[18F]FDG- PET/CT Imaging Spectrum of the Most Prevalent Adrenal Lesions.

IF 0.5 Q4 RADIOLOGY, NUCLEAR MEDICINE & MEDICAL IMAGING
Indian Journal of Nuclear Medicine Pub Date : 2024-09-01 Epub Date: 2025-01-25 DOI:10.4103/ijnm.ijnm_63_24
Man Mohan Singh, Pravin Suresh Pareek, Lavish Kakkar, Priyamedha Bose Thakur, Satyawati Deswal
{"title":"[18F]FDG- PET/CT Imaging Spectrum of the Most Prevalent Adrenal Lesions.","authors":"Man Mohan Singh, Pravin Suresh Pareek, Lavish Kakkar, Priyamedha Bose Thakur, Satyawati Deswal","doi":"10.4103/ijnm.ijnm_63_24","DOIUrl":null,"url":null,"abstract":"<p><p>Detection of adrenal lesions either incidentally, or in symptomatic cases and/or during staging/restaging of oncological cases, it is very crucial to know the adrenal lesion is benign or malignant. Fluorodeoxyglucose positron emission tomography-computed tomography (FDG PET/CT) helps in this comprehensive evaluating process. Here, we present the most frequently facing adrenal lesions in routine oncological PET/CT scans. The aim of this presentation is to know the FDG uptake spectrum of various adrenal lesions on PET/CT scan so that increase the diagnostic accuracy and spectrum of differential diagnosis.</p>","PeriodicalId":45830,"journal":{"name":"Indian Journal of Nuclear Medicine","volume":"39 5","pages":"370-375"},"PeriodicalIF":0.5000,"publicationDate":"2024-09-01","publicationTypes":"Journal Article","fieldsOfStudy":null,"isOpenAccess":false,"openAccessPdf":"https://www.ncbi.nlm.nih.gov/pmc/articles/PMC11884355/pdf/","citationCount":"0","resultStr":null,"platform":"Semanticscholar","paperid":null,"PeriodicalName":"Indian Journal of Nuclear Medicine","FirstCategoryId":"1085","ListUrlMain":"https://doi.org/10.4103/ijnm.ijnm_63_24","RegionNum":0,"RegionCategory":null,"ArticlePicture":[],"TitleCN":null,"AbstractTextCN":null,"PMCID":null,"EPubDate":"2025/1/25 0:00:00","PubModel":"Epub","JCR":"Q4","JCRName":"RADIOLOGY, NUCLEAR MEDICINE & MEDICAL IMAGING","Score":null,"Total":0}
引用次数: 0

Abstract

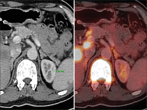
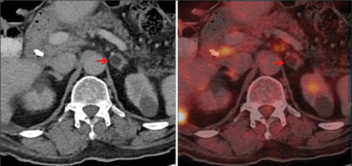
Detection of adrenal lesions either incidentally, or in symptomatic cases and/or during staging/restaging of oncological cases, it is very crucial to know the adrenal lesion is benign or malignant. Fluorodeoxyglucose positron emission tomography-computed tomography (FDG PET/CT) helps in this comprehensive evaluating process. Here, we present the most frequently facing adrenal lesions in routine oncological PET/CT scans. The aim of this presentation is to know the FDG uptake spectrum of various adrenal lesions on PET/CT scan so that increase the diagnostic accuracy and spectrum of differential diagnosis.

Abstract Image

Abstract Image

Abstract Image

[18F]张志强。FDG- PET/CT成像谱分析。
无论是偶然发现肾上腺病变,还是在有症状的病例和/或在肿瘤病例的分期/再分期中发现肾上腺病变,了解肾上腺病变是良性还是恶性是至关重要的。氟脱氧葡萄糖正电子发射断层扫描-计算机断层扫描(FDG PET/CT)有助于这一全面的评估过程。在这里,我们介绍了常规肿瘤PET/CT扫描中最常见的肾上腺病变。本报告的目的是了解各种肾上腺病变在PET/CT扫描上的FDG摄取谱,以提高诊断准确性和鉴别诊断谱。
本文章由计算机程序翻译,如有差异,请以英文原文为准。
求助全文
约1分钟内获得全文 求助全文
来源期刊
Indian Journal of Nuclear Medicine
Indian Journal of Nuclear Medicine RADIOLOGY, NUCLEAR MEDICINE & MEDICAL IMAGING-
CiteScore
0.70
自引率
0.00%
发文量
46
×
引用
GB/T 7714-2015
复制
MLA
复制
APA
复制
导出至
BibTeX EndNote RefMan NoteFirst NoteExpress
×
提示
您的信息不完整,为了账户安全,请先补充。
现在去补充
×
提示
您因"违规操作"
具体请查看互助需知
我知道了
×
提示
确定
请完成安全验证×
copy
已复制链接
快去分享给好友吧!
我知道了
右上角分享
点击右上角分享
0
联系我们:info@booksci.cn Book学术提供免费学术资源搜索服务,方便国内外学者检索中英文文献。致力于提供最便捷和优质的服务体验。 Copyright © 2023 布克学术 All rights reserved.
京ICP备2023020795号-1
ghs 京公网安备 11010802042870号
Book学术文献互助
Book学术文献互助群
群 号:604180095
Book学术官方微信