Efficacy of endovascular circulating false lumen occlusion in chronic aneurysmal descending aortic dissections

IF 1.7 4区 医学 Q3 RADIOLOGY, NUCLEAR MEDICINE & MEDICAL IMAGING
Diagnostic and interventional radiology Pub Date : 2025-07-08 Epub Date: 2025-03-17 DOI:10.4274/dir.2025.242986
Emeric Gremen, Mathieu Finas, Eliott Mathieu, Frédéric Thony, Mathieu Rodiere, Julien Ghelfi
{"title":"Efficacy of endovascular circulating false lumen occlusion in chronic aneurysmal descending aortic dissections","authors":"Emeric Gremen, Mathieu Finas, Eliott Mathieu, Frédéric Thony, Mathieu Rodiere, Julien Ghelfi","doi":"10.4274/dir.2025.242986","DOIUrl":null,"url":null,"abstract":"<p><strong>Purpose: </strong>To evaluate the efficacy of endovascular circulating false lumen occlusion (CFLO) in inducing positive aortic remodeling in chronic aneurysmal descending aortic dissection (AD).</p><p><strong>Methods: </strong>This retrospective monocentric study included patients treated by CFLO between 2003 and 2022 in the context of chronic AD with progressive descending aneurysmal evolution and persistent circulating false lumen (FL). The procedure was achieved with coils, plugs, and/or glue at the entry tear or in the FL and/or with covered stenting in the supra-aortic trunk. The primary endpoint evaluated the positive aortic remodeling, defined as stabilization or a decrease in the aortic diameter on a computed tomography scan at the 1-year follow-up after the procedure. The FL circulating status, safety, and occurrence of aneurysm events during follow-up were also evaluated.</p><p><strong>Results: </strong>Twenty patients [median age: 65.4 years, interquartile range (IQR): 58.4–69.9; 13 men] were included, with a median duration from an acute AD of 32.5 months (IQR: 8.8–76.5). Twelve patients (60%) achieved complete FL thrombosis after CFLO, whereas 8/20 patients (40.0%) experienced partial thrombosis. Additionally, positive aortic remodeling was observed in 13 patients (65%). Following the procedure, the aneurysmal aortic diameter decreased in 8/20 patients (40.0%) and remained stable in 5/20 patients (25.0%). Two patients (10%) had complications related to the procedure. Two patients (10%) had secondary aneurysm events during follow-up.</p><p><strong>Conclusion: </strong>CFLO is a feasible and efficient method to induce FL thrombosis and reduce aneurysmal progression in chronic AD.</p><p><strong>Clinical significance: </strong>The positive outcomes observed highlight the potential of this technique to improve patient management in complex aortic pathologies. This approach offers a valuable option in the management of chronic AD and emphasizes the importance of endovascular interventions in enhancing patient outcomes.</p>","PeriodicalId":11341,"journal":{"name":"Diagnostic and interventional radiology","volume":" ","pages":"384-391"},"PeriodicalIF":1.7000,"publicationDate":"2025-07-08","publicationTypes":"Journal Article","fieldsOfStudy":null,"isOpenAccess":false,"openAccessPdf":"https://www.ncbi.nlm.nih.gov/pmc/articles/PMC12239530/pdf/","citationCount":"0","resultStr":null,"platform":"Semanticscholar","paperid":null,"PeriodicalName":"Diagnostic and interventional radiology","FirstCategoryId":"3","ListUrlMain":"https://doi.org/10.4274/dir.2025.242986","RegionNum":4,"RegionCategory":"医学","ArticlePicture":[],"TitleCN":null,"AbstractTextCN":null,"PMCID":null,"EPubDate":"2025/3/17 0:00:00","PubModel":"Epub","JCR":"Q3","JCRName":"RADIOLOGY, NUCLEAR MEDICINE & MEDICAL IMAGING","Score":null,"Total":0}
引用次数: 0

Abstract

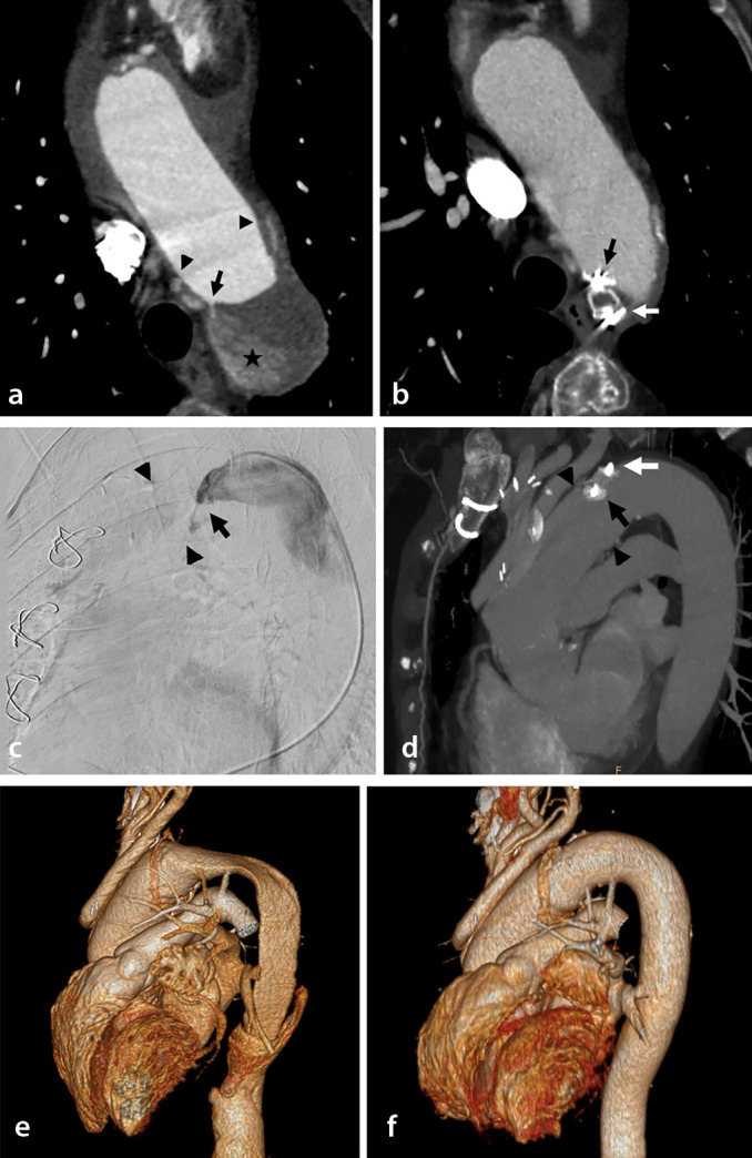
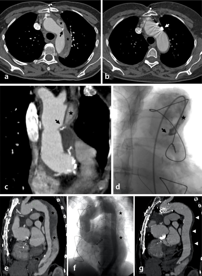
Purpose: To evaluate the efficacy of endovascular circulating false lumen occlusion (CFLO) in inducing positive aortic remodeling in chronic aneurysmal descending aortic dissection (AD).

Methods: This retrospective monocentric study included patients treated by CFLO between 2003 and 2022 in the context of chronic AD with progressive descending aneurysmal evolution and persistent circulating false lumen (FL). The procedure was achieved with coils, plugs, and/or glue at the entry tear or in the FL and/or with covered stenting in the supra-aortic trunk. The primary endpoint evaluated the positive aortic remodeling, defined as stabilization or a decrease in the aortic diameter on a computed tomography scan at the 1-year follow-up after the procedure. The FL circulating status, safety, and occurrence of aneurysm events during follow-up were also evaluated.

Results: Twenty patients [median age: 65.4 years, interquartile range (IQR): 58.4–69.9; 13 men] were included, with a median duration from an acute AD of 32.5 months (IQR: 8.8–76.5). Twelve patients (60%) achieved complete FL thrombosis after CFLO, whereas 8/20 patients (40.0%) experienced partial thrombosis. Additionally, positive aortic remodeling was observed in 13 patients (65%). Following the procedure, the aneurysmal aortic diameter decreased in 8/20 patients (40.0%) and remained stable in 5/20 patients (25.0%). Two patients (10%) had complications related to the procedure. Two patients (10%) had secondary aneurysm events during follow-up.

Conclusion: CFLO is a feasible and efficient method to induce FL thrombosis and reduce aneurysmal progression in chronic AD.

Clinical significance: The positive outcomes observed highlight the potential of this technique to improve patient management in complex aortic pathologies. This approach offers a valuable option in the management of chronic AD and emphasizes the importance of endovascular interventions in enhancing patient outcomes.

Abstract Image

Abstract Image

Abstract Image

血管内循环假腔封堵治疗慢性动脉瘤性降主动脉夹层的疗效观察。
目的:评价血管内循环假腔闭塞术(CFLO)诱导慢性动脉瘤性降主动脉夹层(AD)患者主动脉阳性重构的效果。方法:这项回顾性单中心研究纳入了2003年至2022年间接受CFLO治疗的慢性AD患者,伴有进行性降动脉瘤演变和持续性循环假腔(FL)。该手术是通过线圈、塞和/或胶在入口撕裂处或FL和/或在主动脉上干覆盖支架来完成的。主要终点评估主动脉重构阳性,定义为手术后1年随访时计算机断层扫描显示主动脉直径稳定或减小。随访期间对FL循环状态、安全性和动脉瘤事件发生情况也进行了评估。结果:20例患者[中位年龄:65.4岁,四分位间距(IQR): 58.4 ~ 69.9;纳入13名男性,急性AD的中位持续时间为32.5个月(IQR: 8.8-76.5)。12例(60%)患者在CFLO术后形成完全FL血栓,8/20例(40.0%)患者出现部分血栓形成。此外,13例(65%)患者观察到主动脉重构阳性。手术后,8/20患者(40.0%)动脉瘤性主动脉直径减小,5/20患者(25.0%)保持稳定。2例患者(10%)出现与手术相关的并发症。2例患者(10%)在随访期间发生继发性动脉瘤事件。结论:CFLO是一种可行、有效的方法,可诱导FL血栓形成,减少慢性AD的动脉瘤进展。临床意义:观察到的积极结果突出了该技术在改善复杂主动脉病变患者管理方面的潜力。这种方法为慢性AD的治疗提供了一种有价值的选择,并强调了血管内干预对提高患者预后的重要性。
本文章由计算机程序翻译,如有差异,请以英文原文为准。
求助全文
约1分钟内获得全文 求助全文
来源期刊
Diagnostic and interventional radiology
Diagnostic and interventional radiology Medicine-Radiology, Nuclear Medicine and Imaging
自引率
4.80%
发文量
0
期刊介绍: Diagnostic and Interventional Radiology (Diagn Interv Radiol) is the open access, online-only official publication of Turkish Society of Radiology. It is published bimonthly and the journal’s publication language is English. The journal is a medium for original articles, reviews, pictorial essays, technical notes related to all fields of diagnostic and interventional radiology.
×
引用
GB/T 7714-2015
复制
MLA
复制
APA
复制
导出至
BibTeX EndNote RefMan NoteFirst NoteExpress
×
提示
您的信息不完整,为了账户安全,请先补充。
现在去补充
×
提示
您因"违规操作"
具体请查看互助需知
我知道了
×
提示
确定
请完成安全验证×
copy
已复制链接
快去分享给好友吧!
我知道了
右上角分享
点击右上角分享
0
联系我们:info@booksci.cn Book学术提供免费学术资源搜索服务,方便国内外学者检索中英文文献。致力于提供最便捷和优质的服务体验。 Copyright © 2023 布克学术 All rights reserved.
京ICP备2023020795号-1
ghs 京公网安备 11010802042870号
Book学术文献互助
Book学术文献互助群
群 号:604180095
Book学术官方微信