Evaluating the potential of abbreviated MRI protocols for liver metastasis detection: a study in colorectal cancer patients.

Polish journal of radiology Pub Date : 2025-01-15 eCollection Date: 2025-01-01 DOI:10.5114/pjr/196906
Sevde Nur Emir, Merve Gürsu, Safiye Sanem Dereli Bulut
{"title":"Evaluating the potential of abbreviated MRI protocols for liver metastasis detection: a study in colorectal cancer patients.","authors":"Sevde Nur Emir, Merve Gürsu, Safiye Sanem Dereli Bulut","doi":"10.5114/pjr/196906","DOIUrl":null,"url":null,"abstract":"<p><strong>Purpose: </strong>To evaluate the diagnostic accuracy of different abbreviated magnetic resonance imaging (AMRI) protocols consisting of dynamic enhanced + T2-weighted imaging (T2W) and diffusion-weighted imaging (DWI) + T2W for the detection and characterization of liver metastases in a patient group with known colorectal cancer.</p><p><strong>Material and methods: </strong>A total of 197 hepatic lesions were retrospectively analyzed across 3 different MRI sets: AMRI-1 (dynamic enhanced + T2W), AMRI-2 (DWI + T2W), and a standard MRI protocol. The patient cohort included 100 individuals (63 males, 37 females) with a mean age of 62.6 years (SD: 11.1 years). Lesions were characterized as benign, malignant, or indeterminate based on histopathology, positron emission tomography-computed tomography (PET-CT), and follow-up imaging.</p><p><strong>Results: </strong>The standard MRI protocol identified 197 liver lesions (175 metastatic, 18 benign, and 4 indeterminate); 142 lesions (72.1%) were larger than 10 mm, with the majority being metastatic (140/142). Radiologist 1 identified 195 lesions using the AMRI-1 protocol (175 metastatic, 15 benign, and 5 indeterminate). The sensitivity per lesion was 89.7% (95% CI: 0.85-0.93). Radiologist 2 identified 183 lesions using the AMRI-2 protocol (169 metastatic, 6 benign, and 8 indeterminate). The sensitivity per lesion was 92.3% (95% CI: 0.88-0.95). No statistically significant difference was found in sensitivity between the AMRI-1 and AMRI-2 and standard MRI protocols (<i>p</i> > 0.05).</p><p><strong>Conclusions: </strong>The standard MRI protocol demonstrated the highest sensitivity and specificity for detecting and characterizing liver metastases. However, differences between the protocols were not statistically significant. Abbreviated MRI protocols, particularly the AMRI-2 protocol incorporating diffusion-weighted imaging, could serve as an effective alternative for routine clinical practice.</p>","PeriodicalId":94174,"journal":{"name":"Polish journal of radiology","volume":"90 ","pages":"e19-e25"},"PeriodicalIF":0.0000,"publicationDate":"2025-01-15","publicationTypes":"Journal Article","fieldsOfStudy":null,"isOpenAccess":false,"openAccessPdf":"https://www.ncbi.nlm.nih.gov/pmc/articles/PMC11891548/pdf/","citationCount":"0","resultStr":null,"platform":"Semanticscholar","paperid":null,"PeriodicalName":"Polish journal of radiology","FirstCategoryId":"1085","ListUrlMain":"https://doi.org/10.5114/pjr/196906","RegionNum":0,"RegionCategory":null,"ArticlePicture":[],"TitleCN":null,"AbstractTextCN":null,"PMCID":null,"EPubDate":"2025/1/1 0:00:00","PubModel":"eCollection","JCR":"","JCRName":"","Score":null,"Total":0}
引用次数: 0

Abstract

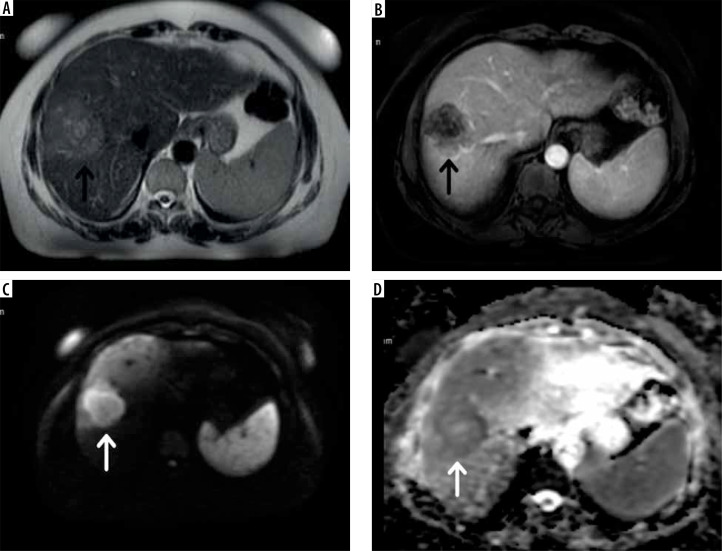
Purpose: To evaluate the diagnostic accuracy of different abbreviated magnetic resonance imaging (AMRI) protocols consisting of dynamic enhanced + T2-weighted imaging (T2W) and diffusion-weighted imaging (DWI) + T2W for the detection and characterization of liver metastases in a patient group with known colorectal cancer.

Material and methods: A total of 197 hepatic lesions were retrospectively analyzed across 3 different MRI sets: AMRI-1 (dynamic enhanced + T2W), AMRI-2 (DWI + T2W), and a standard MRI protocol. The patient cohort included 100 individuals (63 males, 37 females) with a mean age of 62.6 years (SD: 11.1 years). Lesions were characterized as benign, malignant, or indeterminate based on histopathology, positron emission tomography-computed tomography (PET-CT), and follow-up imaging.

Results: The standard MRI protocol identified 197 liver lesions (175 metastatic, 18 benign, and 4 indeterminate); 142 lesions (72.1%) were larger than 10 mm, with the majority being metastatic (140/142). Radiologist 1 identified 195 lesions using the AMRI-1 protocol (175 metastatic, 15 benign, and 5 indeterminate). The sensitivity per lesion was 89.7% (95% CI: 0.85-0.93). Radiologist 2 identified 183 lesions using the AMRI-2 protocol (169 metastatic, 6 benign, and 8 indeterminate). The sensitivity per lesion was 92.3% (95% CI: 0.88-0.95). No statistically significant difference was found in sensitivity between the AMRI-1 and AMRI-2 and standard MRI protocols (p > 0.05).

Conclusions: The standard MRI protocol demonstrated the highest sensitivity and specificity for detecting and characterizing liver metastases. However, differences between the protocols were not statistically significant. Abbreviated MRI protocols, particularly the AMRI-2 protocol incorporating diffusion-weighted imaging, could serve as an effective alternative for routine clinical practice.

Abstract Image

Abstract Image

Abstract Image

评估简化MRI方案在肝转移检测中的潜力:一项结直肠癌患者的研究。
目的:评价由动态增强+ t2加权成像(T2W)和扩散加权成像(DWI) + T2W组成的不同缩短磁共振成像(AMRI)方案对已知结直肠癌患者组肝转移检测和特征的诊断准确性。材料和方法:回顾性分析共197例肝脏病变,通过3种不同的MRI集:AMRI-1(动态增强+ T2W), AMRI-2 (DWI + T2W)和标准MRI方案。患者队列包括100人(男性63人,女性37人),平均年龄62.6岁(SD: 11.1岁)。根据组织病理学、正电子发射断层扫描-计算机断层扫描(PET-CT)和随访成像,病变被定性为良性、恶性或不确定。结果:标准MRI方案发现197个肝脏病变(175个转移性,18个良性,4个不确定);142个病变(72.1%)大于10mm,多数为转移性病变(140/142)。放射科医师1使用AMRI-1方案确定了195个病变(175个转移性,15个良性,5个不确定)。每个病灶的敏感性为89.7% (95% CI: 0.85-0.93)。放射科医生2使用AMRI-2方案确定了183个病变(169个转移性,6个良性,8个不确定)。每个病灶的敏感性为92.3% (95% CI: 0.88-0.95)。AMRI-1和AMRI-2与标准MRI方案的敏感性差异无统计学意义(p < 0.05)。结论:标准MRI方案在检测和表征肝转移方面具有最高的敏感性和特异性。然而,两种方案之间的差异没有统计学意义。简化的MRI方案,特别是合并弥散加权成像的AMRI-2方案,可以作为常规临床实践的有效替代方案。
本文章由计算机程序翻译,如有差异,请以英文原文为准。
求助全文
约1分钟内获得全文 求助全文
来源期刊
CiteScore
2.10
自引率
0.00%
发文量
0
×
引用
GB/T 7714-2015
复制
MLA
复制
APA
复制
导出至
BibTeX EndNote RefMan NoteFirst NoteExpress
×
提示
您的信息不完整,为了账户安全,请先补充。
现在去补充
×
提示
您因"违规操作"
具体请查看互助需知
我知道了
×
提示
确定
请完成安全验证×
copy
已复制链接
快去分享给好友吧!
我知道了
右上角分享
点击右上角分享
0
联系我们:info@booksci.cn Book学术提供免费学术资源搜索服务,方便国内外学者检索中英文文献。致力于提供最便捷和优质的服务体验。 Copyright © 2023 布克学术 All rights reserved.
京ICP备2023020795号-1
ghs 京公网安备 11010802042870号
Book学术文献互助
Book学术文献互助群
群 号:604180095
Book学术官方微信