Fatal Pulmonary Failure-A Rare Case of Blastomycosis Induced Acute Respiratory Distress Syndrome: A Case Report and Literature Review.

IF 0.8 Q3 MEDICINE, GENERAL & INTERNAL
Sinen Zeleke, Leen Kayali, Ean Bills, Saron Tigabe, Andy White, Victoria Watson, Fuad Zeid, Zakaria Alagha
{"title":"Fatal Pulmonary Failure-A Rare Case of Blastomycosis Induced Acute Respiratory Distress Syndrome: A Case Report and Literature Review.","authors":"Sinen Zeleke, Leen Kayali, Ean Bills, Saron Tigabe, Andy White, Victoria Watson, Fuad Zeid, Zakaria Alagha","doi":"10.1177/23247096251323074","DOIUrl":null,"url":null,"abstract":"<p><p>Blastomycosis is a systemic fungal infection caused by Blastomyces dermatitidis, primarily found in the Ohio and Mississippi River valleys. It often presents nonspecific symptoms, and while pulmonary involvement is common, progression to acute respiratory distress syndrome (ARDS) is rare but severe. This report examines a 55-year-old female patient with multiple comorbidities who developed ARDS due to blastomycosis. Imaging revealed multilobar infiltrates and pleural effusion, with cultures confirming blastomycosis. Despite broad-spectrum antibiotics and antifungal therapy, a delayed diagnosis led to respiratory failure and death. The case emphasizes the diagnostic challenges of blastomycosis, which can mimic conditions like bacterial pneumonia and malignancy. Treatment with amphotericin B is crucial for severe cases, but delays in diagnosis can worsen outcomes. This highlights the necessity for prompt diagnosis and comprehensive management, including early recognition of fungal infections in critically ill patients.</p>","PeriodicalId":16198,"journal":{"name":"Journal of investigative medicine high impact case reports","volume":"13 ","pages":"23247096251323074"},"PeriodicalIF":0.8000,"publicationDate":"2025-01-01","publicationTypes":"Journal Article","fieldsOfStudy":null,"isOpenAccess":false,"openAccessPdf":"https://www.ncbi.nlm.nih.gov/pmc/articles/PMC11909673/pdf/","citationCount":"0","resultStr":null,"platform":"Semanticscholar","paperid":null,"PeriodicalName":"Journal of investigative medicine high impact case reports","FirstCategoryId":"1085","ListUrlMain":"https://doi.org/10.1177/23247096251323074","RegionNum":0,"RegionCategory":null,"ArticlePicture":[],"TitleCN":null,"AbstractTextCN":null,"PMCID":null,"EPubDate":"2025/3/14 0:00:00","PubModel":"Epub","JCR":"Q3","JCRName":"MEDICINE, GENERAL & INTERNAL","Score":null,"Total":0}
引用次数: 0

Abstract

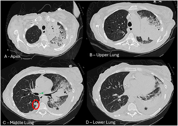
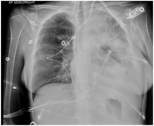
Blastomycosis is a systemic fungal infection caused by Blastomyces dermatitidis, primarily found in the Ohio and Mississippi River valleys. It often presents nonspecific symptoms, and while pulmonary involvement is common, progression to acute respiratory distress syndrome (ARDS) is rare but severe. This report examines a 55-year-old female patient with multiple comorbidities who developed ARDS due to blastomycosis. Imaging revealed multilobar infiltrates and pleural effusion, with cultures confirming blastomycosis. Despite broad-spectrum antibiotics and antifungal therapy, a delayed diagnosis led to respiratory failure and death. The case emphasizes the diagnostic challenges of blastomycosis, which can mimic conditions like bacterial pneumonia and malignancy. Treatment with amphotericin B is crucial for severe cases, but delays in diagnosis can worsen outcomes. This highlights the necessity for prompt diagnosis and comprehensive management, including early recognition of fungal infections in critically ill patients.

Abstract Image

Abstract Image

Abstract Image

致死性肺衰竭-罕见的芽孢菌病引起的急性呼吸窘迫综合征1例报告并文献复习。
芽生菌病是一种由皮炎芽生菌引起的全身性真菌感染,主要发现于俄亥俄和密西西比河流域。它通常表现为非特异性症状,虽然肺部受累是常见的,但进展为急性呼吸窘迫综合征(ARDS)罕见但严重。本报告报告了一位55岁女性患者,她患有多种合并症,因芽菌病而发展为ARDS。影像显示多叶浸润和胸腔积液,培养证实母菌病。尽管进行了广谱抗生素和抗真菌治疗,但延误的诊断导致呼吸衰竭和死亡。该病例强调了芽生菌病的诊断挑战,它可以模拟细菌性肺炎和恶性肿瘤等疾病。用两性霉素B治疗对重症病例至关重要,但诊断延误会使结果恶化。这突出了及时诊断和全面管理的必要性,包括早期识别危重患者的真菌感染。
本文章由计算机程序翻译,如有差异,请以英文原文为准。
求助全文
约1分钟内获得全文 求助全文
来源期刊
CiteScore
1.90
自引率
0.00%
发文量
165
审稿时长
12 weeks
期刊介绍: The AFMR is committed to enhancing the training and career development of our members and to furthering its mission to facilitate the conduct of research to improve medical care. Case reports represent an important avenue for trainees (interns, residents, and fellows) and early-stage faculty to demonstrate productive, scholarly activity.
×
引用
GB/T 7714-2015
复制
MLA
复制
APA
复制
导出至
BibTeX EndNote RefMan NoteFirst NoteExpress
×
提示
您的信息不完整,为了账户安全,请先补充。
现在去补充
×
提示
您因"违规操作"
具体请查看互助需知
我知道了
×
提示
确定
请完成安全验证×
copy
已复制链接
快去分享给好友吧!
我知道了
右上角分享
点击右上角分享
0
联系我们:info@booksci.cn Book学术提供免费学术资源搜索服务,方便国内外学者检索中英文文献。致力于提供最便捷和优质的服务体验。 Copyright © 2023 布克学术 All rights reserved.
京ICP备2023020795号-1
ghs 京公网安备 11010802042870号
Book学术文献互助
Book学术文献互助群
群 号:604180095
Book学术官方微信