Poorly Cohesive Carcinoma of Common Bile Duct: A Rare Histological Type of Cholangiocarcinoma.

IF 0.6 Q3 MEDICINE, GENERAL & INTERNAL
Clinical Medicine Insights. Case Reports Pub Date : 2025-03-16 eCollection Date: 2025-01-01 DOI:10.1177/11795476251324361
Derqaoui Sabrine, Hamid Mohamed, Ahmed Jahid, Kaoutar Znati, Fouad Zouaidia, Settaf Abdellatif, Bernoussi Zakiya
{"title":"Poorly Cohesive Carcinoma of Common Bile Duct: A Rare Histological Type of Cholangiocarcinoma.","authors":"Derqaoui Sabrine, Hamid Mohamed, Ahmed Jahid, Kaoutar Znati, Fouad Zouaidia, Settaf Abdellatif, Bernoussi Zakiya","doi":"10.1177/11795476251324361","DOIUrl":null,"url":null,"abstract":"<p><p>Biliary tract carcinomas (BTC) are malignant epithelial neoplasms subdivided anatomically into: gallbladder carcinomas and carcinomas of the bile duct or cholangiocarcinomas (CCA); including intrahepatic, hilar/perihilar, and distal CCA. Adenocarcinoma accounts for the most common BTC (over 90% of all carcinomas), while other histological subtypes represent rarer forms including: poorly cohesive/signet ring cell carcinoma, which has a greater malignant potential than conventional BTC and a poorer prognosis. Only few cases have been reported in the literature to date. The positive diagnosis remains on histology. Herein, we describe a new case of poorly cohesive carcinoma of bile duct extending to the gallbladder in a 60 years old women with a fatal outcome, to raise awareness of this rare entity and to provide data for larger series.</p>","PeriodicalId":10357,"journal":{"name":"Clinical Medicine Insights. Case Reports","volume":"18 ","pages":"11795476251324361"},"PeriodicalIF":0.6000,"publicationDate":"2025-03-16","publicationTypes":"Journal Article","fieldsOfStudy":null,"isOpenAccess":false,"openAccessPdf":"https://www.ncbi.nlm.nih.gov/pmc/articles/PMC11912167/pdf/","citationCount":"0","resultStr":null,"platform":"Semanticscholar","paperid":null,"PeriodicalName":"Clinical Medicine Insights. Case Reports","FirstCategoryId":"1085","ListUrlMain":"https://doi.org/10.1177/11795476251324361","RegionNum":0,"RegionCategory":null,"ArticlePicture":[],"TitleCN":null,"AbstractTextCN":null,"PMCID":null,"EPubDate":"2025/1/1 0:00:00","PubModel":"eCollection","JCR":"Q3","JCRName":"MEDICINE, GENERAL & INTERNAL","Score":null,"Total":0}
引用次数: 0

Abstract

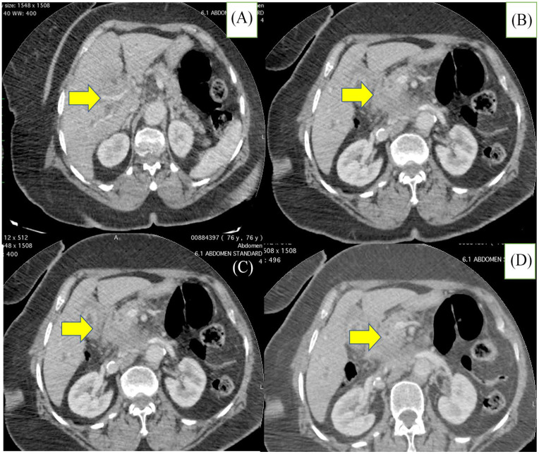
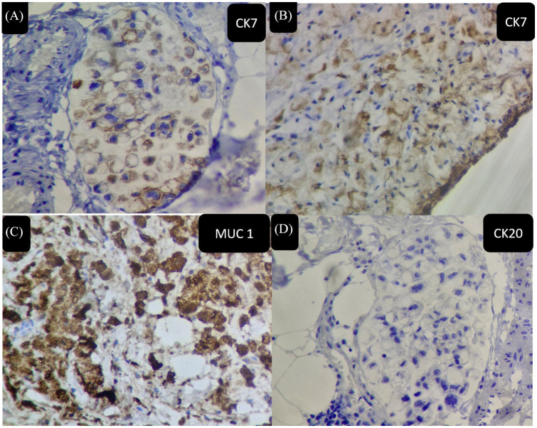
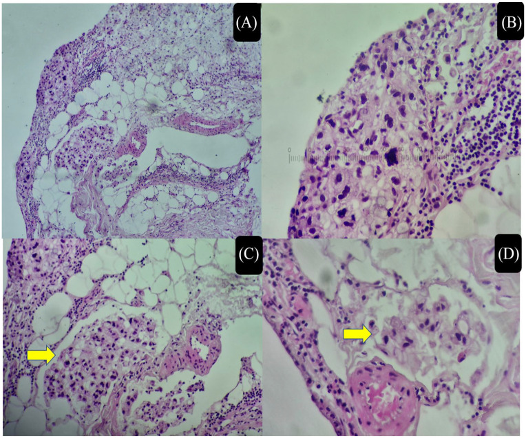
Biliary tract carcinomas (BTC) are malignant epithelial neoplasms subdivided anatomically into: gallbladder carcinomas and carcinomas of the bile duct or cholangiocarcinomas (CCA); including intrahepatic, hilar/perihilar, and distal CCA. Adenocarcinoma accounts for the most common BTC (over 90% of all carcinomas), while other histological subtypes represent rarer forms including: poorly cohesive/signet ring cell carcinoma, which has a greater malignant potential than conventional BTC and a poorer prognosis. Only few cases have been reported in the literature to date. The positive diagnosis remains on histology. Herein, we describe a new case of poorly cohesive carcinoma of bile duct extending to the gallbladder in a 60 years old women with a fatal outcome, to raise awareness of this rare entity and to provide data for larger series.

Abstract Image

Abstract Image

Abstract Image

胆总管低粘连癌:一种罕见的胆管癌组织学类型。
胆道癌(BTC)是一种恶性上皮性肿瘤,解剖学上可细分为胆囊癌、胆管癌或胆管癌(CCA);包括肝内、肝门/门周和远端CCA。腺癌是最常见的BTC(占所有癌症的90%以上),而其他组织学亚型则代表更罕见的形式,包括:低凝聚力/印戒细胞癌,其恶性潜能大于传统BTC,预后较差。迄今为止,文献中仅报道了少数病例。阳性诊断仍停留在组织学上。在此,我们描述了一个新的病例,低粘结性胆管癌延伸到胆囊,60岁的妇女与致命的结果,以提高对这种罕见的实体的认识,并为更大的系列提供数据。
本文章由计算机程序翻译,如有差异,请以英文原文为准。
求助全文
约1分钟内获得全文 求助全文
来源期刊
Clinical Medicine Insights. Case Reports
Clinical Medicine Insights. Case Reports MEDICINE, GENERAL & INTERNAL-
CiteScore
1.10
自引率
0.00%
发文量
57
审稿时长
8 weeks
×
引用
GB/T 7714-2015
复制
MLA
复制
APA
复制
导出至
BibTeX EndNote RefMan NoteFirst NoteExpress
×
提示
您的信息不完整,为了账户安全,请先补充。
现在去补充
×
提示
您因"违规操作"
具体请查看互助需知
我知道了
×
提示
确定
请完成安全验证×
copy
已复制链接
快去分享给好友吧!
我知道了
右上角分享
点击右上角分享
0
联系我们:info@booksci.cn Book学术提供免费学术资源搜索服务,方便国内外学者检索中英文文献。致力于提供最便捷和优质的服务体验。 Copyright © 2023 布克学术 All rights reserved.
京ICP备2023020795号-1
ghs 京公网安备 11010802042870号
Book学术文献互助
Book学术文献互助群
群 号:604180095
Book学术官方微信