A simple cost-effective method for purification of Clostridium chauvoei cell-surface proteins for detection of antibodies against blackleg disease vaccine.

IF 1.1 4区 农林科学 Q3 ZOOLOGY
Veterinary Research Forum Pub Date : 2025-01-01 Epub Date: 2025-01-15 DOI:10.30466/vrf.2024.2023812.4190
Niusha Adib, Azadeh Zahmatkesh, Masoumeh Bagheri
{"title":"A simple cost-effective method for purification of <i>Clostridium chauvoei</i> cell-surface proteins for detection of antibodies against blackleg disease vaccine.","authors":"Niusha Adib, Azadeh Zahmatkesh, Masoumeh Bagheri","doi":"10.30466/vrf.2024.2023812.4190","DOIUrl":null,"url":null,"abstract":"<p><p>Cell-surface proteins of <i>Clostridium chauvoei</i> were purified using a simple method. Bacterial cultures were centrifuged and agitated vigorously in phosphate buffered saline with or without further glycine treatment and ammonium sulfate precipitation. Rabbits were immunized subcutaneously with a blackleg disease vaccine twice with a two-week interval. Immunized sera were collected one week after the second injection. Enzyme-linked immunosorbent assay (ELISA) was performed using the proteins purified by the second method as the coating antigen. Bradford assay results showed a higher protein concentration in the second than the first method. Sodium dodecyl-sulfate polyacrylamide gel electrophoresis analysis showed multiple bands for the cell-surface proteins of <i>C. chauvoei</i> in the first method and a sharp band equivalent to flagellin protein in the second method. The ELISA results indicated that the purified proteins were capable of detecting antibodies against Blackleg disease vaccine. The purified protein would be an alternative antigen for indirect ELISA in order to monitor the immune response in vaccinated farm animals.</p>","PeriodicalId":23989,"journal":{"name":"Veterinary Research Forum","volume":"16 1","pages":"57-61"},"PeriodicalIF":1.1000,"publicationDate":"2025-01-01","publicationTypes":"Journal Article","fieldsOfStudy":null,"isOpenAccess":false,"openAccessPdf":"https://www.ncbi.nlm.nih.gov/pmc/articles/PMC11905958/pdf/","citationCount":"0","resultStr":null,"platform":"Semanticscholar","paperid":null,"PeriodicalName":"Veterinary Research Forum","FirstCategoryId":"97","ListUrlMain":"https://doi.org/10.30466/vrf.2024.2023812.4190","RegionNum":4,"RegionCategory":"农林科学","ArticlePicture":[],"TitleCN":null,"AbstractTextCN":null,"PMCID":null,"EPubDate":"2025/1/15 0:00:00","PubModel":"Epub","JCR":"Q3","JCRName":"ZOOLOGY","Score":null,"Total":0}
引用次数: 0

Abstract

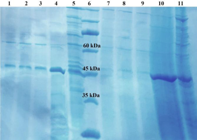
Cell-surface proteins of Clostridium chauvoei were purified using a simple method. Bacterial cultures were centrifuged and agitated vigorously in phosphate buffered saline with or without further glycine treatment and ammonium sulfate precipitation. Rabbits were immunized subcutaneously with a blackleg disease vaccine twice with a two-week interval. Immunized sera were collected one week after the second injection. Enzyme-linked immunosorbent assay (ELISA) was performed using the proteins purified by the second method as the coating antigen. Bradford assay results showed a higher protein concentration in the second than the first method. Sodium dodecyl-sulfate polyacrylamide gel electrophoresis analysis showed multiple bands for the cell-surface proteins of C. chauvoei in the first method and a sharp band equivalent to flagellin protein in the second method. The ELISA results indicated that the purified proteins were capable of detecting antibodies against Blackleg disease vaccine. The purified protein would be an alternative antigen for indirect ELISA in order to monitor the immune response in vaccinated farm animals.

Abstract Image

Abstract Image

黑腿病疫苗抗体检测用邵氏梭状芽胞杆菌细胞表面蛋白的纯化方法。
用简单的方法纯化了chauvoei梭状芽胞杆菌的细胞表面蛋白。细菌培养物在磷酸盐缓冲盐水中离心并剧烈搅拌,有或没有进一步的甘氨酸处理和硫酸铵沉淀。兔皮下接种黑腿病疫苗两次,间隔两周。第二次注射后1周采集免疫血清。用第二种方法纯化的蛋白作为包被抗原,进行酶联免疫吸附试验(ELISA)。Bradford实验结果表明,第二种方法的蛋白质浓度高于第一种方法。十二烷基硫酸钠聚丙烯酰胺凝胶电泳分析表明,第一种方法可检测到chauvoei细胞表面蛋白的多条条带,第二种方法可检测到相当于鞭毛蛋白的尖锐条带。ELISA结果表明,纯化的蛋白能够检测黑腿病疫苗的抗体。纯化后的蛋白可作为间接ELISA的替代抗原,以监测接种疫苗的农场动物的免疫反应。
本文章由计算机程序翻译,如有差异,请以英文原文为准。
求助全文
约1分钟内获得全文 求助全文
来源期刊
Veterinary Research Forum
Veterinary Research Forum Veterinary-General Veterinary
CiteScore
1.50
自引率
0.00%
发文量
0
审稿时长
8 weeks
期刊介绍: Veterinary Research Forum (VRF) is a quarterly international journal committed to publish worldwide contributions on all aspects of veterinary science and medicine, including anatomy and histology, physiology and pharmacology, anatomic and clinical pathology, parasitology, microbiology, immunology and epidemiology, food hygiene, poultry science, fish and aquaculture, anesthesia and surgery, large and small animal internal medicine, large and small animal reproduction, biotechnology and diagnostic imaging of domestic, companion and farm animals.
×
引用
GB/T 7714-2015
复制
MLA
复制
APA
复制
导出至
BibTeX EndNote RefMan NoteFirst NoteExpress
×
提示
您的信息不完整,为了账户安全,请先补充。
现在去补充
×
提示
您因"违规操作"
具体请查看互助需知
我知道了
×
提示
确定
请完成安全验证×
copy
已复制链接
快去分享给好友吧!
我知道了
右上角分享
点击右上角分享
0
联系我们:info@booksci.cn Book学术提供免费学术资源搜索服务,方便国内外学者检索中英文文献。致力于提供最便捷和优质的服务体验。 Copyright © 2023 布克学术 All rights reserved.
京ICP备2023020795号-1
ghs 京公网安备 11010802042870号
Book学术文献互助
Book学术文献互助群
群 号:604180095
Book学术官方微信