Kimura disease of the tongue base: a rare case diagnosed through cytological examination of Warthin-Finkeldey-type multinucleated cells.

IF 1.4 Q4 HEMATOLOGY
Hidetoshi Satomi, Ayumi Ryu, Azusa Shingetsu, Sei Murayama, Yuki Morimoto, Yoshinori Kodama, Satoshi Tanada, Keiichiro Honma
{"title":"Kimura disease of the tongue base: a rare case diagnosed through cytological examination of Warthin-Finkeldey-type multinucleated cells.","authors":"Hidetoshi Satomi, Ayumi Ryu, Azusa Shingetsu, Sei Murayama, Yuki Morimoto, Yoshinori Kodama, Satoshi Tanada, Keiichiro Honma","doi":"10.3960/jslrt.25007","DOIUrl":null,"url":null,"abstract":"<p><p>Kimura disease (KD) is a rare chronic inflammatory condition that primarily affects Asian males and typically presents in the head and neck region. We describe an exceptionally rare case of KD involving the lingual tonsil of Waldeyer's ring in a 39-year-old Japanese man, marking only the second reported instance of lingual involvement and the first specifically affecting the tongue base. The patient presented with a well-circumscribed, 3.5-cm mass extending from the lingual tonsil to the epiglottis. Laboratory findings revealed significant peripheral eosinophilia (13.5%) and elevated serum IgE levels (2,750 IU/mL). Because of the challenging location for conventional biopsy, fine-needle aspiration cytology was performed on associated cervical lymph nodes. Cytological examination identified Warthin-Finkeldey-type multinucleated cells, eosinophilic infiltration, and vascular proliferation, leading to a presumptive KD diagnosis based on cytomorphology. The diagnosis was confirmed through surgical excision and histopathological analysis. This case is noteworthy for two reasons: it documents an extremely rare presentation of KD in the tongue base and underscores the diagnostic value of cytological examination in anatomically difficult locations where surgical biopsy may be unfeasible. The presence of Warthin-Finkeldey-type multinucleated cells in cytological specimens provided a key diagnostic clue, particularly when integrated with clinical and laboratory findings. At six months post-surgery, the patient showed no recurrence. This case highlights the importance of considering KD in the differential diagnosis of head and neck masses, even in atypical locations, and demonstrates the potential utility of cytological examination in diagnosing KD.</p>","PeriodicalId":45936,"journal":{"name":"Journal of Clinical and Experimental Hematopathology","volume":" ","pages":"129-134"},"PeriodicalIF":1.4000,"publicationDate":"2025-06-28","publicationTypes":"Journal Article","fieldsOfStudy":null,"isOpenAccess":false,"openAccessPdf":"https://www.ncbi.nlm.nih.gov/pmc/articles/PMC12351233/pdf/","citationCount":"0","resultStr":null,"platform":"Semanticscholar","paperid":null,"PeriodicalName":"Journal of Clinical and Experimental Hematopathology","FirstCategoryId":"1085","ListUrlMain":"https://doi.org/10.3960/jslrt.25007","RegionNum":0,"RegionCategory":null,"ArticlePicture":[],"TitleCN":null,"AbstractTextCN":null,"PMCID":null,"EPubDate":"2025/3/12 0:00:00","PubModel":"Epub","JCR":"Q4","JCRName":"HEMATOLOGY","Score":null,"Total":0}
引用次数: 0

Abstract

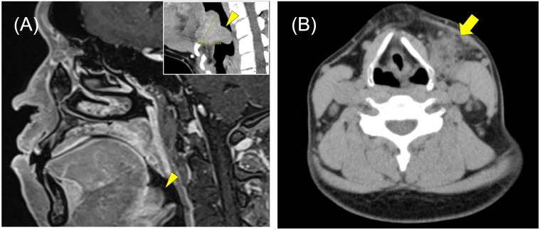
Kimura disease (KD) is a rare chronic inflammatory condition that primarily affects Asian males and typically presents in the head and neck region. We describe an exceptionally rare case of KD involving the lingual tonsil of Waldeyer's ring in a 39-year-old Japanese man, marking only the second reported instance of lingual involvement and the first specifically affecting the tongue base. The patient presented with a well-circumscribed, 3.5-cm mass extending from the lingual tonsil to the epiglottis. Laboratory findings revealed significant peripheral eosinophilia (13.5%) and elevated serum IgE levels (2,750 IU/mL). Because of the challenging location for conventional biopsy, fine-needle aspiration cytology was performed on associated cervical lymph nodes. Cytological examination identified Warthin-Finkeldey-type multinucleated cells, eosinophilic infiltration, and vascular proliferation, leading to a presumptive KD diagnosis based on cytomorphology. The diagnosis was confirmed through surgical excision and histopathological analysis. This case is noteworthy for two reasons: it documents an extremely rare presentation of KD in the tongue base and underscores the diagnostic value of cytological examination in anatomically difficult locations where surgical biopsy may be unfeasible. The presence of Warthin-Finkeldey-type multinucleated cells in cytological specimens provided a key diagnostic clue, particularly when integrated with clinical and laboratory findings. At six months post-surgery, the patient showed no recurrence. This case highlights the importance of considering KD in the differential diagnosis of head and neck masses, even in atypical locations, and demonstrates the potential utility of cytological examination in diagnosing KD.

Abstract Image

Abstract Image

Abstract Image

舌底木村病:一例罕见的通过warthin - finkeldey型多核细胞细胞学检查诊断的病例。
木村病(KD)是一种罕见的慢性炎症性疾病,主要影响亚洲男性,通常出现在头颈部。我们描述了一个异常罕见的病例KD涉及舌扁桃体的瓦尔德耶氏环在一个39岁的日本男子,标志着只有第二个报告的例子,舌受累和第一个特别影响舌根。患者表现为边界清楚的3.5 cm肿块,从舌扁桃体延伸至会厌。实验室结果显示明显的外周嗜酸性粒细胞增多(13.5%)和血清IgE水平升高(2750 IU/mL)。由于常规活检的位置具有挑战性,因此对相关颈部淋巴结进行了细针穿刺细胞学检查。细胞学检查发现warthin - finkeldey型多核细胞,嗜酸性粒细胞浸润和血管增生,根据细胞形态学推定诊断为KD。经手术切除及组织病理分析确诊。这个病例值得注意的原因有两个:它记录了一个极其罕见的舌底KD的表现,强调了细胞学检查在解剖困难的部位的诊断价值,手术活检可能是不可行的。细胞学标本中warthin - finkeldey型多核细胞的存在提供了关键的诊断线索,特别是当与临床和实验室结果相结合时。术后6个月,患者无复发。本病例强调了在头颈部肿块鉴别诊断中考虑KD的重要性,即使在非典型部位,也证明了细胞学检查在诊断KD中的潜在效用。
本文章由计算机程序翻译,如有差异,请以英文原文为准。
求助全文
约1分钟内获得全文 求助全文
来源期刊
CiteScore
2.00
自引率
6.70%
发文量
25
审稿时长
11 weeks
×
引用
GB/T 7714-2015
复制
MLA
复制
APA
复制
导出至
BibTeX EndNote RefMan NoteFirst NoteExpress
×
提示
您的信息不完整,为了账户安全,请先补充。
现在去补充
×
提示
您因"违规操作"
具体请查看互助需知
我知道了
×
提示
确定
请完成安全验证×
copy
已复制链接
快去分享给好友吧!
我知道了
右上角分享
点击右上角分享
0
联系我们:info@booksci.cn Book学术提供免费学术资源搜索服务,方便国内外学者检索中英文文献。致力于提供最便捷和优质的服务体验。 Copyright © 2023 布克学术 All rights reserved.
京ICP备2023020795号-1
ghs 京公网安备 11010802042870号
Book学术文献互助
Book学术文献互助群
群 号:604180095
Book学术官方微信