Ring-like late gadolinium enhancement: differential diagnosis and mimics.

Q3 Medicine
Radiologia Brasileira Pub Date : 2025-02-27 eCollection Date: 2025-01-01 DOI:10.1590/0100-3984.2024.0111
André Vaz, Kevin Rafael De Paula Morales, Eduardo Kaiser Ururahy Nunes Fonseca, Juliana Pato Serra Souza, Maria Júlia Silveira Rahal, Ludmila Mintzu Young, Leticia Muniz Pereira, Luiz Raphael Pereira Donoso Scoppetta, José Rodrigues Parga Filho
{"title":"Ring-like late gadolinium enhancement: differential diagnosis and mimics.","authors":"André Vaz, Kevin Rafael De Paula Morales, Eduardo Kaiser Ururahy Nunes Fonseca, Juliana Pato Serra Souza, Maria Júlia Silveira Rahal, Ludmila Mintzu Young, Leticia Muniz Pereira, Luiz Raphael Pereira Donoso Scoppetta, José Rodrigues Parga Filho","doi":"10.1590/0100-3984.2024.0111","DOIUrl":null,"url":null,"abstract":"<p><p>Advances in cardiac magnetic resonance have promoted tissue characterization with high spatial and contrast resolution, and late gadolinium enhancement (LGE) sequences have improved the detection of myocardial fibrosis. The distribution pattern of LGE facilitates differentiation between ischemic and nonischemic etiologies and aids in refining diagnoses within nonischemic cardiomyopathies, suggesting specific etiological factors. A distinctive nonischemic LGE pattern that has recently gained prominence is the ring-like pattern, defined as a subepicardial or mid-wall circumferential or semi-circumferential enhancement, which involves at least three contiguous segments within the same short-axis slice. Initially identified as a diagnostic marker for desmoplakin and filamin C-related cardiomyopathies, the pattern has been reported in nongenetic conditions; nevertheless, it remains an uncommon finding in these diseases. In this article, we aim to present the differential diagnoses of ring-like LGE and its mimics. The combination of epidemiological, clinical, electrocardiographic, and additional features enables a focused refinement of the differential diagnosis associated with ring-like LGE.</p>","PeriodicalId":20842,"journal":{"name":"Radiologia Brasileira","volume":"58 ","pages":"e20240111"},"PeriodicalIF":0.0000,"publicationDate":"2025-02-27","publicationTypes":"Journal Article","fieldsOfStudy":null,"isOpenAccess":false,"openAccessPdf":"https://www.ncbi.nlm.nih.gov/pmc/articles/PMC11905226/pdf/","citationCount":"0","resultStr":null,"platform":"Semanticscholar","paperid":null,"PeriodicalName":"Radiologia Brasileira","FirstCategoryId":"1085","ListUrlMain":"https://doi.org/10.1590/0100-3984.2024.0111","RegionNum":0,"RegionCategory":null,"ArticlePicture":[],"TitleCN":null,"AbstractTextCN":null,"PMCID":null,"EPubDate":"2025/1/1 0:00:00","PubModel":"eCollection","JCR":"Q3","JCRName":"Medicine","Score":null,"Total":0}
引用次数: 0

Abstract

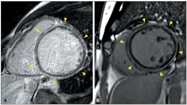
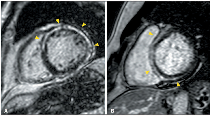
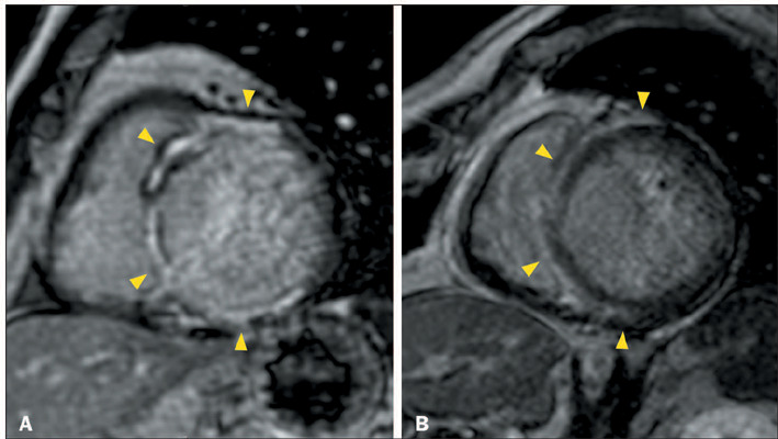
Advances in cardiac magnetic resonance have promoted tissue characterization with high spatial and contrast resolution, and late gadolinium enhancement (LGE) sequences have improved the detection of myocardial fibrosis. The distribution pattern of LGE facilitates differentiation between ischemic and nonischemic etiologies and aids in refining diagnoses within nonischemic cardiomyopathies, suggesting specific etiological factors. A distinctive nonischemic LGE pattern that has recently gained prominence is the ring-like pattern, defined as a subepicardial or mid-wall circumferential or semi-circumferential enhancement, which involves at least three contiguous segments within the same short-axis slice. Initially identified as a diagnostic marker for desmoplakin and filamin C-related cardiomyopathies, the pattern has been reported in nongenetic conditions; nevertheless, it remains an uncommon finding in these diseases. In this article, we aim to present the differential diagnoses of ring-like LGE and its mimics. The combination of epidemiological, clinical, electrocardiographic, and additional features enables a focused refinement of the differential diagnosis associated with ring-like LGE.

Abstract Image

Abstract Image

Abstract Image

环形晚期钆增强:鉴别诊断和模拟。
心脏磁共振的进步促进了高空间和对比度分辨率的组织表征,晚期钆增强(LGE)序列改善了心肌纤维化的检测。LGE的分布模式有助于区分缺血性和非缺血性病因,有助于改进非缺血性心肌病的诊断,提示特定的病因。一种独特的非缺血性LGE模式最近得到了重视,它被定义为心外膜下或中壁周向或半周向强化,包括在同一短轴切片内至少三个连续的段。该模式最初被认为是desmopl金和丝蛋白c相关心肌病的诊断标志物,在非遗传性疾病中也有报道;然而,在这些疾病中,它仍然是一种罕见的发现。在本文中,我们的目的是提出鉴别诊断环样LGE及其模拟。结合流行病学、临床、心电图和其他特征,可以集中改进与环状LGE相关的鉴别诊断。
本文章由计算机程序翻译,如有差异,请以英文原文为准。
求助全文
约1分钟内获得全文 求助全文
来源期刊
Radiologia Brasileira
Radiologia Brasileira Medicine-Radiology, Nuclear Medicine and Imaging
CiteScore
2.60
自引率
0.00%
发文量
75
审稿时长
28 weeks
×
引用
GB/T 7714-2015
复制
MLA
复制
APA
复制
导出至
BibTeX EndNote RefMan NoteFirst NoteExpress
×
提示
您的信息不完整,为了账户安全,请先补充。
现在去补充
×
提示
您因"违规操作"
具体请查看互助需知
我知道了
×
提示
确定
请完成安全验证×
copy
已复制链接
快去分享给好友吧!
我知道了
右上角分享
点击右上角分享
0
联系我们:info@booksci.cn Book学术提供免费学术资源搜索服务,方便国内外学者检索中英文文献。致力于提供最便捷和优质的服务体验。 Copyright © 2023 布克学术 All rights reserved.
京ICP备2023020795号-1
ghs 京公网安备 11010802042870号
Book学术文献互助
Book学术文献互助群
群 号:604180095
Book学术官方微信