[First experience using an aromatase inhibitor in combination with growth hormone to improve growth prognosis in a 14-year-old boy with growth hormone deficiency after treatment of craniopharyngioma. A case-report].

N A Mazerkina, S K Gorelyshev, A N Savateev, N A Strebkova, A L Kalinin
{"title":"[First experience using an aromatase inhibitor in combination with growth hormone to improve growth prognosis in a 14-year-old boy with growth hormone deficiency after treatment of craniopharyngioma. A case-report].","authors":"N A Mazerkina, S K Gorelyshev, A N Savateev, N A Strebkova, A L Kalinin","doi":"10.14341/probl13446","DOIUrl":null,"url":null,"abstract":"<p><p>This article describes the first experience of successful use of growth hormone (GH) in combination with an aromatase inhibitor (AI), in a 14-year-old boy. At the age of 7, he presented with headaches, nausea and vomiting, and MRI revealed a craniopharyngioma (CP). An Ommaya system was implanted, and radiation therapy was performed. As a result of treatment, GH deficiency and secondary hypothyroidism developed. At age 9 years, signs of puberty appeared. Growth rate remained satisfactory until the age of 14 years. At the age of 14 growth rate slowed down, which was the reason for appointment. Upon examination, the bone age was 16 years and the projected final height without therapy was 162 cm. Given the poor growth prognosis, IA anastrozole in combination with GH was prescribed. During two years of therapy the growth gain amounted to 12.5 cm. This observation demonstrates that normal growth rates in patients with CP do not indicate preserved somatotropic function of the pituitary gland. With preserved sexual function, early or premature puberty may be observed. In such cases, IA can be prescribed in addition to GH - these are medications that inhibit the closure of growth. GH therapy in combination with IA is highly effective and safe in patients with GH deficiency after treatment of KF during puberty and allows to achieve good growth parameters.</p>","PeriodicalId":101419,"journal":{"name":"Problemy endokrinologii","volume":"71 1","pages":"66-71"},"PeriodicalIF":0.0000,"publicationDate":"2024-05-21","publicationTypes":"Journal Article","fieldsOfStudy":null,"isOpenAccess":false,"openAccessPdf":"https://www.ncbi.nlm.nih.gov/pmc/articles/PMC11931461/pdf/","citationCount":"0","resultStr":null,"platform":"Semanticscholar","paperid":null,"PeriodicalName":"Problemy endokrinologii","FirstCategoryId":"1085","ListUrlMain":"https://doi.org/10.14341/probl13446","RegionNum":0,"RegionCategory":null,"ArticlePicture":[],"TitleCN":null,"AbstractTextCN":null,"PMCID":null,"EPubDate":"","PubModel":"","JCR":"","JCRName":"","Score":null,"Total":0}
引用次数: 0

Abstract

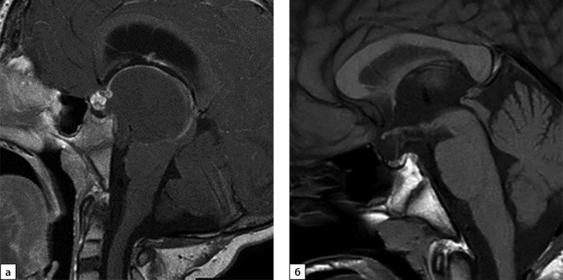
This article describes the first experience of successful use of growth hormone (GH) in combination with an aromatase inhibitor (AI), in a 14-year-old boy. At the age of 7, he presented with headaches, nausea and vomiting, and MRI revealed a craniopharyngioma (CP). An Ommaya system was implanted, and radiation therapy was performed. As a result of treatment, GH deficiency and secondary hypothyroidism developed. At age 9 years, signs of puberty appeared. Growth rate remained satisfactory until the age of 14 years. At the age of 14 growth rate slowed down, which was the reason for appointment. Upon examination, the bone age was 16 years and the projected final height without therapy was 162 cm. Given the poor growth prognosis, IA anastrozole in combination with GH was prescribed. During two years of therapy the growth gain amounted to 12.5 cm. This observation demonstrates that normal growth rates in patients with CP do not indicate preserved somatotropic function of the pituitary gland. With preserved sexual function, early or premature puberty may be observed. In such cases, IA can be prescribed in addition to GH - these are medications that inhibit the closure of growth. GH therapy in combination with IA is highly effective and safe in patients with GH deficiency after treatment of KF during puberty and allows to achieve good growth parameters.

Abstract Image

Abstract Image

Abstract Image

[首次使用芳香酶抑制剂联合生长激素改善14岁男孩颅咽管瘤治疗后生长激素缺乏的生长预后。病例报告)。
本文描述了第一次成功使用生长激素(GH)与芳香酶抑制剂(AI)的经验,在一个14岁的男孩。7岁时出现头痛、恶心和呕吐,MRI显示颅咽管瘤(CP)。植入了Ommaya系统,并进行了放射治疗。作为治疗的结果,生长激素缺乏和继发性甲状腺功能减退。9岁时,青春期的迹象出现了。直到14岁,生长速度仍令人满意。在14岁时,生长速度减慢,这是预约的原因。经检查,骨龄为16岁,未治疗的预计最终身高为162厘米。鉴于生长预后不良,开具了IA阿那曲唑联合生长激素。在两年的治疗期间,生长增重达12.5厘米。这一观察结果表明,CP患者的正常生长速率并不表明垂体的促生长功能得到保留。性功能保留的情况下,可以观察到过早或过早的青春期。在这种情况下,除了生长激素外,还可以开IA——这些药物可以抑制生长闭合。生长激素治疗联合IA对青春期KF治疗后的生长激素缺乏症患者是非常有效和安全的,并且可以获得良好的生长参数。
本文章由计算机程序翻译,如有差异,请以英文原文为准。
求助全文
约1分钟内获得全文 求助全文
来源期刊
自引率
0.00%
发文量
0
×
引用
GB/T 7714-2015
复制
MLA
复制
APA
复制
导出至
BibTeX EndNote RefMan NoteFirst NoteExpress
×
提示
您的信息不完整,为了账户安全,请先补充。
现在去补充
×
提示
您因"违规操作"
具体请查看互助需知
我知道了
×
提示
确定
请完成安全验证×
copy
已复制链接
快去分享给好友吧!
我知道了
右上角分享
点击右上角分享
0
联系我们:info@booksci.cn Book学术提供免费学术资源搜索服务,方便国内外学者检索中英文文献。致力于提供最便捷和优质的服务体验。 Copyright © 2023 布克学术 All rights reserved.
京ICP备2023020795号-1
ghs 京公网安备 11010802042870号
Book学术文献互助
Book学术文献互助群
群 号:604180095
Book学术官方微信