Overcoming missed diagnoses of primary central nervous system Lymphoma-The key role of cerebrospinal fluid cytology: a case report.

IF 2.3 3区 医学 Q2 PATHOLOGY
Siqi Zhu, Juan Jin, Xinxin Wang, Hong Xu, Fuxian Zhou, Yuyi Lai, Daojun Yu, Yuli Zhou
{"title":"Overcoming missed diagnoses of primary central nervous system Lymphoma-The key role of cerebrospinal fluid cytology: a case report.","authors":"Siqi Zhu, Juan Jin, Xinxin Wang, Hong Xu, Fuxian Zhou, Yuyi Lai, Daojun Yu, Yuli Zhou","doi":"10.1186/s13000-025-01626-1","DOIUrl":null,"url":null,"abstract":"<p><strong>Background: </strong>Central nervous system (CNS) involvement in diffuse large B-cell lymphoma (DLBCL) is relatively rare, occurring at a rate of approximately 5%. Primary CNS lymphoma (CNS-DLBCL), a subtype of DLBCL, is rare clinically but highly malignant and invasive. Its atypical clinical symptoms and imaging features contribute to a high rate of misdiagnosis and a poor prognosis. Thus, early and accurate diagnosis is imperative for improving the patient's prognosis. Cerebrospinal fluid (CSF) cytology, a rapid and convenient diagnostic method, plays a crucial role in diagnosing intracranial tumors.</p><p><strong>Case presentation: </strong>In this instance, the patient presented with nonspecific early symptoms and exhibited atypical imaging findings. A lumbar puncture performed at another hospital yielded a low cell count in the CSF, leading to an incorrect diagnosis. Upon admission to our hospital, CSF cytology identified abnormal cells. A definitive diagnosis of CNS-DLBCL was established utilizing additional diagnostic methods, facilitating targeted treatment.</p><p><strong>Conclusions: </strong>This case underscores the pivotal role of CSF cytology in rapidly guiding the differential diagnosis of intracranial tumors and underscores the necessity of training laboratory personnel in morphological examination.</p>","PeriodicalId":11237,"journal":{"name":"Diagnostic Pathology","volume":"20 1","pages":"29"},"PeriodicalIF":2.3000,"publicationDate":"2025-03-15","publicationTypes":"Journal Article","fieldsOfStudy":null,"isOpenAccess":false,"openAccessPdf":"https://www.ncbi.nlm.nih.gov/pmc/articles/PMC11910839/pdf/","citationCount":"0","resultStr":null,"platform":"Semanticscholar","paperid":null,"PeriodicalName":"Diagnostic Pathology","FirstCategoryId":"3","ListUrlMain":"https://doi.org/10.1186/s13000-025-01626-1","RegionNum":3,"RegionCategory":"医学","ArticlePicture":[],"TitleCN":null,"AbstractTextCN":null,"PMCID":null,"EPubDate":"","PubModel":"","JCR":"Q2","JCRName":"PATHOLOGY","Score":null,"Total":0}
引用次数: 0

Abstract

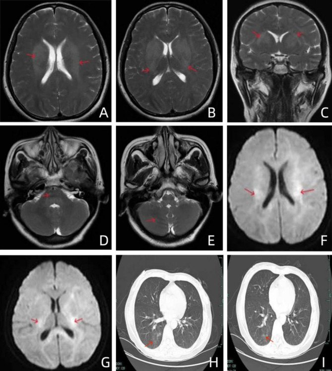
Background: Central nervous system (CNS) involvement in diffuse large B-cell lymphoma (DLBCL) is relatively rare, occurring at a rate of approximately 5%. Primary CNS lymphoma (CNS-DLBCL), a subtype of DLBCL, is rare clinically but highly malignant and invasive. Its atypical clinical symptoms and imaging features contribute to a high rate of misdiagnosis and a poor prognosis. Thus, early and accurate diagnosis is imperative for improving the patient's prognosis. Cerebrospinal fluid (CSF) cytology, a rapid and convenient diagnostic method, plays a crucial role in diagnosing intracranial tumors.

Case presentation: In this instance, the patient presented with nonspecific early symptoms and exhibited atypical imaging findings. A lumbar puncture performed at another hospital yielded a low cell count in the CSF, leading to an incorrect diagnosis. Upon admission to our hospital, CSF cytology identified abnormal cells. A definitive diagnosis of CNS-DLBCL was established utilizing additional diagnostic methods, facilitating targeted treatment.

Conclusions: This case underscores the pivotal role of CSF cytology in rapidly guiding the differential diagnosis of intracranial tumors and underscores the necessity of training laboratory personnel in morphological examination.

Abstract Image

Abstract Image

Abstract Image

克服原发性中枢神经系统淋巴瘤的漏诊——脑脊液细胞学检查的关键作用:1例报告。
背景:弥漫性大b细胞淋巴瘤(DLBCL)累及中枢神经系统(CNS)相对罕见,发生率约为5%。原发性中枢神经系统淋巴瘤(CNS-DLBCL)是DLBCL的一种亚型,临床上罕见,但高度恶性和侵袭性。其临床症状和影像学特征不典型,误诊率高,预后差。因此,早期准确诊断对改善患者预后至关重要。脑脊液细胞学是一种快速、方便的诊断方法,在颅内肿瘤的诊断中起着至关重要的作用。病例表现:本例患者表现为非特异性早期症状和非典型影像学表现。在另一家医院进行的腰椎穿刺发现脑脊液中细胞计数低,导致错误的诊断。入院后,脑脊液细胞学检查发现异常细胞。利用其他诊断方法确定了CNS-DLBCL的明确诊断,便于靶向治疗。结论:本病例强调了脑脊液细胞学检查在快速指导颅内肿瘤鉴别诊断中的关键作用,强调了培养形态学检查实验室人员的必要性。
本文章由计算机程序翻译,如有差异,请以英文原文为准。
求助全文
约1分钟内获得全文 求助全文
来源期刊
Diagnostic Pathology
Diagnostic Pathology 医学-病理学
CiteScore
4.60
自引率
0.00%
发文量
93
审稿时长
1 months
期刊介绍: Diagnostic Pathology is an open access, peer-reviewed, online journal that considers research in surgical and clinical pathology, immunology, and biology, with a special focus on cutting-edge approaches in diagnostic pathology and tissue-based therapy. The journal covers all aspects of surgical pathology, including classic diagnostic pathology, prognosis-related diagnosis (tumor stages, prognosis markers, such as MIB-percentage, hormone receptors, etc.), and therapy-related findings. The journal also focuses on the technological aspects of pathology, including molecular biology techniques, morphometry aspects (stereology, DNA analysis, syntactic structure analysis), communication aspects (telecommunication, virtual microscopy, virtual pathology institutions, etc.), and electronic education and quality assurance (for example interactive publication, on-line references with automated updating, etc.).
×
引用
GB/T 7714-2015
复制
MLA
复制
APA
复制
导出至
BibTeX EndNote RefMan NoteFirst NoteExpress
×
提示
您的信息不完整,为了账户安全,请先补充。
现在去补充
×
提示
您因"违规操作"
具体请查看互助需知
我知道了
×
提示
确定
请完成安全验证×
copy
已复制链接
快去分享给好友吧!
我知道了
右上角分享
点击右上角分享
0
联系我们:info@booksci.cn Book学术提供免费学术资源搜索服务,方便国内外学者检索中英文文献。致力于提供最便捷和优质的服务体验。 Copyright © 2023 布克学术 All rights reserved.
京ICP备2023020795号-1
ghs 京公网安备 11010802042870号
Book学术文献互助
Book学术文献互助群
群 号:604180095
Book学术官方微信