Diagnostic Performance of Dermoscopy for Distinguishing Early Melanomas and Intermediate Melanocytic Lesions From Low-Grade Dysplastic Nevi.

IF 3.9 4区 医学 Q2 DERMATOLOGY
Journal of Cutaneous Medicine and Surgery Pub Date : 2025-09-01 Epub Date: 2025-03-12 DOI:10.1177/12034754251325508
Ceylan Avcı, Meltem Kaşıkçı, Banu Lebe, Sevgi Akarsu, Turna İlknur
{"title":"Diagnostic Performance of Dermoscopy for Distinguishing Early Melanomas and Intermediate Melanocytic Lesions From Low-Grade Dysplastic Nevi.","authors":"Ceylan Avcı, Meltem Kaşıkçı, Banu Lebe, Sevgi Akarsu, Turna İlknur","doi":"10.1177/12034754251325508","DOIUrl":null,"url":null,"abstract":"<p><strong>Background: </strong>Early melanomas, dysplastic melanocytic nevi, and melanocytic tumours of uncertain malignant potential (MELTUMPs) reveal similar clinic and dermoscopic findings leading to underdiagnosis of malign lesions or unnecessary excision of benign ones. High-grade dysplastic nevi and MELTUMPs in the intermediate category should be recognized and completely excised.</p><p><strong>Objectives: </strong>We evaluated the diagnostic performance of pattern analysis, ABCD rule, colour, architecture, symmetry, and homogeneity algorithm, melanoma-specific structures and asymmetry of dermoscopic features in distinguishing early melanomas, high-grade dysplastic nevi, and MELTUMPs from low-grade dysplastic nevi.</p><p><strong>Methods: </strong>We retrospectively assessed dermoscopic images blindly to the histopathological diagnoses in a university hospital.</p><p><strong>Results: </strong>One hundred forty histopathologically confirmed melanocytic lesions were included (93 low-grade dysplastic nevi, 26 thin melanomas, 17 high-grade dysplastic nevi, and 4 MELTUMPs). All dermoscopic methods had poor diagnostic performance in early melanomas and intermediate melanocytic lesions. In the multivariate analyses of dermoscopic findings, the atypical pigment network (OR: 3.58, 95% CI: 1.31-9.72), asymmetry of globules (OR: 3.17, 95% CI: 1.37-7.35), streaks (OR: 6.16, 95% CI: 1.95-19.48) and homogenous structureless areas (OR: 5.92, 95% CI: 2.36-14.92) were the significant predictive factors for melanomas and intermediate melanocytic lesions. Positive predictive values of melanoma-specific structures were shiny white structures (100%), scar-like depigmentation (85.7%), blue-white veil (72.7%), atypical blotch (72.2%), and negative pigment network (71.4%).</p><p><strong>Conclusions: </strong>Shiny white structures, atypical network, asymmetry of globules, streaks, and homogeneous structureless areas were the most significant dermoscopic findings in discriminating early melanomas and intermediate melanocytic lesions from low-grade dysplastic nevi.</p>","PeriodicalId":15403,"journal":{"name":"Journal of Cutaneous Medicine and Surgery","volume":" ","pages":"452-459"},"PeriodicalIF":3.9000,"publicationDate":"2025-09-01","publicationTypes":"Journal Article","fieldsOfStudy":null,"isOpenAccess":false,"openAccessPdf":"https://www.ncbi.nlm.nih.gov/pmc/articles/PMC12432283/pdf/","citationCount":"0","resultStr":null,"platform":"Semanticscholar","paperid":null,"PeriodicalName":"Journal of Cutaneous Medicine and Surgery","FirstCategoryId":"3","ListUrlMain":"https://doi.org/10.1177/12034754251325508","RegionNum":4,"RegionCategory":"医学","ArticlePicture":[],"TitleCN":null,"AbstractTextCN":null,"PMCID":null,"EPubDate":"2025/3/12 0:00:00","PubModel":"Epub","JCR":"Q2","JCRName":"DERMATOLOGY","Score":null,"Total":0}
引用次数: 0

Abstract

Background: Early melanomas, dysplastic melanocytic nevi, and melanocytic tumours of uncertain malignant potential (MELTUMPs) reveal similar clinic and dermoscopic findings leading to underdiagnosis of malign lesions or unnecessary excision of benign ones. High-grade dysplastic nevi and MELTUMPs in the intermediate category should be recognized and completely excised.

Objectives: We evaluated the diagnostic performance of pattern analysis, ABCD rule, colour, architecture, symmetry, and homogeneity algorithm, melanoma-specific structures and asymmetry of dermoscopic features in distinguishing early melanomas, high-grade dysplastic nevi, and MELTUMPs from low-grade dysplastic nevi.

Methods: We retrospectively assessed dermoscopic images blindly to the histopathological diagnoses in a university hospital.

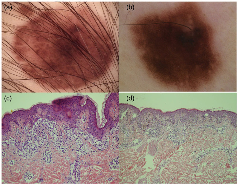
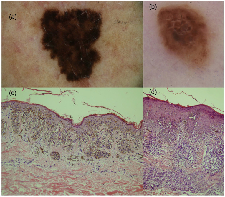
Results: One hundred forty histopathologically confirmed melanocytic lesions were included (93 low-grade dysplastic nevi, 26 thin melanomas, 17 high-grade dysplastic nevi, and 4 MELTUMPs). All dermoscopic methods had poor diagnostic performance in early melanomas and intermediate melanocytic lesions. In the multivariate analyses of dermoscopic findings, the atypical pigment network (OR: 3.58, 95% CI: 1.31-9.72), asymmetry of globules (OR: 3.17, 95% CI: 1.37-7.35), streaks (OR: 6.16, 95% CI: 1.95-19.48) and homogenous structureless areas (OR: 5.92, 95% CI: 2.36-14.92) were the significant predictive factors for melanomas and intermediate melanocytic lesions. Positive predictive values of melanoma-specific structures were shiny white structures (100%), scar-like depigmentation (85.7%), blue-white veil (72.7%), atypical blotch (72.2%), and negative pigment network (71.4%).

Conclusions: Shiny white structures, atypical network, asymmetry of globules, streaks, and homogeneous structureless areas were the most significant dermoscopic findings in discriminating early melanomas and intermediate melanocytic lesions from low-grade dysplastic nevi.

Abstract Image

Abstract Image

Abstract Image

皮肤镜检查鉴别早期黑素瘤和中度黑素细胞病变与低度发育不良痣的诊断价值。
背景:早期黑素瘤、发育不良的黑素细胞痣和恶性潜能不确定的黑素细胞肿瘤(MELTUMPs)表现出相似的临床和皮肤镜表现,导致恶性病变的诊断不足或不必要的良性肿瘤切除。高度发育不良痣和中度的MELTUMPs应被识别并完全切除。目的:我们评估了模式分析、ABCD规则、颜色、结构、对称性和均匀性算法、黑色素瘤特异性结构和皮肤镜特征的不对称性在区分早期黑色素瘤、高级别发育不良痣、MELTUMPs和低级别发育不良痣方面的诊断性能。方法:回顾性评价某大学医院皮肤镜影像与组织病理学诊断。结果:140例组织病理学证实的黑素细胞病变包括93例低级别发育不良痣,26例薄黑色素瘤,17例高级别发育不良痣和4例MELTUMPs。所有皮肤镜方法对早期黑素瘤和中期黑素细胞病变的诊断效果较差。在皮肤镜检查结果的多变量分析中,非典型色素网络(OR: 3.58, 95% CI: 1.31-9.72)、小球不对称(OR: 3.17, 95% CI: 1.37-7.35)、条纹(OR: 6.16, 95% CI: 1.95-19.48)和均匀无结构区域(OR: 5.92, 95% CI: 2.36-14.92)是黑色素瘤和中度黑色素细胞病变的重要预测因素。黑色素瘤特异性结构的阳性预测值为亮白色结构(100%)、疤痕样色素沉着(85.7%)、蓝白色面纱(72.7%)、非典型斑点(72.2%)和阴性色素网络(71.4%)。结论:有光泽的白色结构、非典型网状结构、不对称的小球体、条纹和均匀的无结构区域是鉴别早期黑色素瘤和中度黑色素细胞病变与低级别发育不良痣的最重要的皮肤镜表现。
本文章由计算机程序翻译,如有差异,请以英文原文为准。
求助全文
约1分钟内获得全文 求助全文
来源期刊
CiteScore
3.70
自引率
4.30%
发文量
98
审稿时长
6-12 weeks
期刊介绍: Journal of Cutaneous Medicine and Surgery (JCMS) aims to reflect the state of the art in cutaneous biology and dermatology by providing original scientific writings, as well as a complete critical review of the dermatology literature for clinicians, trainees, and academicians. JCMS endeavours to bring readers cutting edge dermatologic information in two distinct formats. Part of each issue features scholarly research and articles on issues of basic and applied science, insightful case reports, comprehensive continuing medical education, and in depth reviews, all of which provide theoretical framework for practitioners to make sound practical decisions. The evolving field of dermatology is highlighted through these articles. In addition, part of each issue is dedicated to making the most important developments in dermatology easily accessible to the clinician by presenting well-chosen, well-written, and highly organized information in a format that is interesting, clearly presented, and useful to patient care.
×
引用
GB/T 7714-2015
复制
MLA
复制
APA
复制
导出至
BibTeX EndNote RefMan NoteFirst NoteExpress
×
提示
您的信息不完整,为了账户安全,请先补充。
现在去补充
×
提示
您因"违规操作"
具体请查看互助需知
我知道了
×
提示
确定
请完成安全验证×
copy
已复制链接
快去分享给好友吧!
我知道了
右上角分享
点击右上角分享
0
联系我们:info@booksci.cn Book学术提供免费学术资源搜索服务,方便国内外学者检索中英文文献。致力于提供最便捷和优质的服务体验。 Copyright © 2023 布克学术 All rights reserved.
京ICP备2023020795号-1
ghs 京公网安备 11010802042870号
Book学术文献互助
Book学术文献互助群
群 号:604180095
Book学术官方微信