Enhancement of plasma kallikrein specificity of antitrypsin variants identified by phage display and partial reversion.

IF 3.4 3区 生物学 Q2 BIOTECHNOLOGY & APPLIED MICROBIOLOGY
Sangavi Sivananthan, Tyler Seto, Negin C Tehrani, Varsha Bhakta, William P Sheffield
{"title":"Enhancement of plasma kallikrein specificity of antitrypsin variants identified by phage display and partial reversion.","authors":"Sangavi Sivananthan, Tyler Seto, Negin C Tehrani, Varsha Bhakta, William P Sheffield","doi":"10.1186/s12896-025-00956-8","DOIUrl":null,"url":null,"abstract":"<p><strong>Background: </strong>The naturally occurring variant Alpha-1 Antitrypsin M358R (AAT M358R), modified at the P1 position of the reactive center loop (RCL), shifts its inhibitory protease target from neutrophil elastase to multiple coagulation and contact proteases, including activated plasma kallikrein (Pka; KLKB1). Our aim was to increase the specificity of AAT M358R for Pka as a potential novel therapeutic agent to treat pathological swelling arising from elevated Pka levels in patients with Hereditary Angioedema.</p><p><strong>Results: </strong>Two AAT M358R T7Select phage display libraries randomized at RCL positions P7-P3 and P2-P3' were iteratively probed with Pka. The most abundant Pka-inhibitory motifs from phage display were P7-P3, QLIPS; and P2-P3', VRRAY (mutated residues in bold). AAT variants expressing these motifs, alone or in combination, as well as six less-mutated P7-P3 revertant proteins were expressed, purified, and characterized kinetically. Variants AAT M358R (QLIPS) (designated 7-QLIPS-3) and 7-FLEPS-3 exhibited significantly enhanced selectivity for Pka (over factor XIa) by factors of 6.9 and 9.2, respectively, without increasing the stoichiometry of inhibition (SI) or decreasing the inhibition rate relative to AAT M358R. No other variants matched this profile.</p><p><strong>Conclusions: </strong>Pro substitution at P4 was found to be important for enhanced inhibition of Pka by AAT M358R. Two novel variants with this substitution are more rapid and selective inhibitors of Pka than AAT M358R and may provide better control of Pka in vivo than existing HAE therapeutics.</p>","PeriodicalId":8905,"journal":{"name":"BMC Biotechnology","volume":"25 1","pages":"22"},"PeriodicalIF":3.4000,"publicationDate":"2025-03-12","publicationTypes":"Journal Article","fieldsOfStudy":null,"isOpenAccess":false,"openAccessPdf":"https://www.ncbi.nlm.nih.gov/pmc/articles/PMC11905551/pdf/","citationCount":"0","resultStr":null,"platform":"Semanticscholar","paperid":null,"PeriodicalName":"BMC Biotechnology","FirstCategoryId":"5","ListUrlMain":"https://doi.org/10.1186/s12896-025-00956-8","RegionNum":3,"RegionCategory":"生物学","ArticlePicture":[],"TitleCN":null,"AbstractTextCN":null,"PMCID":null,"EPubDate":"","PubModel":"","JCR":"Q2","JCRName":"BIOTECHNOLOGY & APPLIED MICROBIOLOGY","Score":null,"Total":0}
引用次数: 0

Abstract

Background: The naturally occurring variant Alpha-1 Antitrypsin M358R (AAT M358R), modified at the P1 position of the reactive center loop (RCL), shifts its inhibitory protease target from neutrophil elastase to multiple coagulation and contact proteases, including activated plasma kallikrein (Pka; KLKB1). Our aim was to increase the specificity of AAT M358R for Pka as a potential novel therapeutic agent to treat pathological swelling arising from elevated Pka levels in patients with Hereditary Angioedema.

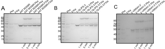
Results: Two AAT M358R T7Select phage display libraries randomized at RCL positions P7-P3 and P2-P3' were iteratively probed with Pka. The most abundant Pka-inhibitory motifs from phage display were P7-P3, QLIPS; and P2-P3', VRRAY (mutated residues in bold). AAT variants expressing these motifs, alone or in combination, as well as six less-mutated P7-P3 revertant proteins were expressed, purified, and characterized kinetically. Variants AAT M358R (QLIPS) (designated 7-QLIPS-3) and 7-FLEPS-3 exhibited significantly enhanced selectivity for Pka (over factor XIa) by factors of 6.9 and 9.2, respectively, without increasing the stoichiometry of inhibition (SI) or decreasing the inhibition rate relative to AAT M358R. No other variants matched this profile.

Conclusions: Pro substitution at P4 was found to be important for enhanced inhibition of Pka by AAT M358R. Two novel variants with this substitution are more rapid and selective inhibitors of Pka than AAT M358R and may provide better control of Pka in vivo than existing HAE therapeutics.

Abstract Image

Abstract Image

Abstract Image

通过噬菌体展示和部分逆转鉴定抗胰蛋白酶变异体血浆钾激肽特异性的增强。
背景:自然发生的α -1抗胰蛋白酶M358R (AAT M358R),在反应中心环(RCL)的P1位置进行修饰,将其抑制蛋白酶靶点从中性粒细胞弹性酶转移到多种凝血和接触蛋白酶,包括活化的血浆钾likrein (Pka;KLKB1)。我们的目的是提高AAT M358R对Pka的特异性,作为一种潜在的新型治疗剂,治疗遗传性血管性水肿患者Pka水平升高引起的病理性肿胀。结果:两个AAT M358R T7Select噬菌体展示文库随机分布在RCL位置P7-P3和P2-P3', Pka迭代检测。噬菌体展示中最丰富的pka抑制基序为P7-P3、QLIPS;P2-P3′,VRRAY(突变残基为粗体)。单独或联合表达这些基序的AAT变体,以及6种较少突变的P7-P3逆转蛋白被表达、纯化和动力学表征。变体AAT M358R (QLIPS)(命名为7-QLIPS-3)和7-FLEPS-3对Pka的选择性(超过因子XIa)分别以6.9倍和9.2倍显著提高,但相对于AAT M358R没有增加抑制化学计量学(SI)或降低抑制率。没有其他变体符合这个特征。结论:AAT M358R在P4位点的Pro取代对增强Pka的抑制作用很重要。与AAT M358R相比,这种替代的两种新变体是Pka的快速和选择性抑制剂,并且可能比现有的HAE治疗方法更好地控制Pka。
本文章由计算机程序翻译,如有差异,请以英文原文为准。
求助全文
约1分钟内获得全文 求助全文
来源期刊
BMC Biotechnology
BMC Biotechnology 工程技术-生物工程与应用微生物
CiteScore
6.60
自引率
0.00%
发文量
34
审稿时长
2 months
期刊介绍: BMC Biotechnology is an open access, peer-reviewed journal that considers articles on the manipulation of biological macromolecules or organisms for use in experimental procedures, cellular and tissue engineering or in the pharmaceutical, agricultural biotechnology and allied industries.
×
引用
GB/T 7714-2015
复制
MLA
复制
APA
复制
导出至
BibTeX EndNote RefMan NoteFirst NoteExpress
×
提示
您的信息不完整,为了账户安全,请先补充。
现在去补充
×
提示
您因"违规操作"
具体请查看互助需知
我知道了
×
提示
确定
请完成安全验证×
copy
已复制链接
快去分享给好友吧!
我知道了
右上角分享
点击右上角分享
0
联系我们:info@booksci.cn Book学术提供免费学术资源搜索服务,方便国内外学者检索中英文文献。致力于提供最便捷和优质的服务体验。 Copyright © 2023 布克学术 All rights reserved.
京ICP备2023020795号-1
ghs 京公网安备 11010802042870号
Book学术文献互助
Book学术文献互助群
群 号:604180095
Book学术官方微信