Comparison of cone-beam computed tomography with photon-counting detector computed tomography for dental implant surgery.

IF 4 3区 医学 Q1 DENTISTRY, ORAL SURGERY & MEDICINE
Adib Al-Haj Husain, Victor Mergen, Silvio Valdec, Nadin Al-Haj Husain, Bernd Stadlinger, Harald Essig, Thomas Frauenfelder, Peter Kessler, Suen An Nynke Lie, Hatem Alkadhi, Sebastian Winklhofer
{"title":"Comparison of cone-beam computed tomography with photon-counting detector computed tomography for dental implant surgery.","authors":"Adib Al-Haj Husain, Victor Mergen, Silvio Valdec, Nadin Al-Haj Husain, Bernd Stadlinger, Harald Essig, Thomas Frauenfelder, Peter Kessler, Suen An Nynke Lie, Hatem Alkadhi, Sebastian Winklhofer","doi":"10.1186/s40729-025-00611-z","DOIUrl":null,"url":null,"abstract":"<p><strong>Purpose: </strong>To compare cone-beam computed tomography (CBCT) with photon-counting detector computed tomography (PCD-CT) at equivalent radiation doses, focusing on qualitative and quantitative parameters relevant to dental implant surgery.</p><p><strong>Methods: </strong>This ex vivo comparative study of porcine specimens assessed five imaging protocols with both CBCT and PCD-CT at three effective radiation dose levels (high: 360µSv, standard: 145µSv, low: 20µSv) to evaluate image quality, artifact burden, metal artifact susceptibility, and quantitative bone measurements in the mandibular region. Three blinded readers analyzed the data using a 5-point Likert scale (5 = highest to 1 = lowest rating) and performed linear bone measurements at implant planning sites. Statistical analysis included descriptive statistics and inter-reader reliability assessment using intraclass correlation coefficients (ICC).</p><p><strong>Results: </strong>Each reader evaluated 30 data sets (12 CBCT, 18 PCD-CT), with 24 implant planning sites per imaging protocol. High-dose PCD-CT demonstrated the best image quality and diagnostic interpretability (4.89 ± 0.27), followed by standard-dose PCD-CT and CBCT (4.50 ± 0.73; 4.33 ± 0.61), with low-dose protocols showing intermediate quality with higher artifact burden. In comparison to CBCT, PCD-CT demonstrated superior performance in reducing implant-induced artifacts across all protocols. Quantitative bone measurements showed minimal variability, meeting clinical precision requirements for computer-assisted implant surgery. Both qualitative (ICCs:0.70-0.89; p < 0.001) and quantitative (ICCs:0.79-1; p < 0.001) analyses demonstrated high reliability, regardless of the reader's experience.</p><p><strong>Conclusions: </strong>PCD-CT demonstrated superior image quality and reduced artifacts compared with CBCT at all radiation dose levels. These findings highlight PCD-CT's potential to enhance implant planning and improve clinical outcomes with reduced radiation exposure while maintaining diagnostic accuracy.</p>","PeriodicalId":14076,"journal":{"name":"International Journal of Implant Dentistry","volume":"11 1","pages":"21"},"PeriodicalIF":4.0000,"publicationDate":"2025-03-13","publicationTypes":"Journal Article","fieldsOfStudy":null,"isOpenAccess":false,"openAccessPdf":"https://www.ncbi.nlm.nih.gov/pmc/articles/PMC11906956/pdf/","citationCount":"0","resultStr":null,"platform":"Semanticscholar","paperid":null,"PeriodicalName":"International Journal of Implant Dentistry","FirstCategoryId":"3","ListUrlMain":"https://doi.org/10.1186/s40729-025-00611-z","RegionNum":3,"RegionCategory":"医学","ArticlePicture":[],"TitleCN":null,"AbstractTextCN":null,"PMCID":null,"EPubDate":"","PubModel":"","JCR":"Q1","JCRName":"DENTISTRY, ORAL SURGERY & MEDICINE","Score":null,"Total":0}
引用次数: 0

Abstract

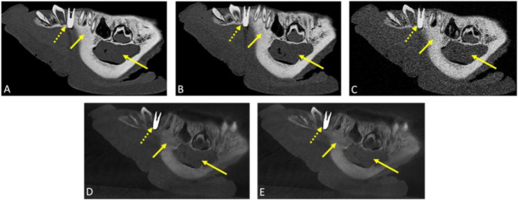
Purpose: To compare cone-beam computed tomography (CBCT) with photon-counting detector computed tomography (PCD-CT) at equivalent radiation doses, focusing on qualitative and quantitative parameters relevant to dental implant surgery.

Methods: This ex vivo comparative study of porcine specimens assessed five imaging protocols with both CBCT and PCD-CT at three effective radiation dose levels (high: 360µSv, standard: 145µSv, low: 20µSv) to evaluate image quality, artifact burden, metal artifact susceptibility, and quantitative bone measurements in the mandibular region. Three blinded readers analyzed the data using a 5-point Likert scale (5 = highest to 1 = lowest rating) and performed linear bone measurements at implant planning sites. Statistical analysis included descriptive statistics and inter-reader reliability assessment using intraclass correlation coefficients (ICC).

Results: Each reader evaluated 30 data sets (12 CBCT, 18 PCD-CT), with 24 implant planning sites per imaging protocol. High-dose PCD-CT demonstrated the best image quality and diagnostic interpretability (4.89 ± 0.27), followed by standard-dose PCD-CT and CBCT (4.50 ± 0.73; 4.33 ± 0.61), with low-dose protocols showing intermediate quality with higher artifact burden. In comparison to CBCT, PCD-CT demonstrated superior performance in reducing implant-induced artifacts across all protocols. Quantitative bone measurements showed minimal variability, meeting clinical precision requirements for computer-assisted implant surgery. Both qualitative (ICCs:0.70-0.89; p < 0.001) and quantitative (ICCs:0.79-1; p < 0.001) analyses demonstrated high reliability, regardless of the reader's experience.

Conclusions: PCD-CT demonstrated superior image quality and reduced artifacts compared with CBCT at all radiation dose levels. These findings highlight PCD-CT's potential to enhance implant planning and improve clinical outcomes with reduced radiation exposure while maintaining diagnostic accuracy.

Abstract Image

Abstract Image

Abstract Image

锥形束计算机断层扫描与光子计数检测器计算机断层扫描在种植牙手术中的比较。
目的:比较锥束计算机断层扫描(CBCT)和光子计数探测器计算机断层扫描(PCD-CT)在同等辐射剂量下的成像效果,重点关注与种植牙手术相关的定性和定量参数:这项猪标本活体比较研究评估了 CBCT 和 PCD-CT 在三种有效辐射剂量水平(高:360µSv;标准:145µSv;低:20µSv)下的五种成像方案,以评估下颌区域的图像质量、伪影负担、金属伪影敏感性和骨定量测量。三位盲人读者使用 5 点李克特量表(5 = 最高评分,1 = 最低评分)分析数据,并在种植规划部位进行线性骨测量。统计分析包括描述性统计和使用类内相关系数(ICC)评估阅读者之间的可靠性:结果:每位阅读者评估了 30 组数据(12 个 CBCT、18 个 PCD-CT),每个成像方案有 24 个种植规划点。高剂量 PCD-CT 的图像质量和诊断可解释性最好(4.89 ± 0.27),其次是标准剂量 PCD-CT 和 CBCT(4.50 ± 0.73;4.33 ± 0.61),低剂量方案的图像质量居中,但伪影较多。与 CBCT 相比,在所有方案中,PCD-CT 在减少植入物引起的伪影方面都表现优异。骨定量测量的变异性极小,符合计算机辅助种植手术的临床精度要求。定性测量(ICCs:0.70-0.89;P与 CBCT 相比,PCD-CT 在所有辐射剂量水平下都能显示出更优越的图像质量并减少伪影。这些研究结果凸显了 PCD-CT 在保持诊断准确性的同时,通过减少辐射暴露来增强种植规划和改善临床效果的潜力。
本文章由计算机程序翻译,如有差异,请以英文原文为准。
求助全文
约1分钟内获得全文 求助全文
来源期刊
International Journal of Implant Dentistry
International Journal of Implant Dentistry DENTISTRY, ORAL SURGERY & MEDICINE-
CiteScore
1.70
自引率
7.40%
发文量
53
审稿时长
13 weeks
期刊介绍: The International Journal of Implant Dentistry is a peer-reviewed open access journal published under the SpringerOpen brand. The journal is dedicated to promoting the exchange and discussion of all research areas relevant to implant dentistry in the form of systematic literature or invited reviews, prospective and retrospective clinical studies, clinical case reports, basic laboratory and animal research, and articles on material research and engineering.
×
引用
GB/T 7714-2015
复制
MLA
复制
APA
复制
导出至
BibTeX EndNote RefMan NoteFirst NoteExpress
×
提示
您的信息不完整,为了账户安全,请先补充。
现在去补充
×
提示
您因"违规操作"
具体请查看互助需知
我知道了
×
提示
确定
请完成安全验证×
copy
已复制链接
快去分享给好友吧!
我知道了
右上角分享
点击右上角分享
0
联系我们:info@booksci.cn Book学术提供免费学术资源搜索服务,方便国内外学者检索中英文文献。致力于提供最便捷和优质的服务体验。 Copyright © 2023 布克学术 All rights reserved.
京ICP备2023020795号-1
ghs 京公网安备 11010802042870号
Book学术文献互助
Book学术文献互助群
群 号:604180095
Book学术官方微信