Protective effects of olive oil against cardiac aging through mitophagy and apoptosis.

IF 1.1 4区 农林科学 Q3 ZOOLOGY
Veterinary Research Forum Pub Date : 2025-01-01 Epub Date: 2025-01-15 DOI:10.30466/vrf.2024.2030624.4304
Siamak Shahidi, Khadijeh Ramezani-Aliakbari, Abdolrahman Sarihi, Ali Heshmati, Elham Shiri, Shiva Nosrati, Sayed Payam Hashemi, Mitra Bahrami, Fatemeh Ramezani-Aliakbari
{"title":"Protective effects of olive oil against cardiac aging through mitophagy and apoptosis.","authors":"Siamak Shahidi, Khadijeh Ramezani-Aliakbari, Abdolrahman Sarihi, Ali Heshmati, Elham Shiri, Shiva Nosrati, Sayed Payam Hashemi, Mitra Bahrami, Fatemeh Ramezani-Aliakbari","doi":"10.30466/vrf.2024.2030624.4304","DOIUrl":null,"url":null,"abstract":"<p><p>Cardiac mitochondrial dysfunction is an important feature of aged heart. However, there is still no potent agent to ameliorate cardiac function abnormalities in aged hosts. Olive oil (OLO), containing monounsaturated fatty acids, has diverse protective effects on the cardiovascular system, including anti-diabetic, anti-inflammatory, and anti-hypertensive effects. We evaluated the beneficial impacts of OLO against aging-related cardiac dysfunction. Wistar rats were randomly allotted into three groups with eight rats, including control, aged rats receiving D-galactose (D-GAL), and aged rats administrated with D-galactose plus OLO (D-GAL + OLO). Aged animals were received D-GAL at a dose of 150.00 mg kg<sup>-1</sup> daily through intra-peritoneal injection for aging induction. The animals in D-GAL + OLO group were co-administrated with oral OLO at a dose of 1.00 mL kg<sup>-1</sup> by gavage feeding daily. The administration term was eight weeks. A histological examination of heart tissue was performed. The heart tissues were also harvested to assay the oxidative stress and molecular parameters. The aged animals showed cardiac hypertrophy, increased malondialdehyde level and Bax expression, and reduced mitofusin 2, phosphatase and tensin homologue-induced putative kinase 1, dynamin-related protein 1, and Bcl2 expressions in comparison with the control animals. The OLO treatment ameliorated all these parameters. Overall, OLO could improve cardiac aging through reducing oxidative stress, enhancing genes mediated mitophagy, and improving genes mediated apoptosis in the heart.</p>","PeriodicalId":23989,"journal":{"name":"Veterinary Research Forum","volume":"16 1","pages":"27-33"},"PeriodicalIF":1.1000,"publicationDate":"2025-01-01","publicationTypes":"Journal Article","fieldsOfStudy":null,"isOpenAccess":false,"openAccessPdf":"https://www.ncbi.nlm.nih.gov/pmc/articles/PMC11905957/pdf/","citationCount":"0","resultStr":null,"platform":"Semanticscholar","paperid":null,"PeriodicalName":"Veterinary Research Forum","FirstCategoryId":"97","ListUrlMain":"https://doi.org/10.30466/vrf.2024.2030624.4304","RegionNum":4,"RegionCategory":"农林科学","ArticlePicture":[],"TitleCN":null,"AbstractTextCN":null,"PMCID":null,"EPubDate":"2025/1/15 0:00:00","PubModel":"Epub","JCR":"Q3","JCRName":"ZOOLOGY","Score":null,"Total":0}
引用次数: 0

Abstract

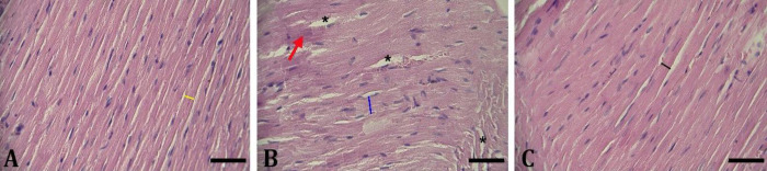
Cardiac mitochondrial dysfunction is an important feature of aged heart. However, there is still no potent agent to ameliorate cardiac function abnormalities in aged hosts. Olive oil (OLO), containing monounsaturated fatty acids, has diverse protective effects on the cardiovascular system, including anti-diabetic, anti-inflammatory, and anti-hypertensive effects. We evaluated the beneficial impacts of OLO against aging-related cardiac dysfunction. Wistar rats were randomly allotted into three groups with eight rats, including control, aged rats receiving D-galactose (D-GAL), and aged rats administrated with D-galactose plus OLO (D-GAL + OLO). Aged animals were received D-GAL at a dose of 150.00 mg kg-1 daily through intra-peritoneal injection for aging induction. The animals in D-GAL + OLO group were co-administrated with oral OLO at a dose of 1.00 mL kg-1 by gavage feeding daily. The administration term was eight weeks. A histological examination of heart tissue was performed. The heart tissues were also harvested to assay the oxidative stress and molecular parameters. The aged animals showed cardiac hypertrophy, increased malondialdehyde level and Bax expression, and reduced mitofusin 2, phosphatase and tensin homologue-induced putative kinase 1, dynamin-related protein 1, and Bcl2 expressions in comparison with the control animals. The OLO treatment ameliorated all these parameters. Overall, OLO could improve cardiac aging through reducing oxidative stress, enhancing genes mediated mitophagy, and improving genes mediated apoptosis in the heart.

Abstract Image

Abstract Image

Abstract Image

橄榄油通过有丝分裂和细胞凋亡对心脏衰老的保护作用
心肌线粒体功能障碍是老年心脏的重要特征。然而,目前仍没有有效的药物来改善老年宿主的心功能异常。橄榄油(OLO)含有单不饱和脂肪酸,对心血管系统有多种保护作用,包括抗糖尿病、抗炎和抗高血压作用。我们评估了OLO对衰老相关心功能障碍的有益影响。Wistar大鼠随机分为3组,每组8只,分别为对照组、d -半乳糖组(D-GAL)老年大鼠和d -半乳糖组(D-GAL + OLO)老年大鼠。老龄动物腹腔注射D-GAL,每日150.00 mg kg-1,诱导衰老。D-GAL + OLO组与口服OLO,每日灌喂,剂量为1.00 mL kg-1。管理期限为八周。对心脏组织进行组织学检查。采集心脏组织,测定氧化应激和分子参数。与对照动物相比,老龄动物表现为心肌肥大,丙二醛水平和Bax表达升高,丝裂丝蛋白2、磷酸酶和紧张素同源诱导的推测激酶1、动力蛋白相关蛋白1和Bcl2表达降低。OLO治疗改善了所有这些参数。总的来说,OLO可以通过降低心脏氧化应激、增强基因介导的线粒体自噬和改善基因介导的心脏细胞凋亡来改善心脏衰老。
本文章由计算机程序翻译,如有差异,请以英文原文为准。
求助全文
约1分钟内获得全文 求助全文
来源期刊
Veterinary Research Forum
Veterinary Research Forum Veterinary-General Veterinary
CiteScore
1.50
自引率
0.00%
发文量
0
审稿时长
8 weeks
期刊介绍: Veterinary Research Forum (VRF) is a quarterly international journal committed to publish worldwide contributions on all aspects of veterinary science and medicine, including anatomy and histology, physiology and pharmacology, anatomic and clinical pathology, parasitology, microbiology, immunology and epidemiology, food hygiene, poultry science, fish and aquaculture, anesthesia and surgery, large and small animal internal medicine, large and small animal reproduction, biotechnology and diagnostic imaging of domestic, companion and farm animals.
×
引用
GB/T 7714-2015
复制
MLA
复制
APA
复制
导出至
BibTeX EndNote RefMan NoteFirst NoteExpress
×
提示
您的信息不完整,为了账户安全,请先补充。
现在去补充
×
提示
您因"违规操作"
具体请查看互助需知
我知道了
×
提示
确定
请完成安全验证×
copy
已复制链接
快去分享给好友吧!
我知道了
右上角分享
点击右上角分享
0
联系我们:info@booksci.cn Book学术提供免费学术资源搜索服务,方便国内外学者检索中英文文献。致力于提供最便捷和优质的服务体验。 Copyright © 2023 布克学术 All rights reserved.
京ICP备2023020795号-1
ghs 京公网安备 11010802042870号
Book学术文献互助
Book学术文献互助群
群 号:604180095
Book学术官方微信