Delayed Diagnosis of Partial Anomalous Pulmonary Venous Return in an Adult With Pulmonary Hypertension.

IF 0.8 Q3 MEDICINE, GENERAL & INTERNAL
Sathish Krishnan, Sashi Adigopula, Nitesh Gadeela
{"title":"Delayed Diagnosis of Partial Anomalous Pulmonary Venous Return in an Adult With Pulmonary Hypertension.","authors":"Sathish Krishnan, Sashi Adigopula, Nitesh Gadeela","doi":"10.1177/23247096251326474","DOIUrl":null,"url":null,"abstract":"<p><p>Partial anomalous pulmonary venous return (PAPVR) involving the left upper lobe pulmonary vein is an exceptionally rare congenital anomaly that, if untreated, can lead to pulmonary hypertension (PH). Its nonspecific clinical presentation often results in delayed diagnosis. We report the case of a 58-year-old woman who initially presented with progressive dyspnea and was diagnosed with group III pulmonary hypertension attributed to obstructive lung disease. Two years later, she returned with similar symptoms after discontinuing diuretic therapy. Further evaluation uncovered a previously undetected anomalous left pulmonary vein draining into the left innominate vein. This case highlights the diagnostic challenges of PAPVR, its role in contributing to PH, and the critical need for high clinical suspicion and comprehensive evaluation in patients with unexplained pulmonary hypertension.</p>","PeriodicalId":16198,"journal":{"name":"Journal of investigative medicine high impact case reports","volume":"13 ","pages":"23247096251326474"},"PeriodicalIF":0.8000,"publicationDate":"2025-01-01","publicationTypes":"Journal Article","fieldsOfStudy":null,"isOpenAccess":false,"openAccessPdf":"https://www.ncbi.nlm.nih.gov/pmc/articles/PMC11915243/pdf/","citationCount":"0","resultStr":null,"platform":"Semanticscholar","paperid":null,"PeriodicalName":"Journal of investigative medicine high impact case reports","FirstCategoryId":"1085","ListUrlMain":"https://doi.org/10.1177/23247096251326474","RegionNum":0,"RegionCategory":null,"ArticlePicture":[],"TitleCN":null,"AbstractTextCN":null,"PMCID":null,"EPubDate":"2025/3/17 0:00:00","PubModel":"Epub","JCR":"Q3","JCRName":"MEDICINE, GENERAL & INTERNAL","Score":null,"Total":0}
引用次数: 0

Abstract

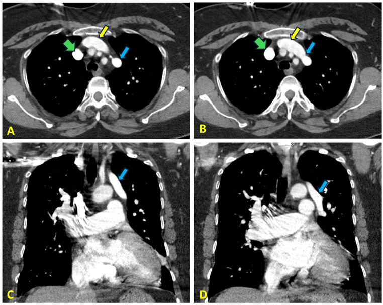
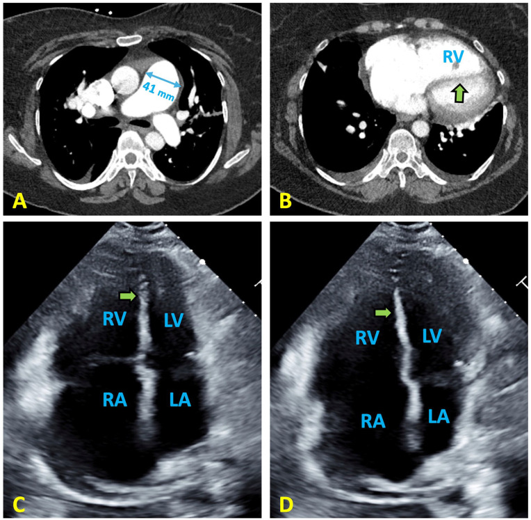
Partial anomalous pulmonary venous return (PAPVR) involving the left upper lobe pulmonary vein is an exceptionally rare congenital anomaly that, if untreated, can lead to pulmonary hypertension (PH). Its nonspecific clinical presentation often results in delayed diagnosis. We report the case of a 58-year-old woman who initially presented with progressive dyspnea and was diagnosed with group III pulmonary hypertension attributed to obstructive lung disease. Two years later, she returned with similar symptoms after discontinuing diuretic therapy. Further evaluation uncovered a previously undetected anomalous left pulmonary vein draining into the left innominate vein. This case highlights the diagnostic challenges of PAPVR, its role in contributing to PH, and the critical need for high clinical suspicion and comprehensive evaluation in patients with unexplained pulmonary hypertension.

Abstract Image

Abstract Image

Abstract Image

成人肺动脉高压患者部分肺静脉异常回流的延迟诊断。
部分肺静脉异常回流(PAPVR)累及左上叶肺静脉是一种非常罕见的先天性异常,如果不治疗,可导致肺动脉高压(PH)。它的非特异性临床表现往往导致延迟诊断。我们报告一例58岁女性,最初表现为进行性呼吸困难,被诊断为阻塞性肺疾病引起的III组肺动脉高压。两年后,她在停止利尿剂治疗后再次出现类似症状。进一步的评估发现了先前未发现的异常左肺静脉流入左无名静脉。该病例强调了PAPVR的诊断挑战,其在PH中的作用,以及对不明原因肺动脉高压患者进行高度临床怀疑和全面评估的迫切需要。
本文章由计算机程序翻译,如有差异,请以英文原文为准。
求助全文
约1分钟内获得全文 求助全文
来源期刊
CiteScore
1.90
自引率
0.00%
发文量
165
审稿时长
12 weeks
期刊介绍: The AFMR is committed to enhancing the training and career development of our members and to furthering its mission to facilitate the conduct of research to improve medical care. Case reports represent an important avenue for trainees (interns, residents, and fellows) and early-stage faculty to demonstrate productive, scholarly activity.
×
引用
GB/T 7714-2015
复制
MLA
复制
APA
复制
导出至
BibTeX EndNote RefMan NoteFirst NoteExpress
×
提示
您的信息不完整,为了账户安全,请先补充。
现在去补充
×
提示
您因"违规操作"
具体请查看互助需知
我知道了
×
提示
确定
请完成安全验证×
copy
已复制链接
快去分享给好友吧!
我知道了
右上角分享
点击右上角分享
0
联系我们:info@booksci.cn Book学术提供免费学术资源搜索服务,方便国内外学者检索中英文文献。致力于提供最便捷和优质的服务体验。 Copyright © 2023 布克学术 All rights reserved.
京ICP备2023020795号-1
ghs 京公网安备 11010802042870号
Book学术文献互助
Book学术文献互助群
群 号:604180095
Book学术官方微信