Atypical Appearance on Radioiodine Scintigraphy Due to Achalasia Cardia - A Potential Diagnostic Pitfall.

IF 0.5 Q4 RADIOLOGY, NUCLEAR MEDICINE & MEDICAL IMAGING
Indian Journal of Nuclear Medicine Pub Date : 2024-09-01 Epub Date: 2025-01-25 DOI:10.4103/ijnm.ijnm_87_24
Kunal Ramesh Chandekar, Nishikant Avinash Damle, Chandrasekhar Bal
{"title":"Atypical Appearance on Radioiodine Scintigraphy Due to Achalasia Cardia - A Potential Diagnostic Pitfall.","authors":"Kunal Ramesh Chandekar, Nishikant Avinash Damle, Chandrasekhar Bal","doi":"10.4103/ijnm.ijnm_87_24","DOIUrl":null,"url":null,"abstract":"<p><p>We present the case of a 36-year-old woman with papillary thyroid cancer (PTC) who had undergone thyroidectomy and nodal dissection. In addition to thyroid remnant and nodal metastases, initial postoperative radioiodine (RAI) diagnostic whole-body scintigraphy showed abnormal diffusely increased linear band-like uptake in the thorax corresponding to the esophageal contour, raising suspicion of lower esophageal obstruction. Retrospective inquiry revealed a history of long-standing, progressive dysphagia. Findings of computed tomography, barium swallow study, and esophageal manometry were consistent with achalasia cardia. She underwent high-dose RAI therapy for PTC and laparoscopic cardio-myotomy for achalasia cardia. This case report aims to familiarize nuclear medicine physicians with the appearance of achalasia cardia on RAI scintigraphy, which may mask surrounding lymph nodal or vertebral metastases. Such a finding when encountered should also prompt further work-up and appropriate management.</p>","PeriodicalId":45830,"journal":{"name":"Indian Journal of Nuclear Medicine","volume":"39 5","pages":"406-408"},"PeriodicalIF":0.5000,"publicationDate":"2024-09-01","publicationTypes":"Journal Article","fieldsOfStudy":null,"isOpenAccess":false,"openAccessPdf":"https://www.ncbi.nlm.nih.gov/pmc/articles/PMC11884340/pdf/","citationCount":"0","resultStr":null,"platform":"Semanticscholar","paperid":null,"PeriodicalName":"Indian Journal of Nuclear Medicine","FirstCategoryId":"1085","ListUrlMain":"https://doi.org/10.4103/ijnm.ijnm_87_24","RegionNum":0,"RegionCategory":null,"ArticlePicture":[],"TitleCN":null,"AbstractTextCN":null,"PMCID":null,"EPubDate":"2025/1/25 0:00:00","PubModel":"Epub","JCR":"Q4","JCRName":"RADIOLOGY, NUCLEAR MEDICINE & MEDICAL IMAGING","Score":null,"Total":0}
引用次数: 0

Abstract

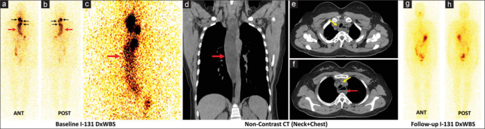
We present the case of a 36-year-old woman with papillary thyroid cancer (PTC) who had undergone thyroidectomy and nodal dissection. In addition to thyroid remnant and nodal metastases, initial postoperative radioiodine (RAI) diagnostic whole-body scintigraphy showed abnormal diffusely increased linear band-like uptake in the thorax corresponding to the esophageal contour, raising suspicion of lower esophageal obstruction. Retrospective inquiry revealed a history of long-standing, progressive dysphagia. Findings of computed tomography, barium swallow study, and esophageal manometry were consistent with achalasia cardia. She underwent high-dose RAI therapy for PTC and laparoscopic cardio-myotomy for achalasia cardia. This case report aims to familiarize nuclear medicine physicians with the appearance of achalasia cardia on RAI scintigraphy, which may mask surrounding lymph nodal or vertebral metastases. Such a finding when encountered should also prompt further work-up and appropriate management.

Abstract Image

贲门失弛缓症的放射性碘显像表现不典型——一个潜在的诊断缺陷。
我们提出的情况下,36岁的妇女乳头状甲状腺癌(PTC)谁接受甲状腺切除术和淋巴结清扫。除甲状腺残留和淋巴结转移外,术后初始放射性碘(RAI)诊断性全身显像显示与食管等值线对应的胸腔弥漫性线状带状摄取异常增加,提示食管下段梗阻。回顾性调查显示有长期进行性吞咽困难病史。计算机断层扫描、钡剂吞咽检查和食道压力测量结果与贲门失弛缓症一致。她因PTC接受大剂量RAI治疗,因贲门失弛缓症接受腹腔镜心肌切开术。本病例报告旨在使核医学医生熟悉贲门失弛缓症在RAI显像上的表现,这可能掩盖了周围淋巴结或椎体转移。当遇到这样的发现时,也应促使进一步的检查和适当的管理。
本文章由计算机程序翻译,如有差异,请以英文原文为准。
求助全文
约1分钟内获得全文 求助全文
来源期刊
Indian Journal of Nuclear Medicine
Indian Journal of Nuclear Medicine RADIOLOGY, NUCLEAR MEDICINE & MEDICAL IMAGING-
CiteScore
0.70
自引率
0.00%
发文量
46
×
引用
GB/T 7714-2015
复制
MLA
复制
APA
复制
导出至
BibTeX EndNote RefMan NoteFirst NoteExpress
×
提示
您的信息不完整,为了账户安全,请先补充。
现在去补充
×
提示
您因"违规操作"
具体请查看互助需知
我知道了
×
提示
确定
请完成安全验证×
copy
已复制链接
快去分享给好友吧!
我知道了
右上角分享
点击右上角分享
0
联系我们:info@booksci.cn Book学术提供免费学术资源搜索服务,方便国内外学者检索中英文文献。致力于提供最便捷和优质的服务体验。 Copyright © 2023 布克学术 All rights reserved.
京ICP备2023020795号-1
ghs 京公网安备 11010802042870号
Book学术文献互助
Book学术文献互助群
群 号:604180095
Book学术官方微信