Serendipitous Detection of Hepatocellular Carcinoma in a Patient Undergoing Staging for Prostate Cancer.

IF 0.5 Q4 RADIOLOGY, NUCLEAR MEDICINE & MEDICAL IMAGING
Indian Journal of Nuclear Medicine Pub Date : 2024-09-01 Epub Date: 2025-01-25 DOI:10.4103/ijnm.ijnm_50_24
Yash Jain, Nilendu Purandare, Archi Agrawal, Sneha Shah, Ameya Puranik, Vishesha Vipul Adhvaryu, Swapnil Rane, Venkatesh Rangarajan
{"title":"Serendipitous Detection of Hepatocellular Carcinoma in a Patient Undergoing Staging for Prostate Cancer.","authors":"Yash Jain, Nilendu Purandare, Archi Agrawal, Sneha Shah, Ameya Puranik, Vishesha Vipul Adhvaryu, Swapnil Rane, Venkatesh Rangarajan","doi":"10.4103/ijnm.ijnm_50_24","DOIUrl":null,"url":null,"abstract":"<p><p>Isolated liver metastasis from prostate cancer is exceedingly rare. Prostate-specific membrane antigen-positron emission tomography/computed tomography has become the one-stop shop imaging in prostate cancer, but the uptake is a relatively nonspecific tracer and its expression can be seen in a plethora of nonprostatic solid tumors. We report one such example of an oligometastatic prostate cancer who presented with an isolated liver lesion which turned out to be an incidental hepatocellular carcinoma, thus representing a potentially unique diagnostic challenge.</p>","PeriodicalId":45830,"journal":{"name":"Indian Journal of Nuclear Medicine","volume":"39 5","pages":"385-388"},"PeriodicalIF":0.5000,"publicationDate":"2024-09-01","publicationTypes":"Journal Article","fieldsOfStudy":null,"isOpenAccess":false,"openAccessPdf":"https://www.ncbi.nlm.nih.gov/pmc/articles/PMC11884350/pdf/","citationCount":"0","resultStr":null,"platform":"Semanticscholar","paperid":null,"PeriodicalName":"Indian Journal of Nuclear Medicine","FirstCategoryId":"1085","ListUrlMain":"https://doi.org/10.4103/ijnm.ijnm_50_24","RegionNum":0,"RegionCategory":null,"ArticlePicture":[],"TitleCN":null,"AbstractTextCN":null,"PMCID":null,"EPubDate":"2025/1/25 0:00:00","PubModel":"Epub","JCR":"Q4","JCRName":"RADIOLOGY, NUCLEAR MEDICINE & MEDICAL IMAGING","Score":null,"Total":0}
引用次数: 0

Abstract

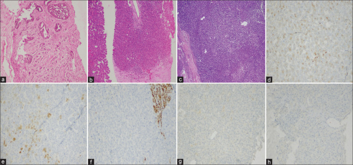
Isolated liver metastasis from prostate cancer is exceedingly rare. Prostate-specific membrane antigen-positron emission tomography/computed tomography has become the one-stop shop imaging in prostate cancer, but the uptake is a relatively nonspecific tracer and its expression can be seen in a plethora of nonprostatic solid tumors. We report one such example of an oligometastatic prostate cancer who presented with an isolated liver lesion which turned out to be an incidental hepatocellular carcinoma, thus representing a potentially unique diagnostic challenge.

Abstract Image

Abstract Image

前列腺癌分期患者肝细胞癌的偶然检测。
前列腺癌孤立性肝转移极为罕见。前列腺特异性膜抗原-正电子发射断层扫描/计算机断层扫描已成为前列腺癌的一站式成像,但摄取是一种相对非特异性的示踪剂,其表达可在大量非前列腺实体瘤中看到。我们报告一个这样的例子,寡转移性前列腺癌谁提出了一个孤立的肝脏病变,原来是一个偶然的肝细胞癌,因此代表一个潜在的独特的诊断挑战。
本文章由计算机程序翻译,如有差异,请以英文原文为准。
求助全文
约1分钟内获得全文 求助全文
来源期刊
Indian Journal of Nuclear Medicine
Indian Journal of Nuclear Medicine RADIOLOGY, NUCLEAR MEDICINE & MEDICAL IMAGING-
CiteScore
0.70
自引率
0.00%
发文量
46
×
引用
GB/T 7714-2015
复制
MLA
复制
APA
复制
导出至
BibTeX EndNote RefMan NoteFirst NoteExpress
×
提示
您的信息不完整,为了账户安全,请先补充。
现在去补充
×
提示
您因"违规操作"
具体请查看互助需知
我知道了
×
提示
确定
请完成安全验证×
copy
已复制链接
快去分享给好友吧!
我知道了
右上角分享
点击右上角分享
0
联系我们:info@booksci.cn Book学术提供免费学术资源搜索服务,方便国内外学者检索中英文文献。致力于提供最便捷和优质的服务体验。 Copyright © 2023 布克学术 All rights reserved.
京ICP备2023020795号-1
ghs 京公网安备 11010802042870号
Book学术文献互助
Book学术文献互助群
群 号:604180095
Book学术官方微信