Zinner syndrome: report of a case and whole exome sequencing.

IF 2 3区 医学 Q2 ANDROLOGY
Jiatai He, Chengcheng Wei, Yu Huang, Feixiang Xu, Miao Wang, Zhaohui Chen
{"title":"Zinner syndrome: report of a case and whole exome sequencing.","authors":"Jiatai He, Chengcheng Wei, Yu Huang, Feixiang Xu, Miao Wang, Zhaohui Chen","doi":"10.1186/s12610-025-00256-3","DOIUrl":null,"url":null,"abstract":"<p><strong>Background: </strong>Zinner syndrome is a rare congenital malformation of the male genitourinary system, characterized by a triad: seminal vesicle cyst, unilateral renal agenesis, and ipsilateral ejaculatory duct obstruction. The etiology of this uncommon disease remains largely elusive; however, genetic mutations may contribute to its development. In this report, we present a case of symptomatic Zinner syndrome that was surgically treated, alongside an investigation into the potential genetic basis of the syndrome via whole exome sequencing.</p><p><strong>Case presentation: </strong>We report the case of an 18-year-old male presenting with urinary pain and was diagnosed with right renal agenesis and a left seminal vesicle cyst following comprehensive imaging. The patient also experienced perineal pain and urgency, without symptoms of frequent urination, dysuria, or hematuria, and no familial history of genitourinary anomalies was documented. He successfully underwent laparoscopic resection of a pelvic mass, with pathological examination confirming a seminal vesicle cyst. Postoperative recovery was uneventful. Whole exome sequencing of blood and tissue samples highlighted myeloma overexpressed gene (MYEOV), B melanoma antigen family member (BAGE), and N-acetylated-alpha-linked acidic dipeptidase 2 (NAALAD2) as potential mutated genes related to Zinner syndrome. Additionally, two predisposing genetic variants were identified.</p><p><strong>Conclusions: </strong>Zinner syndrome is a rare condition commonly diagnosed via various imaging modalities. Surgical resection remains the most effective treatment for symptomatic cases. Gene sequencing provides valuable insights into the genetic etiology of Zinner syndrome, enhancing our understanding and potentially guiding future diagnostic approaches.</p>","PeriodicalId":8730,"journal":{"name":"Basic and Clinical Andrology","volume":"35 1","pages":"10"},"PeriodicalIF":2.0000,"publicationDate":"2025-03-11","publicationTypes":"Journal Article","fieldsOfStudy":null,"isOpenAccess":false,"openAccessPdf":"https://www.ncbi.nlm.nih.gov/pmc/articles/PMC11895205/pdf/","citationCount":"0","resultStr":null,"platform":"Semanticscholar","paperid":null,"PeriodicalName":"Basic and Clinical Andrology","FirstCategoryId":"3","ListUrlMain":"https://doi.org/10.1186/s12610-025-00256-3","RegionNum":3,"RegionCategory":"医学","ArticlePicture":[],"TitleCN":null,"AbstractTextCN":null,"PMCID":null,"EPubDate":"","PubModel":"","JCR":"Q2","JCRName":"ANDROLOGY","Score":null,"Total":0}
引用次数: 0

Abstract

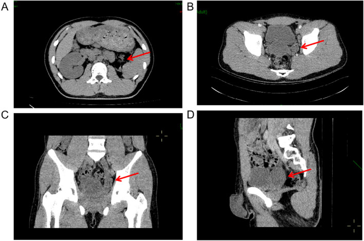
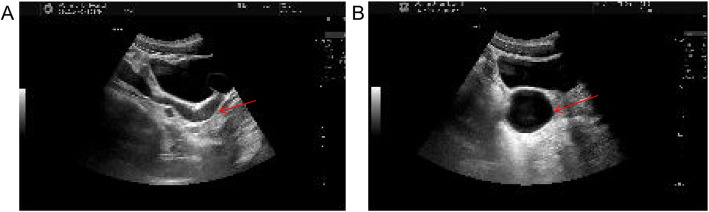
Background: Zinner syndrome is a rare congenital malformation of the male genitourinary system, characterized by a triad: seminal vesicle cyst, unilateral renal agenesis, and ipsilateral ejaculatory duct obstruction. The etiology of this uncommon disease remains largely elusive; however, genetic mutations may contribute to its development. In this report, we present a case of symptomatic Zinner syndrome that was surgically treated, alongside an investigation into the potential genetic basis of the syndrome via whole exome sequencing.

Case presentation: We report the case of an 18-year-old male presenting with urinary pain and was diagnosed with right renal agenesis and a left seminal vesicle cyst following comprehensive imaging. The patient also experienced perineal pain and urgency, without symptoms of frequent urination, dysuria, or hematuria, and no familial history of genitourinary anomalies was documented. He successfully underwent laparoscopic resection of a pelvic mass, with pathological examination confirming a seminal vesicle cyst. Postoperative recovery was uneventful. Whole exome sequencing of blood and tissue samples highlighted myeloma overexpressed gene (MYEOV), B melanoma antigen family member (BAGE), and N-acetylated-alpha-linked acidic dipeptidase 2 (NAALAD2) as potential mutated genes related to Zinner syndrome. Additionally, two predisposing genetic variants were identified.

Conclusions: Zinner syndrome is a rare condition commonly diagnosed via various imaging modalities. Surgical resection remains the most effective treatment for symptomatic cases. Gene sequencing provides valuable insights into the genetic etiology of Zinner syndrome, enhancing our understanding and potentially guiding future diagnostic approaches.

Abstract Image

Abstract Image

Abstract Image

津纳综合征:报告1例及全外显子组测序。
背景:Zinner综合征是一种罕见的男性泌尿生殖系统先天性畸形,以精囊囊肿、单侧肾发育不全和同侧射精管梗阻为特征。这种罕见疾病的病因在很大程度上仍然难以捉摸;然而,基因突变可能有助于其发展。在本报告中,我们报告了一例症状性津纳综合征的手术治疗,并通过全外显子组测序对该综合征的潜在遗传基础进行了调查。病例介绍:我们报告一个18岁的男性病例,表现为泌尿疼痛,经综合影像学诊断为右肾发育不全和左精囊囊肿。患者还出现会阴疼痛和尿急,无尿频、排尿困难或血尿症状,无泌尿生殖系统异常家族史记录。他成功地接受了腹腔镜切除盆腔肿块,病理检查证实为精囊囊肿。术后恢复顺利。血液和组织样本的全外显子组测序显示,骨髓瘤过表达基因(MYEOV)、B黑色素瘤抗原家族成员(BAGE)和n -乙酰化α -连接酸性二肽酶2 (NAALAD2)是与Zinner综合征相关的潜在突变基因。此外,还发现了两种易感遗传变异。结论:津纳综合征是一种罕见的疾病,通常通过各种影像学方式诊断。手术切除仍然是最有效的治疗症状的病例。基因测序为Zinner综合征的遗传病因提供了有价值的见解,增强了我们的理解,并有可能指导未来的诊断方法。
本文章由计算机程序翻译,如有差异,请以英文原文为准。
求助全文
约1分钟内获得全文 求助全文
来源期刊
Basic and Clinical Andrology
Basic and Clinical Andrology Medicine-Urology
CiteScore
3.50
自引率
0.00%
发文量
21
审稿时长
22 weeks
期刊介绍: Basic and Clinical Andrology is an open access journal in the domain of andrology covering all aspects of male reproductive and sexual health in both human and animal models. The journal aims to bring to light the various clinical advancements and research developments in andrology from the international community.
×
引用
GB/T 7714-2015
复制
MLA
复制
APA
复制
导出至
BibTeX EndNote RefMan NoteFirst NoteExpress
×
提示
您的信息不完整,为了账户安全,请先补充。
现在去补充
×
提示
您因"违规操作"
具体请查看互助需知
我知道了
×
提示
确定
请完成安全验证×
copy
已复制链接
快去分享给好友吧!
我知道了
右上角分享
点击右上角分享
0
联系我们:info@booksci.cn Book学术提供免费学术资源搜索服务,方便国内外学者检索中英文文献。致力于提供最便捷和优质的服务体验。 Copyright © 2023 布克学术 All rights reserved.
京ICP备2023020795号-1
ghs 京公网安备 11010802042870号
Book学术文献互助
Book学术文献互助群
群 号:604180095
Book学术官方微信