Dose- and sex-dependent effects on umbilical cord-derived mesenchymal stem cell efficacy in regeneration of a full-thickness tendon defect in a rat model.

IF 1.7 Q2 ORTHOPEDICS
Clinics in Shoulder and Elbow Pub Date : 2025-03-01 Epub Date: 2025-02-17 DOI:10.5397/cise.2024.00626
Ji-Hye Yea, Chris Hyunchul Jo
{"title":"Dose- and sex-dependent effects on umbilical cord-derived mesenchymal stem cell efficacy in regeneration of a full-thickness tendon defect in a rat model.","authors":"Ji-Hye Yea, Chris Hyunchul Jo","doi":"10.5397/cise.2024.00626","DOIUrl":null,"url":null,"abstract":"<p><strong>Background: </strong>Mesenchymal stem cells (MSCs) have shown potential in regenerative medicine. In the present study the effects of MSC dosage and recipient sex on tendon regeneration were evaluated.</p><p><strong>Methods: </strong>A full-thickness tendon defect (FTTD) was created on supraspinatus tendons (SSTs) of rats and cryoprotective solution (CPS) and MSCs (0.05, 0.1 and 0.5 million MSCs [M-MSC] for female groups and 1.0 M-MSC for both female and male groups) were applied. After 2 and 4 weeks, macroscopic and histological evaluations were performed.</p><p><strong>Results: </strong>Total macroscopic scores were improved in all MSC groups compared with the CPS group, with no significant differences among the MSC groups. Furthermore, all MSC groups had lower total degenerative scores than the CPS group; however, only 0.1 M-MSC, 0.5 M-MSC, and 1 M-MSC groups showed significantly improved hyalinization compared with the CPS group at 4 weeks. Collagen organization and coherence were higher in all MSC groups than in the CPS group at both 2 and 4 weeks; however, 0.5 M-MSC and 1 M-MSC groups scored better than the 0.05 M-MSC group at 4 weeks. Heterotopic matrix analysis revealed smaller glycosaminoglycan (GAG)-rich areas in the 0.1 M-MSC, 0.5 M-MSC, and 1 M-MSC groups compared with the CPS group at 4 weeks. Overall, macroscopic and histological evaluations were not significantly different between female and male groups except for GAG-rich area.</p><p><strong>Conclusions: </strong>The MSC dosage affected collagen and heterotopic matrix formation in a FTTD rat model; however, the efficacy of MSCs (1.0 M dose) in collagen regeneration was not affected based on the sex of the recipient. Level of evidence: I.</p>","PeriodicalId":33981,"journal":{"name":"Clinics in Shoulder and Elbow","volume":"28 1","pages":"49-59"},"PeriodicalIF":1.7000,"publicationDate":"2025-03-01","publicationTypes":"Journal Article","fieldsOfStudy":null,"isOpenAccess":false,"openAccessPdf":"https://www.ncbi.nlm.nih.gov/pmc/articles/PMC11938924/pdf/","citationCount":"0","resultStr":null,"platform":"Semanticscholar","paperid":null,"PeriodicalName":"Clinics in Shoulder and Elbow","FirstCategoryId":"1085","ListUrlMain":"https://doi.org/10.5397/cise.2024.00626","RegionNum":0,"RegionCategory":null,"ArticlePicture":[],"TitleCN":null,"AbstractTextCN":null,"PMCID":null,"EPubDate":"2025/2/17 0:00:00","PubModel":"Epub","JCR":"Q2","JCRName":"ORTHOPEDICS","Score":null,"Total":0}
引用次数: 0

Abstract

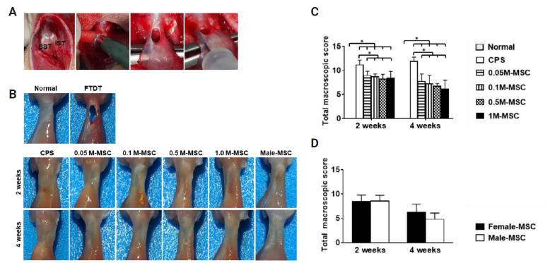
Background: Mesenchymal stem cells (MSCs) have shown potential in regenerative medicine. In the present study the effects of MSC dosage and recipient sex on tendon regeneration were evaluated.

Methods: A full-thickness tendon defect (FTTD) was created on supraspinatus tendons (SSTs) of rats and cryoprotective solution (CPS) and MSCs (0.05, 0.1 and 0.5 million MSCs [M-MSC] for female groups and 1.0 M-MSC for both female and male groups) were applied. After 2 and 4 weeks, macroscopic and histological evaluations were performed.

Results: Total macroscopic scores were improved in all MSC groups compared with the CPS group, with no significant differences among the MSC groups. Furthermore, all MSC groups had lower total degenerative scores than the CPS group; however, only 0.1 M-MSC, 0.5 M-MSC, and 1 M-MSC groups showed significantly improved hyalinization compared with the CPS group at 4 weeks. Collagen organization and coherence were higher in all MSC groups than in the CPS group at both 2 and 4 weeks; however, 0.5 M-MSC and 1 M-MSC groups scored better than the 0.05 M-MSC group at 4 weeks. Heterotopic matrix analysis revealed smaller glycosaminoglycan (GAG)-rich areas in the 0.1 M-MSC, 0.5 M-MSC, and 1 M-MSC groups compared with the CPS group at 4 weeks. Overall, macroscopic and histological evaluations were not significantly different between female and male groups except for GAG-rich area.

Conclusions: The MSC dosage affected collagen and heterotopic matrix formation in a FTTD rat model; however, the efficacy of MSCs (1.0 M dose) in collagen regeneration was not affected based on the sex of the recipient. Level of evidence: I.

Abstract Image

Abstract Image

Abstract Image

剂量和性别依赖性对脐带间充质干细胞再生大鼠全层肌腱缺损的影响。
背景:间充质干细胞(MSCs)在再生医学中显示出潜力。本研究评价了骨髓间充质干细胞剂量和受体性别对肌腱再生的影响。方法:在大鼠冈上肌腱(SSTs)上制造全层肌腱缺损(FTTD),应用冷冻保护液(CPS)和间充质干细胞(雌性组0.05、10万、50万个MSCs [M-MSC],雌雄组各1.0个M-MSC)。2周和4周后进行宏观和组织学评价。结果:与CPS组相比,所有MSC组的宏观评分均有所提高,MSC组间无显著差异。此外,所有MSC组的退行性评分均低于CPS组;然而,与CPS组相比,只有0.1 M-MSC、0.5 M-MSC和1 M-MSC组在4周时显示出明显改善的透明化。在2周和4周时,所有MSC组的胶原组织和一致性均高于CPS组;但在第4周时,0.5 M-MSC组和1 M-MSC组的评分高于0.05 M-MSC组。异位基质分析显示,与4周时的CPS组相比,0.1 M-MSC、0.5 M-MSC和1 M-MSC组的糖胺聚糖(GAG)富区更小。总体而言,除了gag富集区域外,男女两组间的宏观和组织学评价均无显著差异。结论:间充质干细胞剂量影响FTTD大鼠模型中胶原和异位基质的形成;然而,MSCs (1.0 M剂量)的胶原再生效果不受受体性别的影响。证据等级:1。
本文章由计算机程序翻译,如有差异,请以英文原文为准。
求助全文
约1分钟内获得全文 求助全文
来源期刊
CiteScore
0.30
自引率
0.00%
发文量
55
审稿时长
15 weeks
×
引用
GB/T 7714-2015
复制
MLA
复制
APA
复制
导出至
BibTeX EndNote RefMan NoteFirst NoteExpress
×
提示
您的信息不完整,为了账户安全,请先补充。
现在去补充
×
提示
您因"违规操作"
具体请查看互助需知
我知道了
×
提示
确定
请完成安全验证×
copy
已复制链接
快去分享给好友吧!
我知道了
右上角分享
点击右上角分享
0
联系我们:info@booksci.cn Book学术提供免费学术资源搜索服务,方便国内外学者检索中英文文献。致力于提供最便捷和优质的服务体验。 Copyright © 2023 布克学术 All rights reserved.
京ICP备2023020795号-1
ghs 京公网安备 11010802042870号
Book学术文献互助
Book学术文献互助群
群 号:604180095
Book学术官方微信