Idiopathic Nodular Glomerulosclerosis in a Long-term Passive Smoker With Recently Diagnosed Hypertension: A Case Report.

IF 0.8 Q3 MEDICINE, GENERAL & INTERNAL
Mehrbod Vakhshoori, Paul E Hanna, Zainab Obaidi, Yan Chen Wongworawat, Amir Abdipour, Sayna Norouzi
{"title":"Idiopathic Nodular Glomerulosclerosis in a Long-term Passive Smoker With Recently Diagnosed Hypertension: A Case Report.","authors":"Mehrbod Vakhshoori, Paul E Hanna, Zainab Obaidi, Yan Chen Wongworawat, Amir Abdipour, Sayna Norouzi","doi":"10.1177/23247096251323066","DOIUrl":null,"url":null,"abstract":"<p><p>Idiopathic nodular glomerulosclerosis (ING) is mostly associated with long-standing active smoking and hypertension (HTN). Herein, we present a rare case of ING in a passive smoker with recently diagnosed uncontrolled HTN. A 60-year-old white female with Polyneuropathy, Organomegaly, Endocrinopathy, Monoclonal plasma cell disorder, Skin changes (POEMS) syndrome and newly diagnosed HTN was referred because of an elevated creatinine level. She denied being an active smoker but reported long-term exposure to cigarette smoke due to living with a heavy smoking family and working as a bartender. Further investigations revealed microscopic hematuria and nephritic range proteinuria. Kidney biopsy revealed diffuse and focal nodular mesangial expansion without hypercellularity, with negative staining for amyloid, fibrillary glomerulonephritis, and immunoglobulins, leading to a diagnosis of ING. This case highlights a rare case of ING secondary to heavy passive smoking and uncontrolled HTN.</p>","PeriodicalId":16198,"journal":{"name":"Journal of investigative medicine high impact case reports","volume":"13 ","pages":"23247096251323066"},"PeriodicalIF":0.8000,"publicationDate":"2025-01-01","publicationTypes":"Journal Article","fieldsOfStudy":null,"isOpenAccess":false,"openAccessPdf":"https://www.ncbi.nlm.nih.gov/pmc/articles/PMC11898078/pdf/","citationCount":"0","resultStr":null,"platform":"Semanticscholar","paperid":null,"PeriodicalName":"Journal of investigative medicine high impact case reports","FirstCategoryId":"1085","ListUrlMain":"https://doi.org/10.1177/23247096251323066","RegionNum":0,"RegionCategory":null,"ArticlePicture":[],"TitleCN":null,"AbstractTextCN":null,"PMCID":null,"EPubDate":"2025/3/11 0:00:00","PubModel":"Epub","JCR":"Q3","JCRName":"MEDICINE, GENERAL & INTERNAL","Score":null,"Total":0}
引用次数: 0

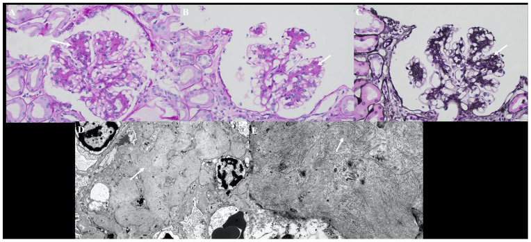
Abstract

Idiopathic nodular glomerulosclerosis (ING) is mostly associated with long-standing active smoking and hypertension (HTN). Herein, we present a rare case of ING in a passive smoker with recently diagnosed uncontrolled HTN. A 60-year-old white female with Polyneuropathy, Organomegaly, Endocrinopathy, Monoclonal plasma cell disorder, Skin changes (POEMS) syndrome and newly diagnosed HTN was referred because of an elevated creatinine level. She denied being an active smoker but reported long-term exposure to cigarette smoke due to living with a heavy smoking family and working as a bartender. Further investigations revealed microscopic hematuria and nephritic range proteinuria. Kidney biopsy revealed diffuse and focal nodular mesangial expansion without hypercellularity, with negative staining for amyloid, fibrillary glomerulonephritis, and immunoglobulins, leading to a diagnosis of ING. This case highlights a rare case of ING secondary to heavy passive smoking and uncontrolled HTN.

Abstract Image

Abstract Image

Abstract Image

长期被动吸烟者新近诊断为高血压的特发性结节性肾小球硬化1例报告。
特发性结节性肾小球硬化(ING)主要与长期活跃吸烟和高血压(HTN)有关。在此,我们提出一个罕见的病例ING在一个被动吸烟者最近诊断失控HTN。一位60岁白人女性,患有多发性神经病变、器官肿大、内分泌病变、单克隆浆细胞疾病、皮肤变化(POEMS)综合征和新诊断的HTN,因肌酐水平升高而被转诊。她否认自己是一个活跃的吸烟者,但报告说,由于生活在一个吸烟严重的家庭,并且是一名酒保,她长期暴露于香烟烟雾中。进一步检查显示显微镜下血尿和肾病范围蛋白尿。肾活检显示弥漫性局灶性肾小球系膜扩张,无高细胞性,淀粉样蛋白、原纤维性肾小球肾炎和免疫球蛋白染色阴性,诊断为ING。本病例强调了一个罕见的由大量被动吸烟和不受控制的HTN继发的ING病例。
本文章由计算机程序翻译,如有差异,请以英文原文为准。
求助全文
约1分钟内获得全文 求助全文
来源期刊
CiteScore
1.90
自引率
0.00%
发文量
165
审稿时长
12 weeks
期刊介绍: The AFMR is committed to enhancing the training and career development of our members and to furthering its mission to facilitate the conduct of research to improve medical care. Case reports represent an important avenue for trainees (interns, residents, and fellows) and early-stage faculty to demonstrate productive, scholarly activity.
×
引用
GB/T 7714-2015
复制
MLA
复制
APA
复制
导出至
BibTeX EndNote RefMan NoteFirst NoteExpress
×
提示
您的信息不完整,为了账户安全,请先补充。
现在去补充
×
提示
您因"违规操作"
具体请查看互助需知
我知道了
×
提示
确定
请完成安全验证×
copy
已复制链接
快去分享给好友吧!
我知道了
右上角分享
点击右上角分享
0
联系我们:info@booksci.cn Book学术提供免费学术资源搜索服务,方便国内外学者检索中英文文献。致力于提供最便捷和优质的服务体验。 Copyright © 2023 布克学术 All rights reserved.
京ICP备2023020795号-1
ghs 京公网安备 11010802042870号
Book学术文献互助
Book学术文献互助群
群 号:604180095
Book学术官方微信