Autoimmune Pulmonary Alveolar Proteinosis: A Rare Diagnosis in Pediatric Age.

IF 0.8 Q3 MEDICINE, GENERAL & INTERNAL
Inês Pais-Cunha, Augusta Gonçalves, Sara Paulino, José Fontoura Matias, Silva Sónia, Catarina Ferraz, Inês Azevedo
{"title":"Autoimmune Pulmonary Alveolar Proteinosis: A Rare Diagnosis in Pediatric Age.","authors":"Inês Pais-Cunha, Augusta Gonçalves, Sara Paulino, José Fontoura Matias, Silva Sónia, Catarina Ferraz, Inês Azevedo","doi":"10.1177/23247096251323188","DOIUrl":null,"url":null,"abstract":"<p><p>Autoimmune pulmonary alveolar proteinosis (AI-PAP) is a rare condition, especially in children. The clinical presentation ranges from asymptomatic forms to respiratory distress requiring ventilation. We describe the case of a 13-year-old adolescent male who presented to the emergency department with acute pleuritic chest pain not associated with systemic complaints. On examination, he had diminished breath sounds in the lower two thirds of the chest with no other abnormal findings; SpO<sub>2</sub> (oxygen saturation) was 98% on room air. Chest radiograph revealed a marked interstitial infiltrate, comparable with the one taken 4 years earlier during an acute illness that was presumptively treated with azithromycin. A computed tomography (CT) scan revealed multiple bilateral areas of ground-glass opacities with areas of crazy paving, involving > 65% of lung parenchyma, suggestive of pulmonary alveolar proteinosis (PAP). Respiratory viral testing, including for coronavirus (SARS-CoV2), was negative. Bronchoalveolar lavage performed in the outpatient setting revealed a milky fluid and positive periodic acid-Schiff staining. Spirometry indicated a mild restrictive pattern (forced vital capacity [FVC] = 77%) and diffusing capacity of the lungs for carbon monoxide (DLCO) showed a moderate decrease at 48.6%. No mutations associated with surfactant dysfunction were found on the genetic panel. Anti-granulocyte macrophage colony-stimulating factor (GM-CSF) antibody testing was strongly positive, raising suspicion for autoimmune PAP. At 20 months of follow-up, the patient remains asymptomatic with a normal spirometry. Although treatment with agents, such as the inhaled form of granulocyte-macrophage colony-stimulating factor (GM-CSF) appears promising for the treatment of symptomatic adult patients, as this patient remains asymptomatic, a conservative approach was taken, and he continues to be monitored in the clinic.</p>","PeriodicalId":16198,"journal":{"name":"Journal of investigative medicine high impact case reports","volume":"13 ","pages":"23247096251323188"},"PeriodicalIF":0.8000,"publicationDate":"2025-01-01","publicationTypes":"Journal Article","fieldsOfStudy":null,"isOpenAccess":false,"openAccessPdf":"https://www.ncbi.nlm.nih.gov/pmc/articles/PMC11909686/pdf/","citationCount":"0","resultStr":null,"platform":"Semanticscholar","paperid":null,"PeriodicalName":"Journal of investigative medicine high impact case reports","FirstCategoryId":"1085","ListUrlMain":"https://doi.org/10.1177/23247096251323188","RegionNum":0,"RegionCategory":null,"ArticlePicture":[],"TitleCN":null,"AbstractTextCN":null,"PMCID":null,"EPubDate":"2025/3/14 0:00:00","PubModel":"Epub","JCR":"Q3","JCRName":"MEDICINE, GENERAL & INTERNAL","Score":null,"Total":0}
引用次数: 0

Abstract

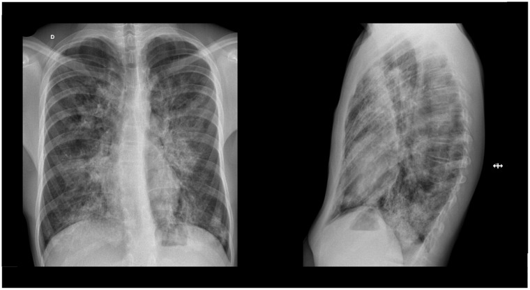
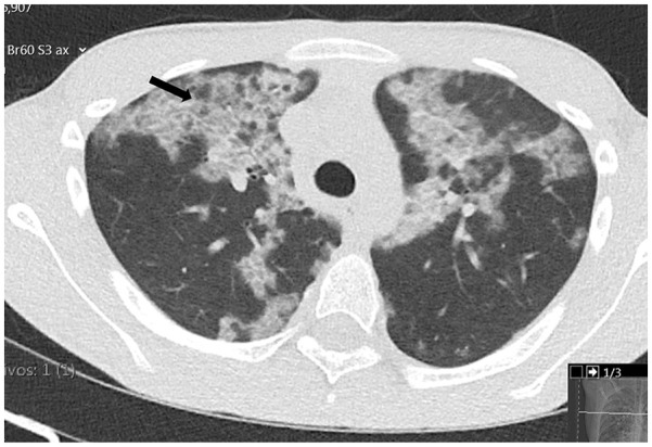
Autoimmune pulmonary alveolar proteinosis (AI-PAP) is a rare condition, especially in children. The clinical presentation ranges from asymptomatic forms to respiratory distress requiring ventilation. We describe the case of a 13-year-old adolescent male who presented to the emergency department with acute pleuritic chest pain not associated with systemic complaints. On examination, he had diminished breath sounds in the lower two thirds of the chest with no other abnormal findings; SpO2 (oxygen saturation) was 98% on room air. Chest radiograph revealed a marked interstitial infiltrate, comparable with the one taken 4 years earlier during an acute illness that was presumptively treated with azithromycin. A computed tomography (CT) scan revealed multiple bilateral areas of ground-glass opacities with areas of crazy paving, involving > 65% of lung parenchyma, suggestive of pulmonary alveolar proteinosis (PAP). Respiratory viral testing, including for coronavirus (SARS-CoV2), was negative. Bronchoalveolar lavage performed in the outpatient setting revealed a milky fluid and positive periodic acid-Schiff staining. Spirometry indicated a mild restrictive pattern (forced vital capacity [FVC] = 77%) and diffusing capacity of the lungs for carbon monoxide (DLCO) showed a moderate decrease at 48.6%. No mutations associated with surfactant dysfunction were found on the genetic panel. Anti-granulocyte macrophage colony-stimulating factor (GM-CSF) antibody testing was strongly positive, raising suspicion for autoimmune PAP. At 20 months of follow-up, the patient remains asymptomatic with a normal spirometry. Although treatment with agents, such as the inhaled form of granulocyte-macrophage colony-stimulating factor (GM-CSF) appears promising for the treatment of symptomatic adult patients, as this patient remains asymptomatic, a conservative approach was taken, and he continues to be monitored in the clinic.

Abstract Image

Abstract Image

Abstract Image

自身免疫性肺泡蛋白沉积症:一种罕见的儿科诊断。
自身免疫性肺泡蛋白沉积症(AI-PAP)是一种罕见的疾病,尤其是儿童。临床表现从无症状到需要通气的呼吸窘迫不等。我们描述的情况下,13岁的青少年男性谁提出了急性胸膜炎胸痛急诊科不相关的系统性投诉。经检查,他胸部下三分之二的呼吸音减弱,未见其他异常;室内空气的SpO2(氧饱和度)为98%。胸片显示明显的间质浸润,与4年前假定用阿奇霉素治疗的急性疾病时的胸片相当。计算机断层扫描(CT)显示多发双侧磨玻璃混浊区伴疯狂铺装区,累及> - 65%的肺实质,提示肺泡蛋白沉积症(PAP)。呼吸道病毒检测,包括冠状病毒(SARS-CoV2),呈阴性。门诊支气管肺泡灌洗显示乳白色液体和周期性酸性席夫染色阳性。肺活量测定显示轻度限制性模式(强制肺活量[FVC] = 77%),肺部一氧化碳弥散量(DLCO)显示中度下降,为48.6%。在基因面板上未发现与表面活性剂功能障碍相关的突变。抗粒细胞巨噬细胞集落刺激因子(GM-CSF)抗体检测强烈阳性,引起对自身免疫性PAP的怀疑。随访20个月,患者无症状,肺活量测定正常。尽管使用药物治疗,如吸入形式的粒细胞-巨噬细胞集落刺激因子(GM-CSF)似乎有望治疗有症状的成年患者,但由于该患者仍无症状,因此采取保守方法,并继续在临床监测。
本文章由计算机程序翻译,如有差异,请以英文原文为准。
求助全文
约1分钟内获得全文 求助全文
来源期刊
CiteScore
1.90
自引率
0.00%
发文量
165
审稿时长
12 weeks
期刊介绍: The AFMR is committed to enhancing the training and career development of our members and to furthering its mission to facilitate the conduct of research to improve medical care. Case reports represent an important avenue for trainees (interns, residents, and fellows) and early-stage faculty to demonstrate productive, scholarly activity.
×
引用
GB/T 7714-2015
复制
MLA
复制
APA
复制
导出至
BibTeX EndNote RefMan NoteFirst NoteExpress
×
提示
您的信息不完整,为了账户安全,请先补充。
现在去补充
×
提示
您因"违规操作"
具体请查看互助需知
我知道了
×
提示
确定
请完成安全验证×
copy
已复制链接
快去分享给好友吧!
我知道了
右上角分享
点击右上角分享
0
联系我们:info@booksci.cn Book学术提供免费学术资源搜索服务,方便国内外学者检索中英文文献。致力于提供最便捷和优质的服务体验。 Copyright © 2023 布克学术 All rights reserved.
京ICP备2023020795号-1
ghs 京公网安备 11010802042870号
Book学术文献互助
Book学术文献互助群
群 号:604180095
Book学术官方微信