Evaluation of Notch1 and CD10 Expressions in Colorectal Carcinoma and Their Relationship with Prognosis.

Q3 Medicine
Iranian Journal of Pathology Pub Date : 2025-01-01 Epub Date: 2025-01-10 DOI:10.30699/ijp.2024.2029781.3304
Noha Elkady, Reham Ahmed Abdelaziz, Rania Abdallah
{"title":"Evaluation of Notch1 and CD10 Expressions in Colorectal Carcinoma and Their Relationship with Prognosis.","authors":"Noha Elkady, Reham Ahmed Abdelaziz, Rania Abdallah","doi":"10.30699/ijp.2024.2029781.3304","DOIUrl":null,"url":null,"abstract":"<p><strong>Background & objective: </strong>Even with improvements of colorectal cancer (CRC) treatment strategies, this cancer still has an unfavorable outcome. The primary cause of CRC development and recurrence is chemoresistance. CD10 and Notch1 are among cancer stem cell regulators, and they have roles in cancer progression and chemoresistance. This research aims to evaluate the expression of Notch1 and CD10 in CRC and their relationship with different clinicopathological parameters using immunohistochemistry.</p><p><strong>Methods: </strong>This retrospective study included 100 cases of colorectal carcinoma that were immunohistochemically stained using Notch1 and CD10 antibodies. Expression of Notch1 and CD10 was evaluated and compared with different clinicopathological parameters.</p><p><strong>Results: </strong>Notch1 expression was detected in the tumor and stromal cells in 92% of the cases, while CD10 expression was seen in 31% of tumor cells 79% of stromal cells of the included cases. Their expressions in tumor cells were significantly associated with higher grade (<i>P</i>=0.029 and 0.001), deeper invasion (<i>P</i>=0.01 and 0.002), advanced stage (<i>P</i>=0.012 and 0.001), and distant metastasis (<i>P</i>=0.001 and 0.02). Notch1 expression was positively correlated with CD10 expression (<i>P</i>=0.018). Both Notch1 expression and high CD10 expression in the stromal cells were associated with short overall survival (<i>P</i>=0.003 and 0.01).</p><p><strong>Conclusion: </strong>CD10 and Notch1 may have roles in colorectal carcinoma progression via induction of tumor invasion, metastasis and impairment of tumor response to therapy. CD10 and Notch1 could be used as biomarkers for aggressive CRC and may be considered for future target therapy.</p>","PeriodicalId":38900,"journal":{"name":"Iranian Journal of Pathology","volume":"20 1","pages":"68-75"},"PeriodicalIF":0.0000,"publicationDate":"2025-01-01","publicationTypes":"Journal Article","fieldsOfStudy":null,"isOpenAccess":false,"openAccessPdf":"https://www.ncbi.nlm.nih.gov/pmc/articles/PMC11887633/pdf/","citationCount":"0","resultStr":null,"platform":"Semanticscholar","paperid":null,"PeriodicalName":"Iranian Journal of Pathology","FirstCategoryId":"1085","ListUrlMain":"https://doi.org/10.30699/ijp.2024.2029781.3304","RegionNum":0,"RegionCategory":null,"ArticlePicture":[],"TitleCN":null,"AbstractTextCN":null,"PMCID":null,"EPubDate":"2025/1/10 0:00:00","PubModel":"Epub","JCR":"Q3","JCRName":"Medicine","Score":null,"Total":0}
引用次数: 0

Abstract

Background & objective: Even with improvements of colorectal cancer (CRC) treatment strategies, this cancer still has an unfavorable outcome. The primary cause of CRC development and recurrence is chemoresistance. CD10 and Notch1 are among cancer stem cell regulators, and they have roles in cancer progression and chemoresistance. This research aims to evaluate the expression of Notch1 and CD10 in CRC and their relationship with different clinicopathological parameters using immunohistochemistry.

Methods: This retrospective study included 100 cases of colorectal carcinoma that were immunohistochemically stained using Notch1 and CD10 antibodies. Expression of Notch1 and CD10 was evaluated and compared with different clinicopathological parameters.

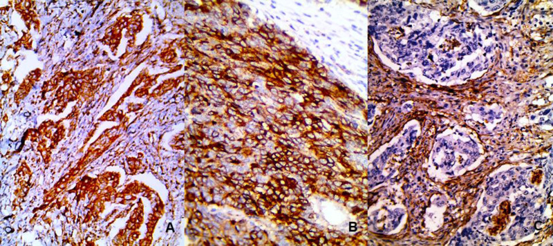
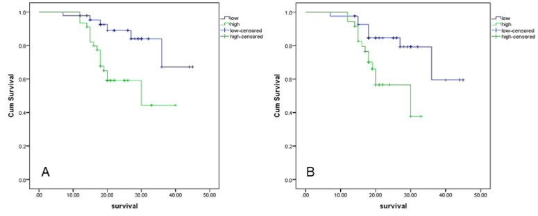
Results: Notch1 expression was detected in the tumor and stromal cells in 92% of the cases, while CD10 expression was seen in 31% of tumor cells 79% of stromal cells of the included cases. Their expressions in tumor cells were significantly associated with higher grade (P=0.029 and 0.001), deeper invasion (P=0.01 and 0.002), advanced stage (P=0.012 and 0.001), and distant metastasis (P=0.001 and 0.02). Notch1 expression was positively correlated with CD10 expression (P=0.018). Both Notch1 expression and high CD10 expression in the stromal cells were associated with short overall survival (P=0.003 and 0.01).

Conclusion: CD10 and Notch1 may have roles in colorectal carcinoma progression via induction of tumor invasion, metastasis and impairment of tumor response to therapy. CD10 and Notch1 could be used as biomarkers for aggressive CRC and may be considered for future target therapy.

Abstract Image

Abstract Image

Notch1和CD10在结直肠癌中的表达及其与预后的关系
背景与目的:即使结直肠癌(CRC)的治疗策略有所改善,这种癌症仍然有不利的结果。结直肠癌发生和复发的主要原因是化疗耐药。CD10和Notch1是癌症干细胞的调节因子,它们在癌症进展和化疗耐药中发挥作用。本研究旨在利用免疫组织化学方法评估Notch1和CD10在结直肠癌中的表达及其与不同临床病理参数的关系。方法:采用Notch1和CD10抗体进行免疫组织化学染色,对100例结直肠癌患者进行回顾性研究。观察Notch1和CD10的表达,并与不同的临床病理参数进行比较。结果:92%的病例肿瘤和间质细胞中检测到Notch1的表达,31%的肿瘤细胞中检测到CD10的表达,79%的间质细胞中检测到CD10的表达。它们在肿瘤细胞中的表达与肿瘤分级高(P=0.029和0.001)、浸润深度深(P=0.01和0.002)、晚期(P=0.012和0.001)和远处转移(P=0.001和0.02)相关。Notch1表达与CD10表达呈正相关(P=0.018)。基质细胞中Notch1表达和CD10高表达均与总生存期较短相关(P=0.003和0.01)。结论:CD10和Notch1可能通过诱导肿瘤侵袭、转移和损害肿瘤对治疗的反应而参与结直肠癌的进展。CD10和Notch1可以作为侵袭性结直肠癌的生物标志物,并可能被认为是未来的靶向治疗。
本文章由计算机程序翻译,如有差异,请以英文原文为准。
求助全文
约1分钟内获得全文 求助全文
来源期刊
Iranian Journal of Pathology
Iranian Journal of Pathology Medicine-Pathology and Forensic Medicine
CiteScore
2.00
自引率
0.00%
发文量
99
审稿时长
20 weeks
×
引用
GB/T 7714-2015
复制
MLA
复制
APA
复制
导出至
BibTeX EndNote RefMan NoteFirst NoteExpress
×
提示
您的信息不完整,为了账户安全,请先补充。
现在去补充
×
提示
您因"违规操作"
具体请查看互助需知
我知道了
×
提示
确定
请完成安全验证×
copy
已复制链接
快去分享给好友吧!
我知道了
右上角分享
点击右上角分享
0
联系我们:info@booksci.cn Book学术提供免费学术资源搜索服务,方便国内外学者检索中英文文献。致力于提供最便捷和优质的服务体验。 Copyright © 2023 布克学术 All rights reserved.
京ICP备2023020795号-1
ghs 京公网安备 11010802042870号
Book学术文献互助
Book学术文献互助群
群 号:604180095
Book学术官方微信