Focal Dorsal Enhancement of the Tympanic Bulla: An Early Indicator in Feline Otitis Media.

IF 1.5 2区 农林科学 Q2 VETERINARY SCIENCES
Joo-Young Lee, Jihye Choi, Seung-Jo Park, Jin-Woo Jung, Munsu Yun, Seonghyeon Baek, Kija Lee, Sang-Kwon Lee
{"title":"Focal Dorsal Enhancement of the Tympanic Bulla: An Early Indicator in Feline Otitis Media.","authors":"Joo-Young Lee, Jihye Choi, Seung-Jo Park, Jin-Woo Jung, Munsu Yun, Seonghyeon Baek, Kija Lee, Sang-Kwon Lee","doi":"10.1111/vru.70021","DOIUrl":null,"url":null,"abstract":"<p><p>Evaluating the morphological changes of the tympanic bulla and the contrast enhancement (CE) patterns are key factors in diagnosing otitis media and predicting its underlying etiology. However, limited research exists on the CE patterns of the tympanic bulla in cats with bulla effusion. This retrospective study aimed to investigate the prevalence and patterns of CE in the tympanic bulla based on the presence and severity of bulla effusion in cats. Feline head CT or brain MRI images from six institutions were analyzed. Transverse pre- and postcontrast CT and MRI images were reviewed to assess the presence and severity of bulla effusion, along with the presence, pattern, and location of tympanic bulla CE. A total of 644 tympanic bullae from 322 cats were included. Bulla effusion was detected in 105 of 644 bullae, while CE was observed in 73 of 644 bullae: 5 of 539 bullae without effusion and 68 of 105 bullae with effusion. CE was significantly more common in cats with bulla effusion, with the incidence increasing as effusion severity progressed. Focal rim enhancement, predominantly localized to the dorsal aspect of the tympanic bulla, was the most frequent enhancement pattern. In cases with mild or moderate bulla effusion, only focal dorsal enhancement was observed. However, in cats with severe bulla effusion, additional patterns, including focal ventral or lateral, complete rim, and internal enhancement, emerged. These findings suggest that both the incidence and patterns of CE evolve with the progression of bulla effusion in cats and that focal dorsal enhancement may be an early indicator.</p>","PeriodicalId":23581,"journal":{"name":"Veterinary Radiology & Ultrasound","volume":"66 2","pages":"e70021"},"PeriodicalIF":1.5000,"publicationDate":"2025-03-01","publicationTypes":"Journal Article","fieldsOfStudy":null,"isOpenAccess":false,"openAccessPdf":"https://www.ncbi.nlm.nih.gov/pmc/articles/PMC11911501/pdf/","citationCount":"0","resultStr":null,"platform":"Semanticscholar","paperid":null,"PeriodicalName":"Veterinary Radiology & Ultrasound","FirstCategoryId":"97","ListUrlMain":"https://doi.org/10.1111/vru.70021","RegionNum":2,"RegionCategory":"农林科学","ArticlePicture":[],"TitleCN":null,"AbstractTextCN":null,"PMCID":null,"EPubDate":"","PubModel":"","JCR":"Q2","JCRName":"VETERINARY SCIENCES","Score":null,"Total":0}
引用次数: 0

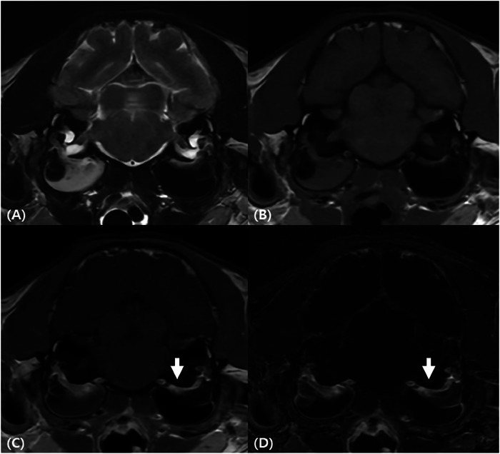
Abstract

Evaluating the morphological changes of the tympanic bulla and the contrast enhancement (CE) patterns are key factors in diagnosing otitis media and predicting its underlying etiology. However, limited research exists on the CE patterns of the tympanic bulla in cats with bulla effusion. This retrospective study aimed to investigate the prevalence and patterns of CE in the tympanic bulla based on the presence and severity of bulla effusion in cats. Feline head CT or brain MRI images from six institutions were analyzed. Transverse pre- and postcontrast CT and MRI images were reviewed to assess the presence and severity of bulla effusion, along with the presence, pattern, and location of tympanic bulla CE. A total of 644 tympanic bullae from 322 cats were included. Bulla effusion was detected in 105 of 644 bullae, while CE was observed in 73 of 644 bullae: 5 of 539 bullae without effusion and 68 of 105 bullae with effusion. CE was significantly more common in cats with bulla effusion, with the incidence increasing as effusion severity progressed. Focal rim enhancement, predominantly localized to the dorsal aspect of the tympanic bulla, was the most frequent enhancement pattern. In cases with mild or moderate bulla effusion, only focal dorsal enhancement was observed. However, in cats with severe bulla effusion, additional patterns, including focal ventral or lateral, complete rim, and internal enhancement, emerged. These findings suggest that both the incidence and patterns of CE evolve with the progression of bulla effusion in cats and that focal dorsal enhancement may be an early indicator.

Abstract Image

Abstract Image

Abstract Image

局灶性鼓膜背侧增强:猫中耳炎的早期指标。
评价中耳炎的形态变化和造影增强(CE)模式是诊断中耳炎和预测其潜在病因的关键因素。然而,对大泡积液的猫鼓室大泡的CE模式研究有限。本回顾性研究旨在根据猫鼓膜积液的存在和严重程度调查鼓膜CE的患病率和模式。分析了6个机构的猫头部CT或脑MRI图像。回顾对比前后的横向CT和MRI图像,以评估大球囊积液的存在和严重程度,以及鼓室CE的存在、模式和位置。共包括322只猫的644个鼓室泡。644个大疱中有105个大疱有积液,73个大疱有CE, 539个大疱中无积液5个,105个大疱中有积液68个。CE在有大球囊积液的猫中更为常见,随着积液严重程度的增加,发病率也随之增加。局灶边缘增强,主要局限于鼓膜的背侧,是最常见的增强模式。在轻度或中度球泡积液的病例中,仅观察到局灶性背侧强化。然而,在严重的大泡积液的猫中,出现了其他模式,包括局灶性腹侧或外侧,完整的边缘和内部增强。这些发现表明,CE的发生率和模式随着猫大泡积液的进展而变化,局灶性背侧增强可能是一个早期指标。
本文章由计算机程序翻译,如有差异,请以英文原文为准。
求助全文
约1分钟内获得全文 求助全文
来源期刊
Veterinary Radiology & Ultrasound
Veterinary Radiology & Ultrasound 农林科学-兽医学
CiteScore
2.40
自引率
17.60%
发文量
133
审稿时长
8-16 weeks
期刊介绍: Veterinary Radiology & Ultrasound is a bimonthly, international, peer-reviewed, research journal devoted to the fields of veterinary diagnostic imaging and radiation oncology. Established in 1958, it is owned by the American College of Veterinary Radiology and is also the official journal for six affiliate veterinary organizations. Veterinary Radiology & Ultrasound is represented on the International Committee of Medical Journal Editors, World Association of Medical Editors, and Committee on Publication Ethics. The mission of Veterinary Radiology & Ultrasound is to serve as a leading resource for high quality articles that advance scientific knowledge and standards of clinical practice in the areas of veterinary diagnostic radiology, computed tomography, magnetic resonance imaging, ultrasonography, nuclear imaging, radiation oncology, and interventional radiology. Manuscript types include original investigations, imaging diagnosis reports, review articles, editorials and letters to the Editor. Acceptance criteria include originality, significance, quality, reader interest, composition and adherence to author guidelines.
×
引用
GB/T 7714-2015
复制
MLA
复制
APA
复制
导出至
BibTeX EndNote RefMan NoteFirst NoteExpress
×
提示
您的信息不完整,为了账户安全,请先补充。
现在去补充
×
提示
您因"违规操作"
具体请查看互助需知
我知道了
×
提示
确定
请完成安全验证×
copy
已复制链接
快去分享给好友吧!
我知道了
右上角分享
点击右上角分享
0
联系我们:info@booksci.cn Book学术提供免费学术资源搜索服务,方便国内外学者检索中英文文献。致力于提供最便捷和优质的服务体验。 Copyright © 2023 布克学术 All rights reserved.
京ICP备2023020795号-1
ghs 京公网安备 11010802042870号
Book学术文献互助
Book学术文献互助群
群 号:604180095
Book学术官方微信