Calcifying Odontogenic Cyst in Posterior Maxilla: A Case Report.

Farhad Ghorbani, Mohammad Amin Amiri, Mohammad Mehdi Farahmand, Saeed Afzoun, Maryam Paknahad
{"title":"Calcifying Odontogenic Cyst in Posterior Maxilla: A Case Report.","authors":"Farhad Ghorbani, Mohammad Amin Amiri, Mohammad Mehdi Farahmand, Saeed Afzoun, Maryam Paknahad","doi":"10.30476/dentjods.2024.102636.2375","DOIUrl":null,"url":null,"abstract":"<p><p>In the present study, we reported a 66-year-old woman with an uncommonly painful calcifying odontogenic cyst (COC) in the posterior region of the left side of the maxilla. The cyst was evaluated radiographically and histopathologically. The present case showed a multilocular cyst with a mixed internal structure. The most noticeable effects on the peripheral structures were elevated maxillary sinus floor, osteomeatal complex, and nasal obstruction. To better understand the impact of COC on the trabecular pattern of the surrounding bone, we performed fractal analysis on the panoramic images pre- and post-operatively. The expansion of COC can change the trabecular pattern, which subsequently can change the fractal dimension of the area. After histopathological confirmation of the diagnosis, the cyst was surgically removed.</p>","PeriodicalId":73702,"journal":{"name":"Journal of dentistry (Shiraz, Iran)","volume":"26 1","pages":"88-94"},"PeriodicalIF":0.0000,"publicationDate":"2025-03-01","publicationTypes":"Journal Article","fieldsOfStudy":null,"isOpenAccess":false,"openAccessPdf":"https://www.ncbi.nlm.nih.gov/pmc/articles/PMC11909402/pdf/","citationCount":"0","resultStr":null,"platform":"Semanticscholar","paperid":null,"PeriodicalName":"Journal of dentistry (Shiraz, Iran)","FirstCategoryId":"1085","ListUrlMain":"https://doi.org/10.30476/dentjods.2024.102636.2375","RegionNum":0,"RegionCategory":null,"ArticlePicture":[],"TitleCN":null,"AbstractTextCN":null,"PMCID":null,"EPubDate":"","PubModel":"","JCR":"","JCRName":"","Score":null,"Total":0}
引用次数: 0

Abstract

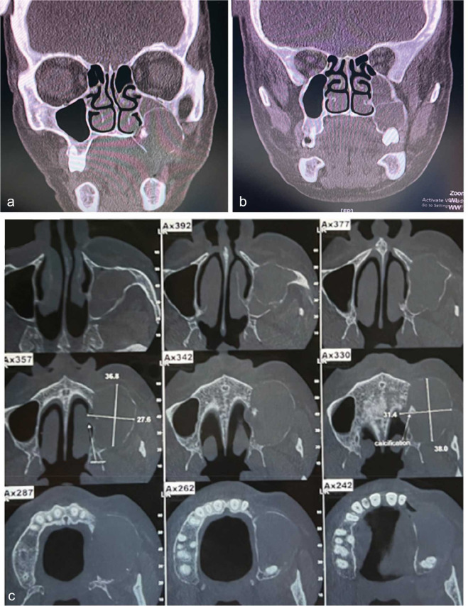
In the present study, we reported a 66-year-old woman with an uncommonly painful calcifying odontogenic cyst (COC) in the posterior region of the left side of the maxilla. The cyst was evaluated radiographically and histopathologically. The present case showed a multilocular cyst with a mixed internal structure. The most noticeable effects on the peripheral structures were elevated maxillary sinus floor, osteomeatal complex, and nasal obstruction. To better understand the impact of COC on the trabecular pattern of the surrounding bone, we performed fractal analysis on the panoramic images pre- and post-operatively. The expansion of COC can change the trabecular pattern, which subsequently can change the fractal dimension of the area. After histopathological confirmation of the diagnosis, the cyst was surgically removed.

Abstract Image

Abstract Image

Abstract Image

上颌骨后牙源性钙化囊肿1例。
在本研究中,我们报告了一位66岁的女性,她在上颌骨左侧后区域患有罕见的疼痛钙化牙源性囊肿(COC)。对囊肿进行了影像学和组织病理学检查。本病例为多房囊肿,内部结构混合性。对周围结构最显著的影响是上颌窦底升高、骨道复核和鼻塞。为了更好地了解COC对周围骨小梁形态的影响,我们对术前和术后的全景图像进行了分形分析。COC的扩展可以改变区域的小梁格局,进而改变区域的分形维数。经组织病理学确诊后,手术切除囊肿。
本文章由计算机程序翻译,如有差异,请以英文原文为准。
求助全文
约1分钟内获得全文 求助全文
来源期刊
CiteScore
0.50
自引率
0.00%
发文量
0
×
引用
GB/T 7714-2015
复制
MLA
复制
APA
复制
导出至
BibTeX EndNote RefMan NoteFirst NoteExpress
×
提示
您的信息不完整,为了账户安全,请先补充。
现在去补充
×
提示
您因"违规操作"
具体请查看互助需知
我知道了
×
提示
确定
请完成安全验证×
copy
已复制链接
快去分享给好友吧!
我知道了
右上角分享
点击右上角分享
0
联系我们:info@booksci.cn Book学术提供免费学术资源搜索服务,方便国内外学者检索中英文文献。致力于提供最便捷和优质的服务体验。 Copyright © 2023 布克学术 All rights reserved.
京ICP备2023020795号-1
ghs 京公网安备 11010802042870号
Book学术文献互助
Book学术文献互助群
群 号:604180095
Book学术官方微信