The First Sertoli Cell Tumor of the Adrenal Gland is Potentially Associated with Arterial Hypertension.

IF 1.8 Q3 ENDOCRINOLOGY & METABOLISM
International Journal of Endocrinology and Metabolism Pub Date : 2024-10-30 eCollection Date: 2024-10-01 DOI:10.5812/ijem-156823
Sara Ivanis, Milan Marinkovic, Milan Jovanovic, Matija Buzejic, Marija Milinkovic, Zlatibor Loncar, Vladan Zivaljevic, Branislav Rovcanin
{"title":"The First Sertoli Cell Tumor of the Adrenal Gland is Potentially Associated with Arterial Hypertension.","authors":"Sara Ivanis, Milan Marinkovic, Milan Jovanovic, Matija Buzejic, Marija Milinkovic, Zlatibor Loncar, Vladan Zivaljevic, Branislav Rovcanin","doi":"10.5812/ijem-156823","DOIUrl":null,"url":null,"abstract":"<p><strong>Introduction: </strong>Sertoli cell tumors are rare sex cord-stromal tumors, accounting for less than 1% of primary testicular tumors. They typically arise in the testes and ovaries, with other localizations being uncommon. We present the case of a Sertoli cell tumor in the adrenal gland, which, to our knowledge, is the first reported in the literature.</p><p><strong>Case presentation: </strong>A 44-year-old male patient was admitted to the clinic for endocrine surgery for laparoscopic surgery of a right adrenal gland incidentaloma measuring 57 × 47 × 59 mm, discovered during a routine abdominal ultrasonography. The patient had a history of hypertension but no other comorbidities. Biochemical and physical examinations revealed no signs of hypercortisolism. Urinary metanephrine and normetanephrine levels were within normal limits. A right laparoscopic adrenalectomy was performed, and a 5 cm tumor was identified without evidence of locoregional invasion. Pathological examination confirmed a Sertoli cell tumor of the adrenal gland. Immunohistochemical analysis revealed positive staining for vimentin, steroidogenic factor 1 (SF1), and beta-catenin, while chromogranin A, hCG, PSA, and TTF1 were negative. The Ki-67 index was 3%. The patient was subsequently referred to a urologist, where testicular ultrasonography showed no abnormalities. There were no signs of recurrence during a 15-month follow-up period. Additionally, the patient's biannual antihypertensive treatment was discontinued by a cardiologist 1.5 months post-surgery.</p><p><strong>Conclusions: </strong>Sertoli cell tumors are an exceptionally rare entity. To our knowledge, this is the first reported case of a primary Sertoli cell tumor originating in the adrenal gland. Given their potential for malignancy, regular follow-up and additional diagnostic evaluations may be necessary. Laparoscopic adrenalectomy appears to be a suitable definitive treatment for this condition.</p>","PeriodicalId":13969,"journal":{"name":"International Journal of Endocrinology and Metabolism","volume":"22 4","pages":"e156823"},"PeriodicalIF":1.8000,"publicationDate":"2024-10-30","publicationTypes":"Journal Article","fieldsOfStudy":null,"isOpenAccess":false,"openAccessPdf":"https://www.ncbi.nlm.nih.gov/pmc/articles/PMC11892691/pdf/","citationCount":"0","resultStr":null,"platform":"Semanticscholar","paperid":null,"PeriodicalName":"International Journal of Endocrinology and Metabolism","FirstCategoryId":"3","ListUrlMain":"https://doi.org/10.5812/ijem-156823","RegionNum":0,"RegionCategory":null,"ArticlePicture":[],"TitleCN":null,"AbstractTextCN":null,"PMCID":null,"EPubDate":"2024/10/1 0:00:00","PubModel":"eCollection","JCR":"Q3","JCRName":"ENDOCRINOLOGY & METABOLISM","Score":null,"Total":0}
引用次数: 0

Abstract

Introduction: Sertoli cell tumors are rare sex cord-stromal tumors, accounting for less than 1% of primary testicular tumors. They typically arise in the testes and ovaries, with other localizations being uncommon. We present the case of a Sertoli cell tumor in the adrenal gland, which, to our knowledge, is the first reported in the literature.

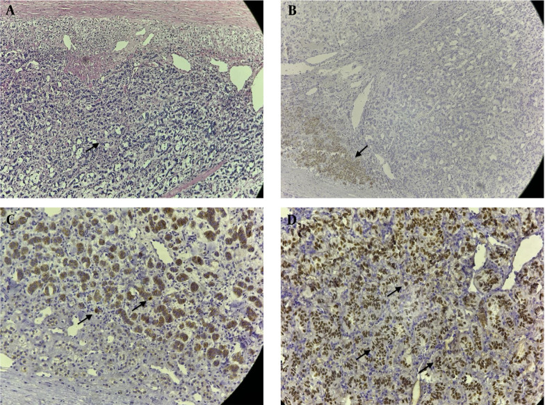
Case presentation: A 44-year-old male patient was admitted to the clinic for endocrine surgery for laparoscopic surgery of a right adrenal gland incidentaloma measuring 57 × 47 × 59 mm, discovered during a routine abdominal ultrasonography. The patient had a history of hypertension but no other comorbidities. Biochemical and physical examinations revealed no signs of hypercortisolism. Urinary metanephrine and normetanephrine levels were within normal limits. A right laparoscopic adrenalectomy was performed, and a 5 cm tumor was identified without evidence of locoregional invasion. Pathological examination confirmed a Sertoli cell tumor of the adrenal gland. Immunohistochemical analysis revealed positive staining for vimentin, steroidogenic factor 1 (SF1), and beta-catenin, while chromogranin A, hCG, PSA, and TTF1 were negative. The Ki-67 index was 3%. The patient was subsequently referred to a urologist, where testicular ultrasonography showed no abnormalities. There were no signs of recurrence during a 15-month follow-up period. Additionally, the patient's biannual antihypertensive treatment was discontinued by a cardiologist 1.5 months post-surgery.

Conclusions: Sertoli cell tumors are an exceptionally rare entity. To our knowledge, this is the first reported case of a primary Sertoli cell tumor originating in the adrenal gland. Given their potential for malignancy, regular follow-up and additional diagnostic evaluations may be necessary. Laparoscopic adrenalectomy appears to be a suitable definitive treatment for this condition.

Abstract Image

Abstract Image

肾上腺第一支持细胞瘤可能与动脉高血压有关。
支持细胞瘤是一种罕见的性索间质肿瘤,占原发性睾丸肿瘤的不到1%。它们通常出现在睾丸和卵巢,其他部位不常见。我们提出的情况下,支持细胞肿瘤在肾上腺,其中,据我们所知,是第一次在文献报道。病例介绍:一名44岁男性患者在常规腹部超声检查中发现右肾上腺偶发瘤,尺寸为57 × 47 × 59 mm,于腹腔镜下行内分泌外科手术。患者有高血压病史,无其他合并症。生化和体格检查未发现高皮质醇症的迹象。尿中肾上腺素和去甲肾上腺素水平均在正常范围内。行右腹腔镜肾上腺切除术,发现一个5厘米的肿瘤,没有局部侵犯的证据。病理检查证实为肾上腺支持细胞瘤。免疫组化分析显示,vimentin、steroidogenic factor 1 (SF1)和-连环蛋白呈阳性,而嗜铬粒蛋白A、hCG、PSA和TTF1呈阴性。Ki-67指数为3%。患者随后转诊至泌尿科,睾丸超声检查未见异常。随访15个月无复发迹象。此外,患者一年两次的降压治疗在手术后1.5个月由心脏病专家停止。结论:支持细胞瘤是一种罕见的肿瘤。据我们所知,这是首次报道的原发性支持细胞肿瘤起源于肾上腺。鉴于其潜在的恶性肿瘤,定期随访和额外的诊断评估可能是必要的。腹腔镜肾上腺切除术似乎是一种合适的明确治疗这种情况。
本文章由计算机程序翻译,如有差异,请以英文原文为准。
求助全文
约1分钟内获得全文 求助全文
来源期刊
CiteScore
3.10
自引率
4.80%
发文量
0
期刊介绍: The aim of the International Journal of Endocrinology and Metabolism (IJEM) is to increase knowledge, stimulate research in the field of endocrinology, and promote better management of patients with endocrinological disorders. To achieve this goal, the journal publishes original research papers on human, animal and cell culture studies relevant to endocrinology.
×
引用
GB/T 7714-2015
复制
MLA
复制
APA
复制
导出至
BibTeX EndNote RefMan NoteFirst NoteExpress
×
提示
您的信息不完整,为了账户安全,请先补充。
现在去补充
×
提示
您因"违规操作"
具体请查看互助需知
我知道了
×
提示
确定
请完成安全验证×
copy
已复制链接
快去分享给好友吧!
我知道了
右上角分享
点击右上角分享
0
联系我们:info@booksci.cn Book学术提供免费学术资源搜索服务,方便国内外学者检索中英文文献。致力于提供最便捷和优质的服务体验。 Copyright © 2023 布克学术 All rights reserved.
京ICP备2023020795号-1
ghs 京公网安备 11010802042870号
Book学术文献互助
Book学术文献互助群
群 号:604180095
Book学术官方微信