Rare manifestation of initial central nervous system involvement in severe fever with thrombocytopenia syndrome-associated encephalopathy/encephalitis: a case report.

Encephalitis (Seoul, Korea) Pub Date : 2025-04-01 Epub Date: 2025-03-11 DOI:10.47936/encephalitis.2024.00108
Hyun Seung Kim, Seon-Jae Ahn, Han Sang Lee, Kon Chu
{"title":"Rare manifestation of initial central nervous system involvement in severe fever with thrombocytopenia syndrome-associated encephalopathy/encephalitis: a case report.","authors":"Hyun Seung Kim, Seon-Jae Ahn, Han Sang Lee, Kon Chu","doi":"10.47936/encephalitis.2024.00108","DOIUrl":null,"url":null,"abstract":"<p><p>Severe fever with thrombocytopenia syndrome (SFTS) is a potentially fatal infectious disease if not diagnosed and treated promptly. Typical clinical features include fever, thrombocytopenia, and lymphadenopathy. However, we encountered a case of SFTS in a 60-year-old male who initially did not exhibit these hallmark symptoms. The patient presented with headache and myalgia, but fever did not develop until the 4th day of hospitalization. Initial neuroimaging and cerebrospinal fluid (CSF) analysis revealed no abnormalities. When the fever emerged, follow-up imaging revealed findings consistent with meningitis as a complication of SFTS. The patient was successfully treated with antibiotics and made a full recovery. This case underscores the challenges in diagnosing SFTS in patients who lack fever, CSF pleocytosis, or typical neuroimaging findings at presentation. Additionally, it highlights the importance of differentiating SFTS-related meningitis from other causes of encephalitis to avoid inappropriate treatments, such as immunosuppressive therapy, which could worsen viral infections.</p>","PeriodicalId":72904,"journal":{"name":"Encephalitis (Seoul, Korea)","volume":" ","pages":"61-66"},"PeriodicalIF":0.0000,"publicationDate":"2025-04-01","publicationTypes":"Journal Article","fieldsOfStudy":null,"isOpenAccess":false,"openAccessPdf":"https://www.ncbi.nlm.nih.gov/pmc/articles/PMC12042690/pdf/","citationCount":"0","resultStr":null,"platform":"Semanticscholar","paperid":null,"PeriodicalName":"Encephalitis (Seoul, Korea)","FirstCategoryId":"1085","ListUrlMain":"https://doi.org/10.47936/encephalitis.2024.00108","RegionNum":0,"RegionCategory":null,"ArticlePicture":[],"TitleCN":null,"AbstractTextCN":null,"PMCID":null,"EPubDate":"2025/3/11 0:00:00","PubModel":"Epub","JCR":"","JCRName":"","Score":null,"Total":0}
引用次数: 0

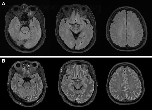
Abstract

Severe fever with thrombocytopenia syndrome (SFTS) is a potentially fatal infectious disease if not diagnosed and treated promptly. Typical clinical features include fever, thrombocytopenia, and lymphadenopathy. However, we encountered a case of SFTS in a 60-year-old male who initially did not exhibit these hallmark symptoms. The patient presented with headache and myalgia, but fever did not develop until the 4th day of hospitalization. Initial neuroimaging and cerebrospinal fluid (CSF) analysis revealed no abnormalities. When the fever emerged, follow-up imaging revealed findings consistent with meningitis as a complication of SFTS. The patient was successfully treated with antibiotics and made a full recovery. This case underscores the challenges in diagnosing SFTS in patients who lack fever, CSF pleocytosis, or typical neuroimaging findings at presentation. Additionally, it highlights the importance of differentiating SFTS-related meningitis from other causes of encephalitis to avoid inappropriate treatments, such as immunosuppressive therapy, which could worsen viral infections.

Abstract Image

Abstract Image

Abstract Image

发热伴血小板减少综合征相关脑病/脑炎时中枢神经系统受累的罕见表现:1例报告。
发热伴血小板减少综合征(SFTS)是一种潜在的致命传染病,如果不及时诊断和治疗。典型的临床特征包括发热、血小板减少和淋巴结病。然而,我们遇到了一个60岁男性的SFTS病例,他最初没有表现出这些标志性症状。患者出现头痛和肌痛,但直到住院第4天才出现发烧。初步神经影像学和脑脊液(CSF)分析未见异常。当发烧出现时,随访影像显示的结果与脑膜炎作为SFTS的并发症一致。病人成功地接受了抗生素治疗,并完全康复。本病例强调了在没有发烧、脑脊液多细胞症或表现出典型神经影像学表现的患者中诊断SFTS的挑战。此外,它强调了将与sfts相关的脑膜炎与其他原因的脑炎区分开来的重要性,以避免不适当的治疗,如免疫抑制治疗,这可能会加重病毒感染。
本文章由计算机程序翻译,如有差异,请以英文原文为准。
求助全文
约1分钟内获得全文 求助全文
来源期刊
自引率
0.00%
发文量
0
×
引用
GB/T 7714-2015
复制
MLA
复制
APA
复制
导出至
BibTeX EndNote RefMan NoteFirst NoteExpress
×
提示
您的信息不完整,为了账户安全,请先补充。
现在去补充
×
提示
您因"违规操作"
具体请查看互助需知
我知道了
×
提示
确定
请完成安全验证×
copy
已复制链接
快去分享给好友吧!
我知道了
右上角分享
点击右上角分享
0
联系我们:info@booksci.cn Book学术提供免费学术资源搜索服务,方便国内外学者检索中英文文献。致力于提供最便捷和优质的服务体验。 Copyright © 2023 布克学术 All rights reserved.
京ICP备2023020795号-1
ghs 京公网安备 11010802042870号
Book学术文献互助
Book学术文献互助群
群 号:604180095
Book学术官方微信