Successful Resolution of Suspected Red Yeast Rice-induced Nephropathy.

IF 1.1 4区 医学 Q3 MEDICINE, GENERAL & INTERNAL
Internal Medicine Pub Date : 2025-09-01 Epub Date: 2025-03-15 DOI:10.2169/internalmedicine.4908-24
Haruka Maruyama, Ken-Ei Sada, Machiko Oka, Mitsuru Yanai, Sumi Hidaka, Shuzo Kobayashi
{"title":"Successful Resolution of Suspected Red Yeast Rice-induced Nephropathy.","authors":"Haruka Maruyama, Ken-Ei Sada, Machiko Oka, Mitsuru Yanai, Sumi Hidaka, Shuzo Kobayashi","doi":"10.2169/internalmedicine.4908-24","DOIUrl":null,"url":null,"abstract":"<p><p>Recently, several Japanese patients have developed interstitial nephritis or acute tubular injury/necrosis, both accompanied by Fanconi syndrome, after consuming a specific red yeast rice supplement. In most cases, the renal function did not fully recover even after discontinuation of supplements and glucocorticoid treatment. A 52-year-old woman developed interstitial nephritis and Fanconi syndrome after receiving supplements. A renal biopsy revealed mild lymphocytic infiltration. Her renal function recovered after discontinuing the supplement without glucocorticoids. The supplement was contaminated with puberulic acid, a known cause of tubular necrosis; however, the cause of interstitial nephritis remains uncertain. Biopsy findings guided the decision to avoid glucocorticoids.</p>","PeriodicalId":13719,"journal":{"name":"Internal Medicine","volume":" ","pages":"2626-2630"},"PeriodicalIF":1.1000,"publicationDate":"2025-09-01","publicationTypes":"Journal Article","fieldsOfStudy":null,"isOpenAccess":false,"openAccessPdf":"https://www.ncbi.nlm.nih.gov/pmc/articles/PMC12463421/pdf/","citationCount":"0","resultStr":null,"platform":"Semanticscholar","paperid":null,"PeriodicalName":"Internal Medicine","FirstCategoryId":"3","ListUrlMain":"https://doi.org/10.2169/internalmedicine.4908-24","RegionNum":4,"RegionCategory":"医学","ArticlePicture":[],"TitleCN":null,"AbstractTextCN":null,"PMCID":null,"EPubDate":"2025/3/15 0:00:00","PubModel":"Epub","JCR":"Q3","JCRName":"MEDICINE, GENERAL & INTERNAL","Score":null,"Total":0}
引用次数: 0

Abstract

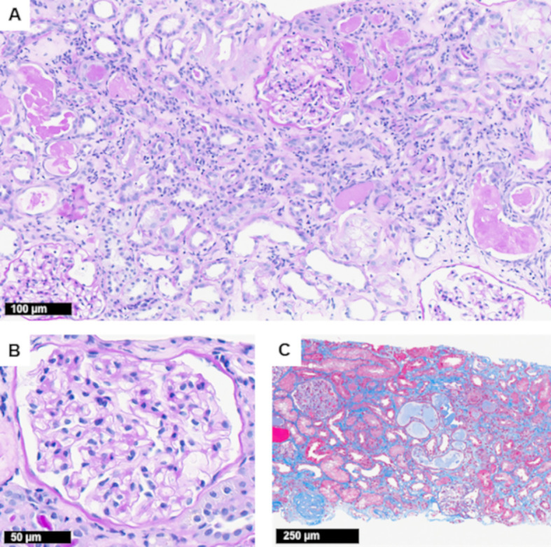
Recently, several Japanese patients have developed interstitial nephritis or acute tubular injury/necrosis, both accompanied by Fanconi syndrome, after consuming a specific red yeast rice supplement. In most cases, the renal function did not fully recover even after discontinuation of supplements and glucocorticoid treatment. A 52-year-old woman developed interstitial nephritis and Fanconi syndrome after receiving supplements. A renal biopsy revealed mild lymphocytic infiltration. Her renal function recovered after discontinuing the supplement without glucocorticoids. The supplement was contaminated with puberulic acid, a known cause of tubular necrosis; however, the cause of interstitial nephritis remains uncertain. Biopsy findings guided the decision to avoid glucocorticoids.

Abstract Image

Abstract Image

成功解决疑似红曲米肾病。
最近,几名日本患者在服用了一种特定的红麴补充剂后,出现了间质性肾炎或急性肾小管损伤/坏死,两者都伴有范可尼综合征。在大多数病例中,即使停止补充剂和糖皮质激素治疗,肾功能也没有完全恢复。一名 52 岁的妇女在服用补充剂后出现了间质性肾炎和范可尼综合征。肾活检显示有轻度淋巴细胞浸润。在停用补充剂而未使用糖皮质激素后,她的肾功能恢复了。营养补充剂中含有已知会导致肾小管坏死的蒲公英酸;然而,间质性肾炎的病因仍不确定。活组织检查结果指导了避免使用糖皮质激素的决定。
本文章由计算机程序翻译,如有差异,请以英文原文为准。
求助全文
约1分钟内获得全文 求助全文
来源期刊
Internal Medicine
Internal Medicine 医学-医学:内科
CiteScore
1.90
自引率
8.30%
发文量
0
审稿时长
2.2 months
期刊介绍: Internal Medicine is an open-access online only journal published monthly by the Japanese Society of Internal Medicine. Articles must be prepared in accordance with "The Uniform Requirements for Manuscripts Submitted to Biomedical Journals (see Annals of Internal Medicine 108: 258-265, 1988), must be contributed solely to the Internal Medicine, and become the property of the Japanese Society of Internal Medicine. Statements contained therein are the responsibility of the author(s). The Society reserves copyright and renewal on all published material and such material may not be reproduced in any form without the written permission of the Society.
×
引用
GB/T 7714-2015
复制
MLA
复制
APA
复制
导出至
BibTeX EndNote RefMan NoteFirst NoteExpress
×
提示
您的信息不完整,为了账户安全,请先补充。
现在去补充
×
提示
您因"违规操作"
具体请查看互助需知
我知道了
×
提示
确定
请完成安全验证×
copy
已复制链接
快去分享给好友吧!
我知道了
右上角分享
点击右上角分享
0
联系我们:info@booksci.cn Book学术提供免费学术资源搜索服务,方便国内外学者检索中英文文献。致力于提供最便捷和优质的服务体验。 Copyright © 2023 布克学术 All rights reserved.
京ICP备2023020795号-1
ghs 京公网安备 11010802042870号
Book学术文献互助
Book学术文献互助群
群 号:604180095
Book学术官方微信