[Neuromeningeal cryptoccosis in an HIV-negative patient in Bamako, Mali].

Medecine tropicale et sante internationale Pub Date : 2024-01-11 eCollection Date: 2024-12-31 DOI:10.48327/mtsi.v4i4.2024.593
Farimadiané Coulibaly, Yama Doumbia, Hama Hamidou Issa, Sounkalo Dao
{"title":"[Neuromeningeal cryptoccosis in an HIV-negative patient in Bamako, Mali].","authors":"Farimadiané Coulibaly, Yama Doumbia, Hama Hamidou Issa, Sounkalo Dao","doi":"10.48327/mtsi.v4i4.2024.593","DOIUrl":null,"url":null,"abstract":"<p><strong>Introduction/rationale: </strong>Neuromeningeal cryptococcosis (NMC) is a common fungal infection in immunocompromised patients with HIV infection. Its rarity outside HIV/AIDS requires a systematic search for other immunosuppressive factors and a differential diagnosis. We report a case of NMC in an immunocompetent patient admitted to the Point G University Hospital Center in Bamako, Mali.</p><p><strong>Case description: </strong>The patient presented with fever (39.3°C), general deterioration, Glasgow Coma Scale score of 10/15 without motor deficits, neck stiffness, and helmet-like headache unresponsive to analgesics. The patient had a CD4 count of 932 cells/mm<sup>3</sup>. No other immunosuppressive conditions were noted. The diagnosis of NMC was confirmed based on clinical and microbiologic findings. The patient was successfully treated in Bamako using an alternative protocol with fluconazole, a more accessible, less expensive treatment with fewer side effects compared to amphotericin B.</p><p><strong>Discussion/conclusion: </strong>The occurrence of cryptococcosis in an immunocompetent host is rare. However, it can occur in the absence of predisposing factors. Fluconazole is an effective alternative therapy.</p>","PeriodicalId":101416,"journal":{"name":"Medecine tropicale et sante internationale","volume":"4 4","pages":""},"PeriodicalIF":0.0000,"publicationDate":"2024-01-11","publicationTypes":"Journal Article","fieldsOfStudy":null,"isOpenAccess":false,"openAccessPdf":"https://www.ncbi.nlm.nih.gov/pmc/articles/PMC11892387/pdf/","citationCount":"0","resultStr":null,"platform":"Semanticscholar","paperid":null,"PeriodicalName":"Medecine tropicale et sante internationale","FirstCategoryId":"1085","ListUrlMain":"https://doi.org/10.48327/mtsi.v4i4.2024.593","RegionNum":0,"RegionCategory":null,"ArticlePicture":[],"TitleCN":null,"AbstractTextCN":null,"PMCID":null,"EPubDate":"2024/12/31 0:00:00","PubModel":"eCollection","JCR":"","JCRName":"","Score":null,"Total":0}
引用次数: 0

Abstract

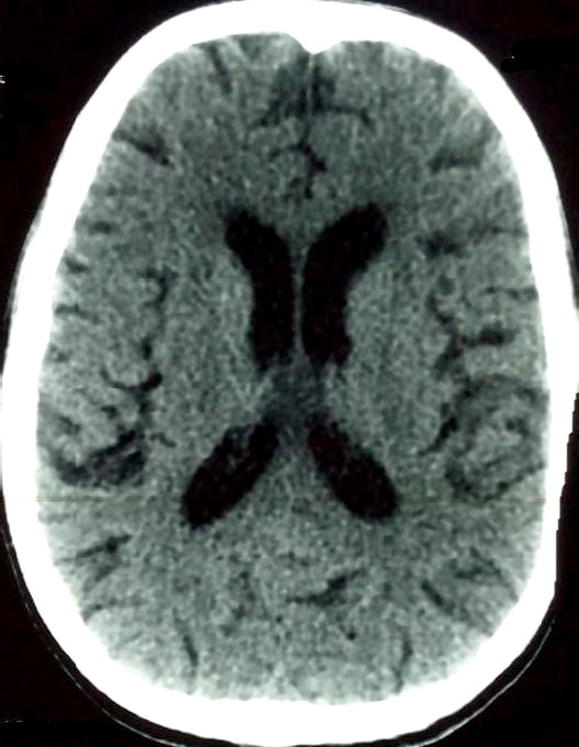
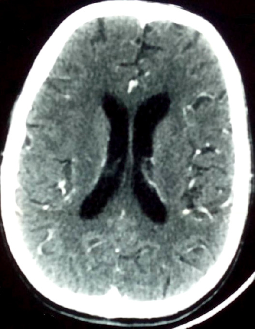
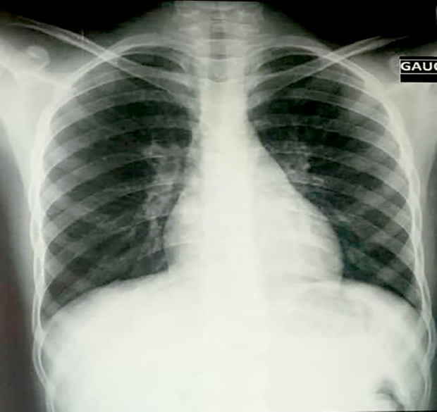
Introduction/rationale: Neuromeningeal cryptococcosis (NMC) is a common fungal infection in immunocompromised patients with HIV infection. Its rarity outside HIV/AIDS requires a systematic search for other immunosuppressive factors and a differential diagnosis. We report a case of NMC in an immunocompetent patient admitted to the Point G University Hospital Center in Bamako, Mali.

Case description: The patient presented with fever (39.3°C), general deterioration, Glasgow Coma Scale score of 10/15 without motor deficits, neck stiffness, and helmet-like headache unresponsive to analgesics. The patient had a CD4 count of 932 cells/mm3. No other immunosuppressive conditions were noted. The diagnosis of NMC was confirmed based on clinical and microbiologic findings. The patient was successfully treated in Bamako using an alternative protocol with fluconazole, a more accessible, less expensive treatment with fewer side effects compared to amphotericin B.

Discussion/conclusion: The occurrence of cryptococcosis in an immunocompetent host is rare. However, it can occur in the absence of predisposing factors. Fluconazole is an effective alternative therapy.

Abstract Image

Abstract Image

Abstract Image

[马里巴马科一名hiv阴性患者的神经脑膜隐球菌病]。
简介/理由:神经脑膜隐球菌病(NMC)是HIV感染免疫功能低下患者常见的真菌感染。它在艾滋病毒/艾滋病之外罕见,需要系统地寻找其他免疫抑制因子和鉴别诊断。我们在马里巴马科的Point G大学医院中心报告了一例免疫功能正常的NMC患者。病例描述:患者表现为发热(39.3°C),总体恶化,格拉斯哥昏迷评分为10/15,无运动障碍,颈部僵硬,头盔样头痛,对镇痛药无反应。患者CD4细胞计数为932个/mm3。未发现其他免疫抑制情况。NMC的诊断是基于临床和微生物学的发现。与两性霉素b相比,氟康唑是一种更容易获得、更便宜且副作用更少的治疗方法。讨论/结论:隐球菌病在免疫功能正常的宿主中的发生是罕见的。然而,它也可能在没有诱发因素的情况下发生。氟康唑是一种有效的替代疗法。
本文章由计算机程序翻译,如有差异,请以英文原文为准。
求助全文
约1分钟内获得全文 求助全文
来源期刊
CiteScore
0.20
自引率
0.00%
发文量
0
×
引用
GB/T 7714-2015
复制
MLA
复制
APA
复制
导出至
BibTeX EndNote RefMan NoteFirst NoteExpress
×
提示
您的信息不完整,为了账户安全,请先补充。
现在去补充
×
提示
您因"违规操作"
具体请查看互助需知
我知道了
×
提示
确定
请完成安全验证×
copy
已复制链接
快去分享给好友吧!
我知道了
右上角分享
点击右上角分享
0
联系我们:info@booksci.cn Book学术提供免费学术资源搜索服务,方便国内外学者检索中英文文献。致力于提供最便捷和优质的服务体验。 Copyright © 2023 布克学术 All rights reserved.
京ICP备2023020795号-1
ghs 京公网安备 11010802042870号
Book学术文献互助
Book学术文献互助群
群 号:604180095
Book学术官方微信