Development of a machine learning-based predictive model for maxillary sinus cysts and exploration of clustering patterns.

IF 2.4 2区 医学 Q2 DENTISTRY, ORAL SURGERY & MEDICINE
Haoran Yang, Yuxiang Chen, Anna Zhao, Xianqi Rao, Lin Li, Ziliang Li
{"title":"Development of a machine learning-based predictive model for maxillary sinus cysts and exploration of clustering patterns.","authors":"Haoran Yang, Yuxiang Chen, Anna Zhao, Xianqi Rao, Lin Li, Ziliang Li","doi":"10.1186/s13005-025-00492-y","DOIUrl":null,"url":null,"abstract":"<p><strong>Background and objective: </strong>There are still many controversies about the factors influencing maxillary sinus cysts and their clinical management. This study aims to construct a prediction model of maxillary sinus cyst and explore its clustering pattern by cone beam computerized tomography (CBCT) technique and machine learning (ML) method to provide a theoretical basis for the prevention and clinical management of maxillary sinus cyst.</p><p><strong>Methods: </strong>In this study, 6000 CBCT images of maxillary sinus from 3093 patients were evaluated to document the possible influencing factors of maxillary sinus cysts, including gender, age, odontogenic factors, and anatomical factors. First, the characteristic variables were screened by multiple statistical methods, and ML methods were applied to construct a prediction model for maxillary sinus cysts. Second, the model was interpreted based on the SHapley Additive exPlanations (SHAP) values, and the risk of maxillary sinus cysts was predicted by generating a web page calculator. Finally, the K-mean clustering algorithm further identified risk factors for maxillary sinus cysts.</p><p><strong>Results: </strong>By comparing the various metrics in the training and test sets of multiple ML models, eXtreme Gradient Boosting (XGBoost) is the best model. The average area under curve (AUC) values of the XGBoost model in the training, validation, and test sets, respectively, are 0.939, 0.923, and 0.921, which indicates its excellent classification and discrimination ability. The cluster analysis model further categorized maxillary sinus cysts into high-risk and low-risk groups, with apical lesions, severe periodontitis, and age ≥ 53 as high-risk factors for maxillary sinus cysts.</p><p><strong>Conclusion: </strong>These findings provide valuable insights into the etiology and risk stratification of maxillary sinus cysts, offering a theoretical basis for their prevention and clinical management. The integration of CBCT imaging and ML techniques holds the potential for prevention and personalized treatment strategies of maxillary sinus cysts.</p>","PeriodicalId":12994,"journal":{"name":"Head & Face Medicine","volume":"21 1","pages":"17"},"PeriodicalIF":2.4000,"publicationDate":"2025-03-12","publicationTypes":"Journal Article","fieldsOfStudy":null,"isOpenAccess":false,"openAccessPdf":"https://www.ncbi.nlm.nih.gov/pmc/articles/PMC11900490/pdf/","citationCount":"0","resultStr":null,"platform":"Semanticscholar","paperid":null,"PeriodicalName":"Head & Face Medicine","FirstCategoryId":"3","ListUrlMain":"https://doi.org/10.1186/s13005-025-00492-y","RegionNum":2,"RegionCategory":"医学","ArticlePicture":[],"TitleCN":null,"AbstractTextCN":null,"PMCID":null,"EPubDate":"","PubModel":"","JCR":"Q2","JCRName":"DENTISTRY, ORAL SURGERY & MEDICINE","Score":null,"Total":0}
引用次数: 0

Abstract

Background and objective: There are still many controversies about the factors influencing maxillary sinus cysts and their clinical management. This study aims to construct a prediction model of maxillary sinus cyst and explore its clustering pattern by cone beam computerized tomography (CBCT) technique and machine learning (ML) method to provide a theoretical basis for the prevention and clinical management of maxillary sinus cyst.

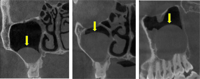
Methods: In this study, 6000 CBCT images of maxillary sinus from 3093 patients were evaluated to document the possible influencing factors of maxillary sinus cysts, including gender, age, odontogenic factors, and anatomical factors. First, the characteristic variables were screened by multiple statistical methods, and ML methods were applied to construct a prediction model for maxillary sinus cysts. Second, the model was interpreted based on the SHapley Additive exPlanations (SHAP) values, and the risk of maxillary sinus cysts was predicted by generating a web page calculator. Finally, the K-mean clustering algorithm further identified risk factors for maxillary sinus cysts.

Results: By comparing the various metrics in the training and test sets of multiple ML models, eXtreme Gradient Boosting (XGBoost) is the best model. The average area under curve (AUC) values of the XGBoost model in the training, validation, and test sets, respectively, are 0.939, 0.923, and 0.921, which indicates its excellent classification and discrimination ability. The cluster analysis model further categorized maxillary sinus cysts into high-risk and low-risk groups, with apical lesions, severe periodontitis, and age ≥ 53 as high-risk factors for maxillary sinus cysts.

Conclusion: These findings provide valuable insights into the etiology and risk stratification of maxillary sinus cysts, offering a theoretical basis for their prevention and clinical management. The integration of CBCT imaging and ML techniques holds the potential for prevention and personalized treatment strategies of maxillary sinus cysts.

Abstract Image

Abstract Image

Abstract Image

基于机器学习的上颌窦囊肿预测模型的开发及聚类模式的探索。
背景与目的:上颌窦囊肿的影响因素及临床处理仍有很多争议。本研究旨在通过锥形束计算机断层扫描(CBCT)技术和机器学习(ML)方法构建上颌窦囊肿的预测模型并探讨其聚类规律,为上颌窦囊肿的预防和临床治疗提供理论依据。方法:对3093例上颌窦患者的6000张CBCT图像进行分析,探讨上颌窦囊肿发生的可能影响因素,包括性别、年龄、牙源性因素和解剖学因素。首先,通过多种统计方法筛选特征变量,应用ML方法构建上颌窦囊肿预测模型。其次,基于SHapley加性解释(SHAP)值对模型进行解释,并通过生成网页计算器预测上颌窦囊肿的风险。最后,k均值聚类算法进一步识别上颌窦囊肿的危险因素。结果:通过比较多个ML模型训练集和测试集的各项指标,eXtreme Gradient Boosting (XGBoost)是最佳模型。XGBoost模型在训练集、验证集和测试集上的平均曲线下面积(AUC)值分别为0.939、0.923和0.921,表明其具有良好的分类和判别能力。聚类分析模型进一步将上颌窦囊肿分为高危组和低危组,以根尖病变、严重牙周炎、年龄≥53岁为上颌窦囊肿的高危因素。结论:本研究为上颌窦囊肿的病因及危险分层提供了有价值的认识,为上颌窦囊肿的预防和临床处理提供了理论依据。CBCT成像与ML技术的结合为上颌窦囊肿的预防和个性化治疗提供了可能。
本文章由计算机程序翻译,如有差异,请以英文原文为准。
求助全文
约1分钟内获得全文 求助全文
来源期刊
Head & Face Medicine
Head & Face Medicine DENTISTRY, ORAL SURGERY & MEDICINE-
CiteScore
4.70
自引率
3.30%
发文量
32
审稿时长
>12 weeks
期刊介绍: Head & Face Medicine is a multidisciplinary open access journal that publishes basic and clinical research concerning all aspects of cranial, facial and oral conditions. The journal covers all aspects of cranial, facial and oral diseases and their management. It has been designed as a multidisciplinary journal for clinicians and researchers involved in the diagnostic and therapeutic aspects of diseases which affect the human head and face. The journal is wide-ranging, covering the development, aetiology, epidemiology and therapy of head and face diseases to the basic science that underlies these diseases. Management of head and face diseases includes all aspects of surgical and non-surgical treatments including psychopharmacological therapies.
×
引用
GB/T 7714-2015
复制
MLA
复制
APA
复制
导出至
BibTeX EndNote RefMan NoteFirst NoteExpress
×
提示
您的信息不完整,为了账户安全,请先补充。
现在去补充
×
提示
您因"违规操作"
具体请查看互助需知
我知道了
×
提示
确定
请完成安全验证×
copy
已复制链接
快去分享给好友吧!
我知道了
右上角分享
点击右上角分享
0
联系我们:info@booksci.cn Book学术提供免费学术资源搜索服务,方便国内外学者检索中英文文献。致力于提供最便捷和优质的服务体验。 Copyright © 2023 布克学术 All rights reserved.
京ICP备2023020795号-1
ghs 京公网安备 11010802042870号
Book学术文献互助
Book学术文献互助群
群 号:604180095
Book学术官方微信