Change in diffusion weighted imaging after induction chemotherapy outperforms RECIST guideline for long-term outcome prediction in advanced nasopharyngeal carcinoma.

IF 3.5 2区 医学 Q2 ONCOLOGY
Qi Yong H Ai, Ho Sang Leung, Frankie K F Mo, Kaijing Mao, Lun M Wong, Yannis Yan Liang, Edwin P Hui, Brigette B Y Ma, Ann D King
{"title":"Change in diffusion weighted imaging after induction chemotherapy outperforms RECIST guideline for long-term outcome prediction in advanced nasopharyngeal carcinoma.","authors":"Qi Yong H Ai, Ho Sang Leung, Frankie K F Mo, Kaijing Mao, Lun M Wong, Yannis Yan Liang, Edwin P Hui, Brigette B Y Ma, Ann D King","doi":"10.1186/s40644-025-00854-4","DOIUrl":null,"url":null,"abstract":"<p><strong>Purpose: </strong>To investigate change in diffusion weighted imaging (DWI) between pre-treatment (pre-) and after induction chemotherapy (post-IC) for long-term outcome prediction in advanced nasopharyngeal carcinoma (adNPC).</p><p><strong>Materials and methods: </strong>Mean apparent diffusion coefficients (ADCs) of two DWIs (ADC<sub>pre</sub> and ADC<sub>post-IC</sub>) and changes in ADC between two scans (ΔADC%) were calculated from 64 eligible patients with adNPC and correlated with disease free survival (DFS), locoregional recurrence free survival (LRRFS), distant metastases free survival (DMFS), and overall survival (OS) using Cox regression analysis. C-indexes of the independent parameters for outcome were compared with that of RECIST response groups. Survival rates between two patient groups were evaluated and compared.</p><p><strong>Results: </strong>Univariable analysis showed that high ΔADC% predicted good DFS, LRRFS, and DMFS p < 0.05), but did not predict OS (p = 0.40). Neither ADC<sub>pre</sub> nor ADC<sub>post-IC</sub> (p = 0.07 to 0.97) predicted outcome. Multivariate analysis showed that ΔADC% independently predicted DFS, LRRFS, and DMFS (p < 0.01 to 0.03). Compared with the RECIST groups, the ΔADC% groups (threshold of 34.2%) showed a higher c-index for 3-year (0.47 vs. 0.71, p < 0.01) and 5-year DFS (0.51 vs. 0.72, p < 0.01). Compared with patients with ΔADC%<34.2%, patients with ΔADC%≥34.2% had higher 3-year DFS, LRRFS and DMFS of 100%, 100% and 100%, respectively (p < 0.05).</p><p><strong>Conclusion: </strong>Results suggest that ΔADC% was an independent predictor for long-term outcome and was superior to RECIST guideline for outcome prediction in adNPC. A ΔADC% threshold of ≥ 34.2% may be valuable for selecting patients who respond to treatment for de-escalation of treatment or post-treatment surveillance.</p>","PeriodicalId":9548,"journal":{"name":"Cancer Imaging","volume":"25 1","pages":"32"},"PeriodicalIF":3.5000,"publicationDate":"2025-03-12","publicationTypes":"Journal Article","fieldsOfStudy":null,"isOpenAccess":false,"openAccessPdf":"https://www.ncbi.nlm.nih.gov/pmc/articles/PMC11905565/pdf/","citationCount":"0","resultStr":null,"platform":"Semanticscholar","paperid":null,"PeriodicalName":"Cancer Imaging","FirstCategoryId":"3","ListUrlMain":"https://doi.org/10.1186/s40644-025-00854-4","RegionNum":2,"RegionCategory":"医学","ArticlePicture":[],"TitleCN":null,"AbstractTextCN":null,"PMCID":null,"EPubDate":"","PubModel":"","JCR":"Q2","JCRName":"ONCOLOGY","Score":null,"Total":0}
引用次数: 0

Abstract

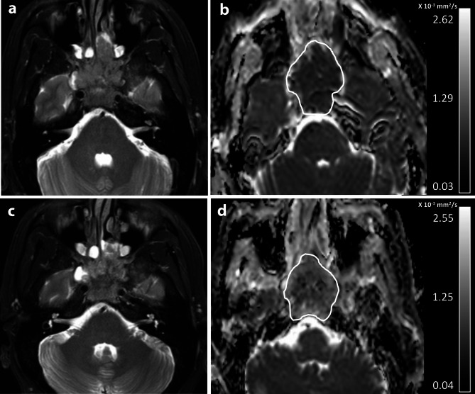
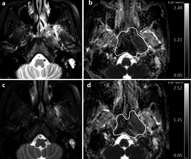
Purpose: To investigate change in diffusion weighted imaging (DWI) between pre-treatment (pre-) and after induction chemotherapy (post-IC) for long-term outcome prediction in advanced nasopharyngeal carcinoma (adNPC).

Materials and methods: Mean apparent diffusion coefficients (ADCs) of two DWIs (ADCpre and ADCpost-IC) and changes in ADC between two scans (ΔADC%) were calculated from 64 eligible patients with adNPC and correlated with disease free survival (DFS), locoregional recurrence free survival (LRRFS), distant metastases free survival (DMFS), and overall survival (OS) using Cox regression analysis. C-indexes of the independent parameters for outcome were compared with that of RECIST response groups. Survival rates between two patient groups were evaluated and compared.

Results: Univariable analysis showed that high ΔADC% predicted good DFS, LRRFS, and DMFS p < 0.05), but did not predict OS (p = 0.40). Neither ADCpre nor ADCpost-IC (p = 0.07 to 0.97) predicted outcome. Multivariate analysis showed that ΔADC% independently predicted DFS, LRRFS, and DMFS (p < 0.01 to 0.03). Compared with the RECIST groups, the ΔADC% groups (threshold of 34.2%) showed a higher c-index for 3-year (0.47 vs. 0.71, p < 0.01) and 5-year DFS (0.51 vs. 0.72, p < 0.01). Compared with patients with ΔADC%<34.2%, patients with ΔADC%≥34.2% had higher 3-year DFS, LRRFS and DMFS of 100%, 100% and 100%, respectively (p < 0.05).

Conclusion: Results suggest that ΔADC% was an independent predictor for long-term outcome and was superior to RECIST guideline for outcome prediction in adNPC. A ΔADC% threshold of ≥ 34.2% may be valuable for selecting patients who respond to treatment for de-escalation of treatment or post-treatment surveillance.

Abstract Image

Abstract Image

Abstract Image

诱导化疗后弥散加权成像的变化优于RECIST指南对晚期鼻咽癌远期预后的预测。
目的:探讨晚期鼻咽癌(adNPC)诱导化疗前(pre)和诱导化疗后(post-IC)弥散加权成像(DWI)的变化,用于预测晚期鼻咽癌(adNPC)的远期预后。材料和方法:对64例符合条件的adNPC患者进行Cox回归分析,计算两次dwi (ADCpre和adc后- ic)的平均表观扩散系数(ADC)和两次扫描之间ADC的变化(ΔADC%),并与无病生存(DFS)、局部区域无复发生存(LRRFS)、无远处转移生存(DMFS)和总生存(OS)相关。结果独立参数c指数与RECIST反应组比较。比较两组患者的生存率。结果:单变量分析显示,ΔADC%高预测良好的DFS、LRRFS和DMFS p前和ADCpost-IC (p = 0.07至0.97)预测预后。多变量分析显示ΔADC%独立预测DFS、LRRFS和DMFS (p结论:结果表明ΔADC%是长期预后的独立预测因子,并且优于RECIST指南预测adNPC预后。≥34.2%的ΔADC%阈值对于选择对治疗有反应的患者进行治疗降级或治疗后监测可能有价值。
本文章由计算机程序翻译,如有差异,请以英文原文为准。
求助全文
约1分钟内获得全文 求助全文
来源期刊
Cancer Imaging
Cancer Imaging ONCOLOGY-RADIOLOGY, NUCLEAR MEDICINE & MEDICAL IMAGING
CiteScore
7.00
自引率
0.00%
发文量
66
审稿时长
>12 weeks
期刊介绍: Cancer Imaging is an open access, peer-reviewed journal publishing original articles, reviews and editorials written by expert international radiologists working in oncology. The journal encompasses CT, MR, PET, ultrasound, radionuclide and multimodal imaging in all kinds of malignant tumours, plus new developments, techniques and innovations. Topics of interest include: Breast Imaging Chest Complications of treatment Ear, Nose & Throat Gastrointestinal Hepatobiliary & Pancreatic Imaging biomarkers Interventional Lymphoma Measurement of tumour response Molecular functional imaging Musculoskeletal Neuro oncology Nuclear Medicine Paediatric.
×
引用
GB/T 7714-2015
复制
MLA
复制
APA
复制
导出至
BibTeX EndNote RefMan NoteFirst NoteExpress
×
提示
您的信息不完整,为了账户安全,请先补充。
现在去补充
×
提示
您因"违规操作"
具体请查看互助需知
我知道了
×
提示
确定
请完成安全验证×
copy
已复制链接
快去分享给好友吧!
我知道了
右上角分享
点击右上角分享
0
联系我们:info@booksci.cn Book学术提供免费学术资源搜索服务,方便国内外学者检索中英文文献。致力于提供最便捷和优质的服务体验。 Copyright © 2023 布克学术 All rights reserved.
京ICP备2023020795号-1
ghs 京公网安备 11010802042870号
Book学术文献互助
Book学术文献互助群
群 号:604180095
Book学术官方微信