Assessment of unrecognized myocardial infarction using cardiac magnetic resonance imaging in patients with endstage renal disease.

Q3 Medicine
Radiologia Brasileira Pub Date : 2025-02-27 eCollection Date: 2025-01-01 DOI:10.1590/0100-3984.2024.0090
Ihsan Yuce, Mustafa Keles, Mecit Kantarci
{"title":"Assessment of unrecognized myocardial infarction using cardiac magnetic resonance imaging in patients with endstage renal disease.","authors":"Ihsan Yuce, Mustafa Keles, Mecit Kantarci","doi":"10.1590/0100-3984.2024.0090","DOIUrl":null,"url":null,"abstract":"<p><strong>Objective: </strong>To assess the frequency of unrecognized myocardial infarction and identify additional ischemic conditions, as well as to evaluate the efficacy of cardiac magnetic resonance imaging (CMRI) in risk groups, comparing the imaging findings with electro-cardiographic (ECG) and laboratory data in patients with stage 5 chronic kidney disease, also known as end-stage renal disease.</p><p><strong>Materials and methods: </strong>This was a prospective single-center study involving 20 patients who were referred to our radiology department to undergo CMRI between June 2010 and December 2011. Resting left ventricular functions and (early and late) myocardial contrast enhancement were assessed in all patients. Laboratory tests and ECG were conducted on all individuals. The mean duration of clinical follow-up was 18 á 4 months.</p><p><strong>Results: </strong>Pathological results were seen in six (30%) of the patients in our study sample. Scar tissue was identified as a high-risk factor in three patients (15%), and myocardial hibernation was shown to pose a moderate risk in three patients (15%). In the remaining 14 cases, no pathology was identified, and the risk was therefore categorized as low. A statistically significant disparity in mortality rates was observed between the high- and low-risk groups (<i>p</i> < 0.05). There were no statistically significant differences between the two groups in terms of the ECG and cardiac biomarkers.</p><p><strong>Conclusion: </strong>Our findings indicate that CMRI is effective in accurately categorizing risk groups and detecting ischemic conditions, even when such events are not evident on ECG or laboratory tests.</p>","PeriodicalId":20842,"journal":{"name":"Radiologia Brasileira","volume":"58 ","pages":"e20240090"},"PeriodicalIF":0.0000,"publicationDate":"2025-02-27","publicationTypes":"Journal Article","fieldsOfStudy":null,"isOpenAccess":false,"openAccessPdf":"https://www.ncbi.nlm.nih.gov/pmc/articles/PMC11902520/pdf/","citationCount":"0","resultStr":null,"platform":"Semanticscholar","paperid":null,"PeriodicalName":"Radiologia Brasileira","FirstCategoryId":"1085","ListUrlMain":"https://doi.org/10.1590/0100-3984.2024.0090","RegionNum":0,"RegionCategory":null,"ArticlePicture":[],"TitleCN":null,"AbstractTextCN":null,"PMCID":null,"EPubDate":"2025/1/1 0:00:00","PubModel":"eCollection","JCR":"Q3","JCRName":"Medicine","Score":null,"Total":0}
引用次数: 0

Abstract

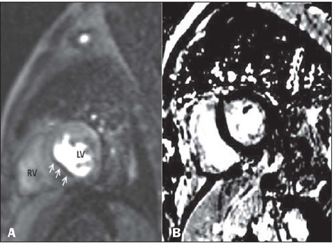
Objective: To assess the frequency of unrecognized myocardial infarction and identify additional ischemic conditions, as well as to evaluate the efficacy of cardiac magnetic resonance imaging (CMRI) in risk groups, comparing the imaging findings with electro-cardiographic (ECG) and laboratory data in patients with stage 5 chronic kidney disease, also known as end-stage renal disease.

Materials and methods: This was a prospective single-center study involving 20 patients who were referred to our radiology department to undergo CMRI between June 2010 and December 2011. Resting left ventricular functions and (early and late) myocardial contrast enhancement were assessed in all patients. Laboratory tests and ECG were conducted on all individuals. The mean duration of clinical follow-up was 18 á 4 months.

Results: Pathological results were seen in six (30%) of the patients in our study sample. Scar tissue was identified as a high-risk factor in three patients (15%), and myocardial hibernation was shown to pose a moderate risk in three patients (15%). In the remaining 14 cases, no pathology was identified, and the risk was therefore categorized as low. A statistically significant disparity in mortality rates was observed between the high- and low-risk groups (p < 0.05). There were no statistically significant differences between the two groups in terms of the ECG and cardiac biomarkers.

Conclusion: Our findings indicate that CMRI is effective in accurately categorizing risk groups and detecting ischemic conditions, even when such events are not evident on ECG or laboratory tests.

Abstract Image

Abstract Image

终末期肾病患者心脏磁共振成像对未识别心肌梗死的评估。
目的:评估未被识别的心肌梗死的频率,识别额外的缺血性疾病,并评估心脏磁共振成像(CMRI)在危险人群中的疗效,将5期慢性肾脏疾病(也称为终末期肾脏疾病)患者的成像结果与心电图(ECG)和实验室数据进行比较。材料和方法:这是一项前瞻性单中心研究,涉及2010年6月至2011年12月期间转介到我们放射科接受CMRI检查的20例患者。评估所有患者静息左心室功能和(早期和晚期)心肌对比增强。对所有个体进行了实验室检查和心电图检查。临床随访时间平均为18.4个月。结果:本组患者中有6例(30%)出现病理结果。瘢痕组织在3例(15%)患者中被确定为高危因素,心肌冬眠在3例(15%)患者中被证明具有中等风险。在其余14例中,未发现病理,因此风险被归类为低。高危组和低危组的死亡率差异有统计学意义(p < 0.05)。两组在心电图和心脏生物标志物方面无统计学差异。结论:我们的研究结果表明,CMRI在准确分类危险人群和检测缺血性疾病方面是有效的,即使这些事件在ECG或实验室检查中不明显。
本文章由计算机程序翻译,如有差异,请以英文原文为准。
求助全文
约1分钟内获得全文 求助全文
来源期刊
Radiologia Brasileira
Radiologia Brasileira Medicine-Radiology, Nuclear Medicine and Imaging
CiteScore
2.60
自引率
0.00%
发文量
75
审稿时长
28 weeks
×
引用
GB/T 7714-2015
复制
MLA
复制
APA
复制
导出至
BibTeX EndNote RefMan NoteFirst NoteExpress
×
提示
您的信息不完整,为了账户安全,请先补充。
现在去补充
×
提示
您因"违规操作"
具体请查看互助需知
我知道了
×
提示
确定
请完成安全验证×
copy
已复制链接
快去分享给好友吧!
我知道了
右上角分享
点击右上角分享
0
联系我们:info@booksci.cn Book学术提供免费学术资源搜索服务,方便国内外学者检索中英文文献。致力于提供最便捷和优质的服务体验。 Copyright © 2023 布克学术 All rights reserved.
京ICP备2023020795号-1
ghs 京公网安备 11010802042870号
Book学术文献互助
Book学术文献互助群
群 号:604180095
Book学术官方微信