Insights into scleral violaceous hue in anterior scleritis: anterior segment optical coherence tomography evaluation.

IF 2.4 3区 医学 Q2 OPHTHALMOLOGY
Plern Sutra, Thananop Pothikamjorn, Sarah Lopez, Jaskirat Takhar, Mathinee Chongchareon, Jeremy Keenan, John A Gonzales
{"title":"Insights into scleral violaceous hue in anterior scleritis: anterior segment optical coherence tomography evaluation.","authors":"Plern Sutra, Thananop Pothikamjorn, Sarah Lopez, Jaskirat Takhar, Mathinee Chongchareon, Jeremy Keenan, John A Gonzales","doi":"10.1007/s00417-025-06788-8","DOIUrl":null,"url":null,"abstract":"<p><strong>Purpose: </strong>To determine the scleral thickness of inactive scleritis characterized by a violaceous hue (violaceous sclera) using anterior segment optical coherence tomography (AS-OCT).</p><p><strong>Methods: </strong>Retrospective observational case series of patients with inactive unilateral anterior scleritis featuring a violaceous hue. Mean scleral thickness was measured by AS-OCT in violaceous areas and compared with the same region in the contralateral unaffected eye. Measurements were performed by two masked graders.</p><p><strong>Results: </strong>Nine patients with median age of 52 ± 12.8 years were assessed. Eight patients were female. Rheumatoid arthritis and history of treated latent tuberculosis (33.3%) were the most common causes of anterior scleritis. Mean scleral thickness was 582.93 ± 124.03 µm and 648.59 ± 103.61 µm for violaceous sclera and the corresponding unaffected areas of the contralateral eye, respectively (mean difference = -65.65 µm, 95% CI: -143.73 to 12.42, p = 0.0885). The mean image contrast percentage of scleral hyperreflectivity as assessed by image conversion in an area of violaceous hue was 65.07 µm ± 6.49 µm compared to 42.70 µm ± 5.46 µm of unaffected areas (mean difference = 22.37 µm, 95% CI: 14.72 µm to 30.03 µm, p = 0.0001).</p><p><strong>Conclusion: </strong>Using AS-OCT, the thicknesses of violaceous sclerae were not significantly thinner than the contralateral unaffected areas, despite a mean difference of approximately 65 microns. The increased scleral hyperreflectivity observed in the violaceous sclera may suggest collagen remodeling in these areas. Such remodeling could play a role in the sclera reflecting violaceous hues while still preventing direct visualization of the underlying choroid.</p>","PeriodicalId":12795,"journal":{"name":"Graefe’s Archive for Clinical and Experimental Ophthalmology","volume":" ","pages":"1997-2004"},"PeriodicalIF":2.4000,"publicationDate":"2025-07-01","publicationTypes":"Journal Article","fieldsOfStudy":null,"isOpenAccess":false,"openAccessPdf":"https://www.ncbi.nlm.nih.gov/pmc/articles/PMC12373549/pdf/","citationCount":"0","resultStr":null,"platform":"Semanticscholar","paperid":null,"PeriodicalName":"Graefe’s Archive for Clinical and Experimental Ophthalmology","FirstCategoryId":"3","ListUrlMain":"https://doi.org/10.1007/s00417-025-06788-8","RegionNum":3,"RegionCategory":"医学","ArticlePicture":[],"TitleCN":null,"AbstractTextCN":null,"PMCID":null,"EPubDate":"2025/3/17 0:00:00","PubModel":"Epub","JCR":"Q2","JCRName":"OPHTHALMOLOGY","Score":null,"Total":0}
引用次数: 0

Abstract

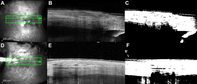
Purpose: To determine the scleral thickness of inactive scleritis characterized by a violaceous hue (violaceous sclera) using anterior segment optical coherence tomography (AS-OCT).

Methods: Retrospective observational case series of patients with inactive unilateral anterior scleritis featuring a violaceous hue. Mean scleral thickness was measured by AS-OCT in violaceous areas and compared with the same region in the contralateral unaffected eye. Measurements were performed by two masked graders.

Results: Nine patients with median age of 52 ± 12.8 years were assessed. Eight patients were female. Rheumatoid arthritis and history of treated latent tuberculosis (33.3%) were the most common causes of anterior scleritis. Mean scleral thickness was 582.93 ± 124.03 µm and 648.59 ± 103.61 µm for violaceous sclera and the corresponding unaffected areas of the contralateral eye, respectively (mean difference = -65.65 µm, 95% CI: -143.73 to 12.42, p = 0.0885). The mean image contrast percentage of scleral hyperreflectivity as assessed by image conversion in an area of violaceous hue was 65.07 µm ± 6.49 µm compared to 42.70 µm ± 5.46 µm of unaffected areas (mean difference = 22.37 µm, 95% CI: 14.72 µm to 30.03 µm, p = 0.0001).

Conclusion: Using AS-OCT, the thicknesses of violaceous sclerae were not significantly thinner than the contralateral unaffected areas, despite a mean difference of approximately 65 microns. The increased scleral hyperreflectivity observed in the violaceous sclera may suggest collagen remodeling in these areas. Such remodeling could play a role in the sclera reflecting violaceous hues while still preventing direct visualization of the underlying choroid.

Abstract Image

Abstract Image

Abstract Image

前巩膜炎中巩膜紫色调的观察:前段光学相干断层扫描评价。
目的:利用前段光学相干断层扫描(AS-OCT)测定以紫色色相(紫色巩膜)为特征的非活动性巩膜炎的巩膜厚度。方法:回顾性观察单侧无活动性前巩膜炎呈紫色的病例系列。用AS-OCT测量对侧未受影响眼的平均巩膜厚度,并与对侧相同区域进行比较。测量由两名蒙面评分者完成。结果:共纳入9例患者,中位年龄52±12.8岁。女性8例。类风湿关节炎和潜伏性结核治疗史(33.3%)是前巩膜炎最常见的原因。对侧眼巩膜厚度平均值分别为582.93±124.03µm和648.59±103.61µm(平均差异= -65.65µm, 95% CI: -143.73 ~ 12.42, p = 0.0885)。通过图像转换评估,紫色区域巩膜高反射率的平均图像对比度为65.07µm±6.49µm,而未受影响区域为42.70µm±5.46µm(平均差异= 22.37µm, 95% CI: 14.72µm至30.03µm, p = 0.0001)。结论:在AS-OCT中,尽管平均相差约65微米,但侵犯巩膜厚度并未明显薄于对侧未受影响区域。紫巩膜高反射率的增加可能提示这些区域的胶原重塑。这种重塑可能在巩膜反射紫色的同时仍然阻止直接看到下面的脉络膜。
本文章由计算机程序翻译,如有差异,请以英文原文为准。
求助全文
约1分钟内获得全文 求助全文
来源期刊
CiteScore
5.40
自引率
7.40%
发文量
398
审稿时长
3 months
期刊介绍: Graefe''s Archive for Clinical and Experimental Ophthalmology is a distinguished international journal that presents original clinical reports and clini-cally relevant experimental studies. Founded in 1854 by Albrecht von Graefe to serve as a source of useful clinical information and a stimulus for discussion, the journal has published articles by leading ophthalmologists and vision research scientists for more than a century. With peer review by an international Editorial Board and prompt English-language publication, Graefe''s Archive provides rapid dissemination of clinical and clinically related experimental information.
×
引用
GB/T 7714-2015
复制
MLA
复制
APA
复制
导出至
BibTeX EndNote RefMan NoteFirst NoteExpress
×
提示
您的信息不完整,为了账户安全,请先补充。
现在去补充
×
提示
您因"违规操作"
具体请查看互助需知
我知道了
×
提示
确定
请完成安全验证×
copy
已复制链接
快去分享给好友吧!
我知道了
右上角分享
点击右上角分享
0
联系我们:info@booksci.cn Book学术提供免费学术资源搜索服务,方便国内外学者检索中英文文献。致力于提供最便捷和优质的服务体验。 Copyright © 2023 布克学术 All rights reserved.
京ICP备2023020795号-1
ghs 京公网安备 11010802042870号
Book学术文献互助
Book学术文献互助群
群 号:604180095
Book学术官方微信