Outcomes with radiotherapy in multimodality treatment for hepatocellular carcinoma with portal vein tumour thrombosis.

IF 2.1
BJR open Pub Date : 2025-02-18 eCollection Date: 2025-01-01 DOI:10.1093/bjro/tzaf002
Puja Sahai, Hanuman Prasad Yadav, Ashok Choudhury, Saggere Muralikrishna Shasthry, Ankur Jindal, Aprajita Mall, Amar Mukund, Yashwant Patidar, Mangu Srinivas Bharadwaj, Bangkim Chandra Khangembam, Guresh Kumar, Archana Rastogi, Viniyendra Pamecha
{"title":"Outcomes with radiotherapy in multimodality treatment for hepatocellular carcinoma with portal vein tumour thrombosis.","authors":"Puja Sahai, Hanuman Prasad Yadav, Ashok Choudhury, Saggere Muralikrishna Shasthry, Ankur Jindal, Aprajita Mall, Amar Mukund, Yashwant Patidar, Mangu Srinivas Bharadwaj, Bangkim Chandra Khangembam, Guresh Kumar, Archana Rastogi, Viniyendra Pamecha","doi":"10.1093/bjro/tzaf002","DOIUrl":null,"url":null,"abstract":"<p><strong>Objectives: </strong>The purpose of the present study was to evaluate outcomes with radiation therapy (RT) in multimodality treatment for inoperable hepatocellular carcinoma (HCC) with portal vein tumour thrombosis (PVTT).</p><p><strong>Methods: </strong>The present retrospective study included 24 patients without extrahepatic metastases. The patients had received drug eluting beads - transarterial chemoembolization (DEB-TACE) (<i>n</i> = 10) and systemic treatment (<i>n</i> = 14) before RT. The dose fractionation was 12-31.5 Gy in 3-7 fractions of 4-5 Gy to PVTT or PVTT plus the liver parenchymal tumour. All patients were advised systemic treatment with sorafenib, lenvatinib, or nivolumab after RT. After RT, patients had received DEB-TACE within 8 weeks (<i>n</i> = 2) or at 5-10 months (<i>n</i> = 3). Treatment response was evaluated as per mRECIST and PERCIST, and Kaplan-Meier survival analysis was performed.</p><p><strong>Results: </strong>The disease control rate in PVTT was 50% at 3 months. The median overall survival (OS) was 10.9 months (95% CI, 0.74-21) for all patients. The 6-month, 1-year, 2-year, and 3-year OS rates were 75%, 45.8%, 25%, and 12.5%, respectively. The median OS was 30.4 months (95% CI, 12.1-48.7) versus 18.1 months (0.00-38.8) with complete or partial response versus stable or progressive disease in PVTT (<i>P</i> = .036). Eleven patients had a decline in Child Pugh score of 2 or more points within 3 months after RT. One patient underwent live donor liver transplantation (LDLT) and complete necrosis with no viable tumour was observed in the explant. The patient is cancer- and liver disease-free at 1 year after LDLT.</p><p><strong>Conclusions: </strong>The present study showed the benefit of radiotherapy with systemic therapy and DEB-TACE in patients with HCC with PVTT.</p><p><strong>Advances in knowledge: </strong>Radiotherapy as part of the multimodality treatment offers the potential to improve disease control and survival in patients with HCC with PVTT.</p>","PeriodicalId":72419,"journal":{"name":"BJR open","volume":"7 1","pages":"tzaf002"},"PeriodicalIF":2.1000,"publicationDate":"2025-02-18","publicationTypes":"Journal Article","fieldsOfStudy":null,"isOpenAccess":false,"openAccessPdf":"https://www.ncbi.nlm.nih.gov/pmc/articles/PMC11909637/pdf/","citationCount":"0","resultStr":null,"platform":"Semanticscholar","paperid":null,"PeriodicalName":"BJR open","FirstCategoryId":"1085","ListUrlMain":"https://doi.org/10.1093/bjro/tzaf002","RegionNum":0,"RegionCategory":null,"ArticlePicture":[],"TitleCN":null,"AbstractTextCN":null,"PMCID":null,"EPubDate":"2025/1/1 0:00:00","PubModel":"eCollection","JCR":"","JCRName":"","Score":null,"Total":0}
引用次数: 0

Abstract

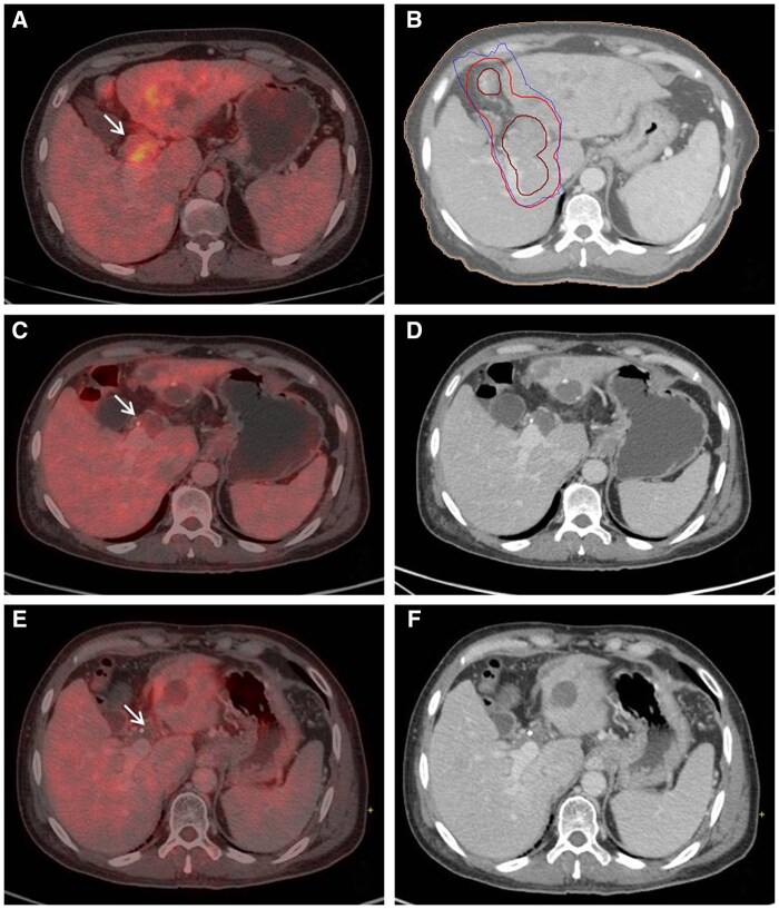
Objectives: The purpose of the present study was to evaluate outcomes with radiation therapy (RT) in multimodality treatment for inoperable hepatocellular carcinoma (HCC) with portal vein tumour thrombosis (PVTT).

Methods: The present retrospective study included 24 patients without extrahepatic metastases. The patients had received drug eluting beads - transarterial chemoembolization (DEB-TACE) (n = 10) and systemic treatment (n = 14) before RT. The dose fractionation was 12-31.5 Gy in 3-7 fractions of 4-5 Gy to PVTT or PVTT plus the liver parenchymal tumour. All patients were advised systemic treatment with sorafenib, lenvatinib, or nivolumab after RT. After RT, patients had received DEB-TACE within 8 weeks (n = 2) or at 5-10 months (n = 3). Treatment response was evaluated as per mRECIST and PERCIST, and Kaplan-Meier survival analysis was performed.

Results: The disease control rate in PVTT was 50% at 3 months. The median overall survival (OS) was 10.9 months (95% CI, 0.74-21) for all patients. The 6-month, 1-year, 2-year, and 3-year OS rates were 75%, 45.8%, 25%, and 12.5%, respectively. The median OS was 30.4 months (95% CI, 12.1-48.7) versus 18.1 months (0.00-38.8) with complete or partial response versus stable or progressive disease in PVTT (P = .036). Eleven patients had a decline in Child Pugh score of 2 or more points within 3 months after RT. One patient underwent live donor liver transplantation (LDLT) and complete necrosis with no viable tumour was observed in the explant. The patient is cancer- and liver disease-free at 1 year after LDLT.

Conclusions: The present study showed the benefit of radiotherapy with systemic therapy and DEB-TACE in patients with HCC with PVTT.

Advances in knowledge: Radiotherapy as part of the multimodality treatment offers the potential to improve disease control and survival in patients with HCC with PVTT.

Abstract Image

Abstract Image

Abstract Image

门静脉肿瘤血栓形成肝细胞癌多模式治疗中放射治疗的疗效。
目的:本研究的目的是评估放射治疗(RT)在多模式治疗不能手术的肝细胞癌(HCC)合并门静脉肿瘤血栓形成(PVTT)的结果。方法:回顾性研究24例无肝外转移的患者。术前接受药物洗脱珠-经动脉化疗栓塞(debtace) (n = 10)及全身治疗(n = 14),剂量为12-31.5 Gy,分3-7组,每组4-5 Gy至PVTT或PVTT合并肝实质肿瘤。建议所有患者在RT后接受索拉非尼、lenvatinib或nivolumab的全身治疗。RT后,患者在8周(n = 2)或5-10个月(n = 3)接受deba - tace治疗。根据mRECIST和PERCIST评估治疗反应,并进行Kaplan-Meier生存分析。结果:PVTT患者3个月时疾病控制率为50%。所有患者中位总生存期(OS)为10.9个月(95% CI, 0.74-21)。6个月、1年、2年和3年的总生存率分别为75%、45.8%、25%和12.5%。PVTT患者的中位OS为30.4个月(95% CI, 12.1-48.7)和18.1个月(0.00-38.8),完全缓解或部分缓解vs疾病稳定或进展(P = 0.036)。11例患者在rt后3个月内Child Pugh评分下降2分或以上。1例患者接受活体供肝移植(LDLT),移植体完全坏死,无活肿瘤。患者在LDLT术后1年无癌症和肝脏疾病。结论:本研究显示放疗联合全身治疗和debtace治疗肝癌合并PVTT患者的益处。知识进展:放疗作为多模式治疗的一部分,有可能改善伴有PVTT的HCC患者的疾病控制和生存。
本文章由计算机程序翻译,如有差异,请以英文原文为准。
求助全文
约1分钟内获得全文 求助全文
来源期刊
自引率
0.00%
发文量
0
审稿时长
18 weeks
×
引用
GB/T 7714-2015
复制
MLA
复制
APA
复制
导出至
BibTeX EndNote RefMan NoteFirst NoteExpress
×
提示
您的信息不完整,为了账户安全,请先补充。
现在去补充
×
提示
您因"违规操作"
具体请查看互助需知
我知道了
×
提示
确定
请完成安全验证×
copy
已复制链接
快去分享给好友吧!
我知道了
右上角分享
点击右上角分享
0
联系我们:info@booksci.cn Book学术提供免费学术资源搜索服务,方便国内外学者检索中英文文献。致力于提供最便捷和优质的服务体验。 Copyright © 2023 布克学术 All rights reserved.
京ICP备2023020795号-1
ghs 京公网安备 11010802042870号
Book学术文献互助
Book学术文献互助群
群 号:604180095
Book学术官方微信