GALNT3 Mutation in Hyperphosphatemic Familial Tumoral Calcinosis - Novel Etiology of Secondary Amyloidosis.

IF 0.8 Q4 UROLOGY & NEPHROLOGY
Indian Journal of Nephrology Pub Date : 2025-03-01 Epub Date: 2024-06-24 DOI:10.25259/ijn_534_23
Sourabh Sharma, Sahil Arora, Renju Binoy, Anupam Agarwal, Pallavi Prasad, Himanshu Verma
{"title":"GALNT3 Mutation in Hyperphosphatemic Familial Tumoral Calcinosis - Novel Etiology of Secondary Amyloidosis.","authors":"Sourabh Sharma, Sahil Arora, Renju Binoy, Anupam Agarwal, Pallavi Prasad, Himanshu Verma","doi":"10.25259/ijn_534_23","DOIUrl":null,"url":null,"abstract":"<p><p>Tumoral calcinosis is a rare syndrome characterized by calcium salt deposition in different periarticular soft tissue regions. We report this case of tumoral calcinosis with history of persistent soft tissue calcifications for over three decades. He presented with nephrotic syndrome and kidney biopsy revealed secondary amyloidosis. Genetic evaluation revealed GALNT3 mutation and diagnosis of hyperphosphatemic familial tumoral calcinosis was made. With this case report, we want to reiterate the need to consider tumoral calcinosis in secondary amyloidosis differentials and the pivotal role of genetic workup in chronic soft tissue calcifications.</p>","PeriodicalId":13359,"journal":{"name":"Indian Journal of Nephrology","volume":"35 2","pages":"303-305"},"PeriodicalIF":0.8000,"publicationDate":"2025-03-01","publicationTypes":"Journal Article","fieldsOfStudy":null,"isOpenAccess":false,"openAccessPdf":"https://www.ncbi.nlm.nih.gov/pmc/articles/PMC11883317/pdf/","citationCount":"0","resultStr":null,"platform":"Semanticscholar","paperid":null,"PeriodicalName":"Indian Journal of Nephrology","FirstCategoryId":"1085","ListUrlMain":"https://doi.org/10.25259/ijn_534_23","RegionNum":0,"RegionCategory":null,"ArticlePicture":[],"TitleCN":null,"AbstractTextCN":null,"PMCID":null,"EPubDate":"2024/6/24 0:00:00","PubModel":"Epub","JCR":"Q4","JCRName":"UROLOGY & NEPHROLOGY","Score":null,"Total":0}
引用次数: 0

Abstract

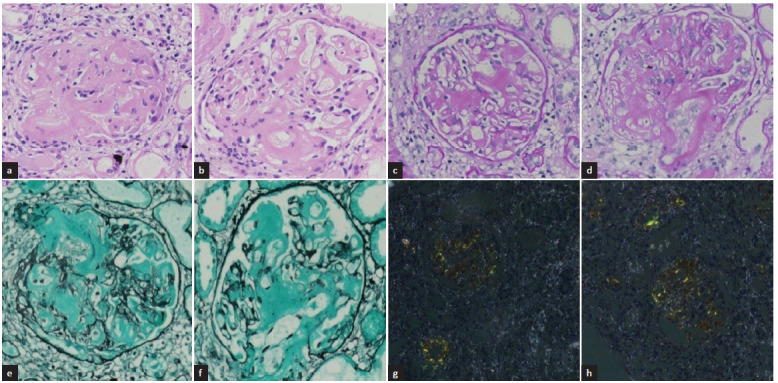
Tumoral calcinosis is a rare syndrome characterized by calcium salt deposition in different periarticular soft tissue regions. We report this case of tumoral calcinosis with history of persistent soft tissue calcifications for over three decades. He presented with nephrotic syndrome and kidney biopsy revealed secondary amyloidosis. Genetic evaluation revealed GALNT3 mutation and diagnosis of hyperphosphatemic familial tumoral calcinosis was made. With this case report, we want to reiterate the need to consider tumoral calcinosis in secondary amyloidosis differentials and the pivotal role of genetic workup in chronic soft tissue calcifications.

Abstract Image

Abstract Image

高磷血症家族性肿瘤钙质病中的GALNT3突变——继发性淀粉样变性的新病因。
肿瘤性钙质沉着症是一种罕见的以不同关节周围软组织区域的钙盐沉积为特征的综合征。我们报告这个病例的肿瘤钙化与历史的持续软组织钙化超过三十年。他表现为肾病综合征,肾活检显示继发性淀粉样变。遗传评估显示GALNT3突变,诊断为高磷血症家族性肿瘤钙质沉着症。在这个病例报告中,我们想重申在继发性淀粉样变性鉴别中考虑肿瘤钙化的必要性,以及在慢性软组织钙化中遗传检查的关键作用。
本文章由计算机程序翻译,如有差异,请以英文原文为准。
求助全文
约1分钟内获得全文 求助全文
来源期刊
Indian Journal of Nephrology
Indian Journal of Nephrology UROLOGY & NEPHROLOGY-
CiteScore
1.40
自引率
0.00%
发文量
128
审稿时长
24 weeks
×
引用
GB/T 7714-2015
复制
MLA
复制
APA
复制
导出至
BibTeX EndNote RefMan NoteFirst NoteExpress
×
提示
您的信息不完整,为了账户安全,请先补充。
现在去补充
×
提示
您因"违规操作"
具体请查看互助需知
我知道了
×
提示
确定
请完成安全验证×
copy
已复制链接
快去分享给好友吧!
我知道了
右上角分享
点击右上角分享
0
联系我们:info@booksci.cn Book学术提供免费学术资源搜索服务,方便国内外学者检索中英文文献。致力于提供最便捷和优质的服务体验。 Copyright © 2023 布克学术 All rights reserved.
京ICP备2023020795号-1
ghs 京公网安备 11010802042870号
Book学术文献互助
Book学术文献互助群
群 号:604180095
Book学术官方微信