment fixation of thoracolumbar spine. During follow up, computed tomography (CT) scan and afterwards aortography showed a lesion of the posterior aortic wall by malpositioned screw without signs of bleeding. After meticulous preparation, combined endovascular repair with stent-graft and removal of the penetrating screw were performed. Endovascular treatment was performed simultaneously with screw removal. During screw removal, the patient was in lateral decubital position. The patient was discharged on postoperative day 8. Follow up CT aortography 6 months later showed no leak or other changes in the aorta. We found combined endovascular vessel repair with simultaneous screw removal safe and sufficient for this kind of aortic injury. Although lateral decubital position bears limitations, it gives enough space for the operator. Performing intraoperative aortography provides good insight into stent position and possible bleeding after screw removal.</p>","PeriodicalId":7072,"journal":{"name":"Acta clinica Croatica","volume":"63 2","pages":"422-430"},"PeriodicalIF":0.8000,"publicationDate":"2024-10-01","publicationTypes":"Journal Article","fieldsOfStudy":null,"isOpenAccess":false,"openAccessPdf":"https://www.ncbi.nlm.nih.gov/pmc/articles/PMC11912848/pdf/","citationCount":"0","resultStr":null,"platform":"Semanticscholar","paperid":null,"PeriodicalName":"Acta clinica Croatica","FirstCategoryId":"3","ListUrlMain":"https://doi.org/10.20471/acc.2024.63.02.20","RegionNum":4,"RegionCategory":"医学","ArticlePicture":[],"TitleCN":null,"AbstractTextCN":null,"PMCID":null,"EPubDate":"","PubModel":"","JCR":"Q3","JCRName":"MEDICINE, GENERAL & INTERNAL","Score":null,"Total":0}
引用次数: 0

Abstract

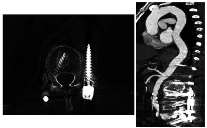
Stabilization of spine using transpedicular screws is the most commonly used instrumentation technique among spinal surgeons. The 'free hand' technique is considered relatively safe and can be performed under x-ray control. Vascular injuries with misplaced screws are rare but potentially fatal complications. Injury of thoracoabdominal aorta by malpositioned screw demands a multidisciplinary approach. Injury of vessel wall might demand screw removal and vessel wall repair. Here we present a case of 72-year-old female patient who underwent long segment fixation of thoracolumbar spine. During follow up, computed tomography (CT) scan and afterwards aortography showed a lesion of the posterior aortic wall by malpositioned screw without signs of bleeding. After meticulous preparation, combined endovascular repair with stent-graft and removal of the penetrating screw were performed. Endovascular treatment was performed simultaneously with screw removal. During screw removal, the patient was in lateral decubital position. The patient was discharged on postoperative day 8. Follow up CT aortography 6 months later showed no leak or other changes in the aorta. We found combined endovascular vessel repair with simultaneous screw removal safe and sufficient for this kind of aortic injury. Although lateral decubital position bears limitations, it gives enough space for the operator. Performing intraoperative aortography provides good insight into stent position and possible bleeding after screw removal.

Abstract Image

Abstract Image

Abstract Image

后路内固定后联合血管内修复主动脉并取出穿透椎弓根螺钉1例并文献复习。
椎弓根螺钉是脊柱外科医生最常用的内固定技术。“自由手”技术被认为是相对安全的,可以在x射线控制下进行。错位螺钉引起的血管损伤是罕见的,但可能是致命的并发症。胸腹主动脉螺钉错位损伤需要多学科联合治疗。血管壁损伤可能需要取下螺钉进行血管壁修复。我们在此报告一位72岁的女性病患,接受胸腰椎长节段固定。在随访期间,计算机断层扫描(CT)和随后的主动脉造影显示主动脉后壁病变,螺钉定位不当,无出血迹象。经过精心的准备,血管内修复联合支架移植和取出穿透螺钉。血管内治疗与螺钉取出同时进行。螺钉取出时,患者为侧卧位。患者于术后第8天出院。6个月后随访CT主动脉造影,未见主动脉渗漏或其他改变。我们发现联合血管内修复术同时取下螺钉是安全且足够治疗这种主动脉损伤的。虽然侧卧位有局限性,但它给操作者提供了足够的空间。术中主动脉造影可以很好地了解支架位置和螺钉取出后可能出现的出血。
本文章由计算机程序翻译,如有差异,请以英文原文为准。
求助全文
约1分钟内获得全文 求助全文
来源期刊
Acta clinica Croatica
Acta clinica Croatica 医学-医学:内科
CiteScore
1.10
自引率
16.70%
发文量
38
审稿时长
6-12 weeks
期刊介绍: Acta Clinica Croatica is a peer reviewed general medical journal that publishes original articles that advance and improve medical science and practice and that serve the purpose of transfer of original and valuable information to journal readers. Acta Clinica Croatica is published in English four times a year.
×
引用
GB/T 7714-2015
复制
MLA
复制
APA
复制
导出至
BibTeX EndNote RefMan NoteFirst NoteExpress
×
提示
您的信息不完整,为了账户安全,请先补充。
现在去补充
×
提示
您因"违规操作"
具体请查看互助需知
我知道了
×
提示
确定
请完成安全验证×
copy
已复制链接
快去分享给好友吧!
我知道了
右上角分享
点击右上角分享
0
联系我们:info@booksci.cn Book学术提供免费学术资源搜索服务,方便国内外学者检索中英文文献。致力于提供最便捷和优质的服务体验。 Copyright © 2023 布克学术 All rights reserved.
京ICP备2023020795号-1
ghs 京公网安备 11010802042870号
Book学术文献互助
Book学术文献互助群
群 号:604180095
Book学术官方微信