Incidental Detection of Adult Polysplenia Syndrome With Situs Inversus Totalis, Interrupted Inferior Vena Cava, and Bronchiectasis.

Q2 Medicine
Methodist DeBakey cardiovascular journal Pub Date : 2025-03-06 eCollection Date: 2025-01-01 DOI:10.14797/mdcvj.1537
Kanupriya Arora, Mansi Verma, Sushma Makhaik
{"title":"Incidental Detection of Adult Polysplenia Syndrome With Situs Inversus Totalis, Interrupted Inferior Vena Cava, and Bronchiectasis.","authors":"Kanupriya Arora, Mansi Verma, Sushma Makhaik","doi":"10.14797/mdcvj.1537","DOIUrl":null,"url":null,"abstract":"<p><p>Incidental detection of polysplenia associated with situs inversus totalis in an adult is rarely reported in literature.12 \"Heterotaxy\" refers to a wide spectrum of anomalies involving dysmorphism of thoracoabdominal organs across the right-left axis of the body. Polysplenia is observed in left isomerism along with bilateral bilobed bronchi and bilateral morphologic left atria. However, in this case, polysplenia was present without isomerism.</p>","PeriodicalId":39207,"journal":{"name":"Methodist DeBakey cardiovascular journal","volume":"21 1","pages":"6-9"},"PeriodicalIF":0.0000,"publicationDate":"2025-03-06","publicationTypes":"Journal Article","fieldsOfStudy":null,"isOpenAccess":false,"openAccessPdf":"https://www.ncbi.nlm.nih.gov/pmc/articles/PMC11887460/pdf/","citationCount":"0","resultStr":null,"platform":"Semanticscholar","paperid":null,"PeriodicalName":"Methodist DeBakey cardiovascular journal","FirstCategoryId":"1085","ListUrlMain":"https://doi.org/10.14797/mdcvj.1537","RegionNum":0,"RegionCategory":null,"ArticlePicture":[],"TitleCN":null,"AbstractTextCN":null,"PMCID":null,"EPubDate":"2025/1/1 0:00:00","PubModel":"eCollection","JCR":"Q2","JCRName":"Medicine","Score":null,"Total":0}
引用次数: 0

Abstract

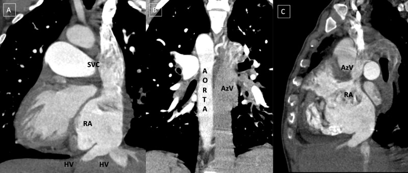
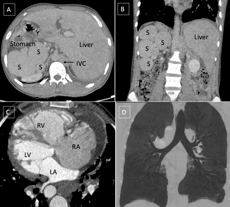
Incidental detection of polysplenia associated with situs inversus totalis in an adult is rarely reported in literature.12 "Heterotaxy" refers to a wide spectrum of anomalies involving dysmorphism of thoracoabdominal organs across the right-left axis of the body. Polysplenia is observed in left isomerism along with bilateral bilobed bronchi and bilateral morphologic left atria. However, in this case, polysplenia was present without isomerism.

Abstract Image

Abstract Image

Abstract Image

成人多脾综合征伴完全性倒位、下腔静脉中断和支气管扩张的偶然发现。
偶然发现与完全性倒位相关的多脾症在成人文献中很少报道。12“异位”是指横跨身体左右轴的胸腹器官畸形的广泛异常。左侧同分异构体伴双侧双叶支气管和双侧形态左心房多脾。然而,在这种情况下,多脾存在,没有同分异构体。
本文章由计算机程序翻译,如有差异,请以英文原文为准。
求助全文
约1分钟内获得全文 求助全文
来源期刊
CiteScore
2.30
自引率
0.00%
发文量
65
×
引用
GB/T 7714-2015
复制
MLA
复制
APA
复制
导出至
BibTeX EndNote RefMan NoteFirst NoteExpress
×
提示
您的信息不完整,为了账户安全,请先补充。
现在去补充
×
提示
您因"违规操作"
具体请查看互助需知
我知道了
×
提示
确定
请完成安全验证×
copy
已复制链接
快去分享给好友吧!
我知道了
右上角分享
点击右上角分享
0
联系我们:info@booksci.cn Book学术提供免费学术资源搜索服务,方便国内外学者检索中英文文献。致力于提供最便捷和优质的服务体验。 Copyright © 2023 布克学术 All rights reserved.
京ICP备2023020795号-1
ghs 京公网安备 11010802042870号
Book学术文献互助
Book学术文献互助群
群 号:604180095
Book学术官方微信