Individual Brain Tumor Invasion Mapping Based on Diffusion Kurtosis Imaging.

Sovremennye tekhnologii v meditsine Pub Date : 2025-01-01 Epub Date: 2025-02-28 DOI:10.17691/stm2025.17.1.08
E L Pogosbekyan, N E Zakharova, A I Batalov, A M Shevchenko, L M Fadeeva, A E Bykanov, A N Tyurina, I V Chekhonin, S A Galstyan, D I Pitskhelauri, I N Pronin, D Yu Usachev
{"title":"Individual Brain Tumor Invasion Mapping Based on Diffusion Kurtosis Imaging.","authors":"E L Pogosbekyan, N E Zakharova, A I Batalov, A M Shevchenko, L M Fadeeva, A E Bykanov, A N Tyurina, I V Chekhonin, S A Galstyan, D I Pitskhelauri, I N Pronin, D Yu Usachev","doi":"10.17691/stm2025.17.1.08","DOIUrl":null,"url":null,"abstract":"<p><p><b>The aim of the investigation</b> is to develop and implement an algorithm for image analysis in brain tumors (glioblastoma and metastasis) based on diffusion kurtosis MRI images (DKI) for the assessment of anisotropic changes in brain tissues in the directions from the tumor to the intact (as shown by the standard MRI data) white matter, which will enable generating individual tumor invasion maps.</p><p><strong>Materials and methods: </strong>A healthy volunteer and two patients (one with glioblastoma and the other with a single metastasis of small cell lung cancer) were examined by DKI obtaining 12 parametric kurtosis maps for each participant.</p><p><strong>Results: </strong>During the investigation, we have developed an algorithm of DKI analysis and plotting the profile of tissue parameters in the direction from the tumor towards the unaffected white matter according to the data of standard MRI. Changes of the DKI indicators along the trajectories built using the proposed algorithm in the perifocal zone of glioblastoma and metastasis have been compared in this work. We obtained not only changes in the parameters (gradients in trajectory plots) but also a visual reflection (on color maps) of a known pathomorphology of the process - no significant gradients of DKI parameters were detected in the perifocal metastasis edema, since there was a pure vasogenic edema and no infiltrative component. In glioblastoma, gradients of DKI parameters were found not only in the zone of perifocal edema but beyond the zone of MR signal as well, which is believed to reflect diffusion disorders along the white matter fibers and different degrees of brain tissue infiltration by glioblastoma cells.</p><p><strong>Conclusion: </strong>The developed algorithm of DKI analysis in brain tumors makes it possible to determine the degree of changes in the tissue microstructure in the perifocal zone of brain glioblastoma relative to the metastasis. The study aimed at obtaining individual maps of tumor invasion, which will be applied in planning neurosurgical and radiation treatment and for predicting directions of further growth of malignant gliomas.</p>","PeriodicalId":520289,"journal":{"name":"Sovremennye tekhnologii v meditsine","volume":"17 1","pages":"81-90"},"PeriodicalIF":0.0000,"publicationDate":"2025-01-01","publicationTypes":"Journal Article","fieldsOfStudy":null,"isOpenAccess":false,"openAccessPdf":"https://www.ncbi.nlm.nih.gov/pmc/articles/PMC11892574/pdf/","citationCount":"0","resultStr":null,"platform":"Semanticscholar","paperid":null,"PeriodicalName":"Sovremennye tekhnologii v meditsine","FirstCategoryId":"1085","ListUrlMain":"https://doi.org/10.17691/stm2025.17.1.08","RegionNum":0,"RegionCategory":null,"ArticlePicture":[],"TitleCN":null,"AbstractTextCN":null,"PMCID":null,"EPubDate":"2025/2/28 0:00:00","PubModel":"Epub","JCR":"","JCRName":"","Score":null,"Total":0}
引用次数: 0

Abstract

The aim of the investigation is to develop and implement an algorithm for image analysis in brain tumors (glioblastoma and metastasis) based on diffusion kurtosis MRI images (DKI) for the assessment of anisotropic changes in brain tissues in the directions from the tumor to the intact (as shown by the standard MRI data) white matter, which will enable generating individual tumor invasion maps.

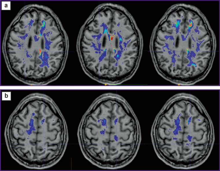
Materials and methods: A healthy volunteer and two patients (one with glioblastoma and the other with a single metastasis of small cell lung cancer) were examined by DKI obtaining 12 parametric kurtosis maps for each participant.

Results: During the investigation, we have developed an algorithm of DKI analysis and plotting the profile of tissue parameters in the direction from the tumor towards the unaffected white matter according to the data of standard MRI. Changes of the DKI indicators along the trajectories built using the proposed algorithm in the perifocal zone of glioblastoma and metastasis have been compared in this work. We obtained not only changes in the parameters (gradients in trajectory plots) but also a visual reflection (on color maps) of a known pathomorphology of the process - no significant gradients of DKI parameters were detected in the perifocal metastasis edema, since there was a pure vasogenic edema and no infiltrative component. In glioblastoma, gradients of DKI parameters were found not only in the zone of perifocal edema but beyond the zone of MR signal as well, which is believed to reflect diffusion disorders along the white matter fibers and different degrees of brain tissue infiltration by glioblastoma cells.

Conclusion: The developed algorithm of DKI analysis in brain tumors makes it possible to determine the degree of changes in the tissue microstructure in the perifocal zone of brain glioblastoma relative to the metastasis. The study aimed at obtaining individual maps of tumor invasion, which will be applied in planning neurosurgical and radiation treatment and for predicting directions of further growth of malignant gliomas.

Abstract Image

Abstract Image

Abstract Image

基于扩散峰度成像的个体脑肿瘤侵袭定位。
本研究的目的是开发和实现一种基于弥散峰度MRI图像(DKI)的脑肿瘤(胶质母细胞瘤和转移)图像分析算法,以评估脑组织从肿瘤到完整(如标准MRI数据所示)白质方向的各向异性变化,从而生成单个肿瘤侵袭图。材料和方法:对一名健康志愿者和两名患者(一名患有胶质母细胞瘤,另一名患有单一小细胞肺癌转移)进行DKI检查,获得每位参与者的12个参数峰度图。结果:在研究过程中,我们开发了一种DKI分析算法,并根据标准MRI数据绘制了从肿瘤到未受影响的白质方向的组织参数分布图。在本研究中,我们比较了DKI指标在胶质母细胞瘤和转移瘤的焦周区沿该算法建立的轨迹的变化。我们不仅获得了参数的变化(轨迹图的梯度),而且还获得了已知过程病理形态学的视觉反射(在彩色图上)-在病灶周围转移性水肿中没有检测到DKI参数的显著梯度,因为有纯粹的血管源性水肿,没有浸润成分。在胶质母细胞瘤中,DKI参数的梯度不仅出现在局灶周围水肿区,也出现在MR信号区之外,这可能反映了沿白质纤维扩散障碍和胶质母细胞瘤细胞不同程度的脑组织浸润。结论:所建立的脑肿瘤DKI分析算法可以判断脑胶质母细胞瘤病灶周围组织微结构相对于转移的变化程度。该研究旨在获得肿瘤侵袭的个体图谱,用于规划神经外科和放射治疗以及预测恶性胶质瘤的进一步生长方向。
本文章由计算机程序翻译,如有差异,请以英文原文为准。
求助全文
约1分钟内获得全文 求助全文
来源期刊
自引率
0.00%
发文量
0
×
引用
GB/T 7714-2015
复制
MLA
复制
APA
复制
导出至
BibTeX EndNote RefMan NoteFirst NoteExpress
×
提示
您的信息不完整,为了账户安全,请先补充。
现在去补充
×
提示
您因"违规操作"
具体请查看互助需知
我知道了
×
提示
确定
请完成安全验证×
copy
已复制链接
快去分享给好友吧!
我知道了
右上角分享
点击右上角分享
0
联系我们:info@booksci.cn Book学术提供免费学术资源搜索服务,方便国内外学者检索中英文文献。致力于提供最便捷和优质的服务体验。 Copyright © 2023 布克学术 All rights reserved.
京ICP备2023020795号-1
ghs 京公网安备 11010802042870号
Book学术文献互助
Book学术文献互助群
群 号:604180095
Book学术官方微信