Bioactivated scaffolds promote angiogenesis and lymphangiogenesis for dermal regeneration in vivo.

IF 7 1区 工程技术 Q1 CELL & TISSUE ENGINEERING
Journal of Tissue Engineering Pub Date : 2025-03-12 eCollection Date: 2025-01-01 DOI:10.1177/20417314251317542
Benedikt Fuchs, Sinan Mert, Daniel Hofmann, Constanze Kuhlmann, Alexandra Birt, Paul Severin Wiggenhauser, Riccardo E Giunta, Myra N Chavez, Jörg Nickelsen, Thilo Ludwig Schenck, Nicholas Moellhoff
{"title":"Bioactivated scaffolds promote angiogenesis and lymphangiogenesis for dermal regeneration in vivo.","authors":"Benedikt Fuchs, Sinan Mert, Daniel Hofmann, Constanze Kuhlmann, Alexandra Birt, Paul Severin Wiggenhauser, Riccardo E Giunta, Myra N Chavez, Jörg Nickelsen, Thilo Ludwig Schenck, Nicholas Moellhoff","doi":"10.1177/20417314251317542","DOIUrl":null,"url":null,"abstract":"<p><p>Chronic wounds represent an unresolved medical challenge with significant impact for patients' quality of life and global healthcare. Diverse in origin, ischemic-hypoxic and inflammatory conditions play central roles as pathological features that impede proper tissue regeneration. In this study, we propose an innovative approach to address this challenge. Our novel strategy utilizes photosynthetic biomaterials to restore the wound healing process firstly by promoting a normoxic, regeneration-supporting environment and secondly by mitigating inflammation through restoring lymphatic fluid transport and improving blood perfusion. We designed bioartificial scaffolds with photosynthetic cyanobacteria (Syn<i>echococcus sp. PCC</i> 7002) and assessed their functional integration in a bilateral full-thickness skin defect on the backs of mice over a period of 7 days. Illuminated photosynthetic cyanobacteria facilitated local tissue oxygenation independent of blood perfusion. Additionally, genetic modification enabled the secretion of lymphangiogenic hyaluronic acid (HA) into the wound area. After 7 days, the scaffolds were explanted and histologically examined, assessing cell migration (HE staining) and protein expression (CD31, LYVE-1, VEGFR3, Ly6G, and F4/80). Results demonstrated successful colonization of bioartificial scaffolds with cyanobacteria. Following implantation into bilateral full-thickness skin defects, we observed an adherent vascularized basal layer beneath the bioactivated scaffolds after 7 days. Substantial increases in cell migration within bacteria-loaden scaffolds were noted, accompanied by a heightened expression of lymphatic (LYVE-1 and VEGFR3) and endothelial cell markers (CD31). Simultaneously, an augmented expression of acute (Ly6G) and late (F4/80) inflammatory proteins was observed. In summary, we developed a viable photosynthetic scaffold by integrating cyanobacteria into dermal regeneration materials (DRM), promoting the expression of lymphatic, endothelial, and inflammatory proteins under hypoxic conditions. The findings from this study represent a significant advancement in establishing autotrophic tissue engineering approaches, advocating for the use of photosynthetic cells in treating a broad spectrum of hypoxic conditions.</p>","PeriodicalId":17384,"journal":{"name":"Journal of Tissue Engineering","volume":"16 ","pages":"20417314251317542"},"PeriodicalIF":7.0000,"publicationDate":"2025-03-12","publicationTypes":"Journal Article","fieldsOfStudy":null,"isOpenAccess":false,"openAccessPdf":"https://www.ncbi.nlm.nih.gov/pmc/articles/PMC11898032/pdf/","citationCount":"0","resultStr":null,"platform":"Semanticscholar","paperid":null,"PeriodicalName":"Journal of Tissue Engineering","FirstCategoryId":"5","ListUrlMain":"https://doi.org/10.1177/20417314251317542","RegionNum":1,"RegionCategory":"工程技术","ArticlePicture":[],"TitleCN":null,"AbstractTextCN":null,"PMCID":null,"EPubDate":"2025/1/1 0:00:00","PubModel":"eCollection","JCR":"Q1","JCRName":"CELL & TISSUE ENGINEERING","Score":null,"Total":0}
引用次数: 0

Abstract

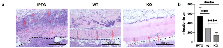
Chronic wounds represent an unresolved medical challenge with significant impact for patients' quality of life and global healthcare. Diverse in origin, ischemic-hypoxic and inflammatory conditions play central roles as pathological features that impede proper tissue regeneration. In this study, we propose an innovative approach to address this challenge. Our novel strategy utilizes photosynthetic biomaterials to restore the wound healing process firstly by promoting a normoxic, regeneration-supporting environment and secondly by mitigating inflammation through restoring lymphatic fluid transport and improving blood perfusion. We designed bioartificial scaffolds with photosynthetic cyanobacteria (Synechococcus sp. PCC 7002) and assessed their functional integration in a bilateral full-thickness skin defect on the backs of mice over a period of 7 days. Illuminated photosynthetic cyanobacteria facilitated local tissue oxygenation independent of blood perfusion. Additionally, genetic modification enabled the secretion of lymphangiogenic hyaluronic acid (HA) into the wound area. After 7 days, the scaffolds were explanted and histologically examined, assessing cell migration (HE staining) and protein expression (CD31, LYVE-1, VEGFR3, Ly6G, and F4/80). Results demonstrated successful colonization of bioartificial scaffolds with cyanobacteria. Following implantation into bilateral full-thickness skin defects, we observed an adherent vascularized basal layer beneath the bioactivated scaffolds after 7 days. Substantial increases in cell migration within bacteria-loaden scaffolds were noted, accompanied by a heightened expression of lymphatic (LYVE-1 and VEGFR3) and endothelial cell markers (CD31). Simultaneously, an augmented expression of acute (Ly6G) and late (F4/80) inflammatory proteins was observed. In summary, we developed a viable photosynthetic scaffold by integrating cyanobacteria into dermal regeneration materials (DRM), promoting the expression of lymphatic, endothelial, and inflammatory proteins under hypoxic conditions. The findings from this study represent a significant advancement in establishing autotrophic tissue engineering approaches, advocating for the use of photosynthetic cells in treating a broad spectrum of hypoxic conditions.

Abstract Image

Abstract Image

Abstract Image

生物活性支架在体内促进皮肤再生的血管生成和淋巴管生成。
慢性伤口是一个未解决的医疗挑战,对患者的生活质量和全球医疗保健产生重大影响。缺血-缺氧和炎症的来源多种多样,它们是阻碍组织正常再生的主要病理特征。在本研究中,我们提出了一种创新的方法来应对这一挑战。我们的新策略利用光合生物材料来恢复伤口愈合过程,首先通过促进正常的、支持再生的环境,其次通过恢复淋巴液运输和改善血液灌注来减轻炎症。我们用光合蓝藻细菌(Synechococcus sp. PCC 7002)设计了生物人工支架,并在7天的时间内评估了它们在小鼠背部双侧全层皮肤缺损中的功能整合。光照下的光合蓝藻促进了局部组织氧合而不依赖于血液灌注。此外,基因修饰使淋巴管生成透明质酸(HA)分泌到伤口区域。7天后,移植支架并进行组织学检查,评估细胞迁移(HE染色)和蛋白表达(CD31、LYVE-1、VEGFR3、Ly6G和F4/80)。结果表明蓝藻成功地定植了生物人工支架。植入双侧全层皮肤缺损7天后,我们观察到生物活性支架下附着有血管的基底层。细菌负载支架内的细胞迁移显著增加,淋巴细胞(LYVE-1和VEGFR3)和内皮细胞标志物(CD31)的表达升高。同时,观察到急性(Ly6G)和晚期(F4/80)炎症蛋白的表达增强。总之,我们通过将蓝藻整合到皮肤再生材料(DRM)中,在缺氧条件下促进淋巴、内皮和炎症蛋白的表达,开发了一种可行的光合支架。这项研究的发现在建立自养组织工程方法方面取得了重大进展,提倡使用光合细胞治疗广泛的缺氧条件。
本文章由计算机程序翻译,如有差异,请以英文原文为准。
求助全文
约1分钟内获得全文 求助全文
来源期刊
Journal of Tissue Engineering
Journal of Tissue Engineering Engineering-Biomedical Engineering
CiteScore
11.60
自引率
4.90%
发文量
52
审稿时长
12 weeks
期刊介绍: The Journal of Tissue Engineering (JTE) is a peer-reviewed, open-access journal dedicated to scientific research in the field of tissue engineering and its clinical applications. Our journal encompasses a wide range of interests, from the fundamental aspects of stem cells and progenitor cells, including their expansion to viable numbers, to an in-depth understanding of their differentiation processes. Join us in exploring the latest advancements in tissue engineering and its clinical translation.
×
引用
GB/T 7714-2015
复制
MLA
复制
APA
复制
导出至
BibTeX EndNote RefMan NoteFirst NoteExpress
×
提示
您的信息不完整,为了账户安全,请先补充。
现在去补充
×
提示
您因"违规操作"
具体请查看互助需知
我知道了
×
提示
确定
请完成安全验证×
copy
已复制链接
快去分享给好友吧!
我知道了
右上角分享
点击右上角分享
0
联系我们:info@booksci.cn Book学术提供免费学术资源搜索服务,方便国内外学者检索中英文文献。致力于提供最便捷和优质的服务体验。 Copyright © 2023 布克学术 All rights reserved.
京ICP备2023020795号-1
ghs 京公网安备 11010802042870号
Book学术文献互助
Book学术文献互助群
群 号:604180095
Book学术官方微信