A rare case of rib chondrosarcoma with purely mesenchymal cells metastases to thyroid.

IF 2.3 3区 医学 Q2 PATHOLOGY
Jia Wang, Fang Mei, Mingcheng Li, Shibing Song, Xin Li
{"title":"A rare case of rib chondrosarcoma with purely mesenchymal cells metastases to thyroid.","authors":"Jia Wang, Fang Mei, Mingcheng Li, Shibing Song, Xin Li","doi":"10.1186/s13000-025-01612-7","DOIUrl":null,"url":null,"abstract":"<p><p>Metastasis to the thyroid gland is uncommon. The most common malignant tumors that metastasize to the thyroid gland include renal cell carcinoma, colorectal cancer, lung cancer, and breast cancer. Metastasis of chondrosarcoma to thyroid is extremely rare.We describe a rare case of rib chondrosarcoma metastases to the thyroid gland. We reviewed patient characteristics, histological presentations, treatments, time of recurrence on chondrosarcoma, and metastasis situation. Additionally, we review all English articles reporting cases of chondrosarcoma metastasis to the thyroid gland that have been published in Embase, PubMed, and ISI WEB of Science databases (1981-2023) in this paper.Only 7 cases of chondrosarcoma metastasis to the thyroid have been reported, including one report written in French. (Otmany et al. in Médecine Du Maghreb 53-54, 2001). We found that most patients are female adults, with compression signs or pain, most of whose metastases occurred after several years, and whom have poor prognoses. The main examinations are CT and ultrasound, the primary treatment is surgery, and the major pathological characteristic is coexistence of chondrocytes and mesenchymal cells.The case we describe here is the first report of mesenchymal chondrosarcoma metastasis to the thyroid gland with only pure mesenchymal cells and no chondrocytes. Moreover, these rare cases highlight the necessary of communication between radiologists, histopathologists, and clinicians. It is meaningful to acquaint previous malignant tumor for diagnosing the metastases to the thyroid gland.</p>","PeriodicalId":11237,"journal":{"name":"Diagnostic Pathology","volume":"20 1","pages":"27"},"PeriodicalIF":2.3000,"publicationDate":"2025-03-07","publicationTypes":"Journal Article","fieldsOfStudy":null,"isOpenAccess":false,"openAccessPdf":"https://www.ncbi.nlm.nih.gov/pmc/articles/PMC11887081/pdf/","citationCount":"0","resultStr":null,"platform":"Semanticscholar","paperid":null,"PeriodicalName":"Diagnostic Pathology","FirstCategoryId":"3","ListUrlMain":"https://doi.org/10.1186/s13000-025-01612-7","RegionNum":3,"RegionCategory":"医学","ArticlePicture":[],"TitleCN":null,"AbstractTextCN":null,"PMCID":null,"EPubDate":"","PubModel":"","JCR":"Q2","JCRName":"PATHOLOGY","Score":null,"Total":0}
引用次数: 0

Abstract

Metastasis to the thyroid gland is uncommon. The most common malignant tumors that metastasize to the thyroid gland include renal cell carcinoma, colorectal cancer, lung cancer, and breast cancer. Metastasis of chondrosarcoma to thyroid is extremely rare.We describe a rare case of rib chondrosarcoma metastases to the thyroid gland. We reviewed patient characteristics, histological presentations, treatments, time of recurrence on chondrosarcoma, and metastasis situation. Additionally, we review all English articles reporting cases of chondrosarcoma metastasis to the thyroid gland that have been published in Embase, PubMed, and ISI WEB of Science databases (1981-2023) in this paper.Only 7 cases of chondrosarcoma metastasis to the thyroid have been reported, including one report written in French. (Otmany et al. in Médecine Du Maghreb 53-54, 2001). We found that most patients are female adults, with compression signs or pain, most of whose metastases occurred after several years, and whom have poor prognoses. The main examinations are CT and ultrasound, the primary treatment is surgery, and the major pathological characteristic is coexistence of chondrocytes and mesenchymal cells.The case we describe here is the first report of mesenchymal chondrosarcoma metastasis to the thyroid gland with only pure mesenchymal cells and no chondrocytes. Moreover, these rare cases highlight the necessary of communication between radiologists, histopathologists, and clinicians. It is meaningful to acquaint previous malignant tumor for diagnosing the metastases to the thyroid gland.

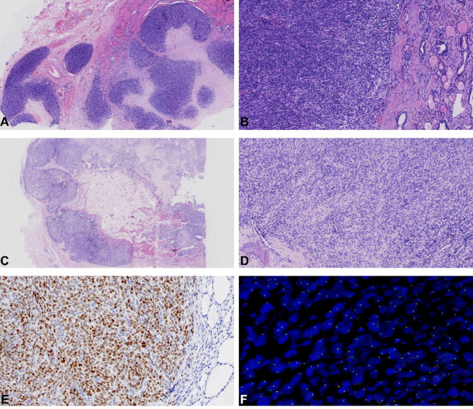
Abstract Image

肋骨软骨肉瘤合并纯粹间充质细胞转移至甲状腺的罕见病例。
转移到甲状腺是罕见的。最常见的转移到甲状腺的恶性肿瘤包括肾细胞癌、结直肠癌、肺癌和乳腺癌。软骨肉瘤转移到甲状腺是极为罕见的。我们描述一个罕见的肋骨软骨肉瘤转移到甲状腺的病例。我们回顾了患者的特点,组织学表现,治疗,软骨肉瘤复发的时间和转移情况。此外,我们回顾了所有发表在Embase、PubMed和ISI WEB of Science数据库(1981-2023)上的关于软骨肉瘤转移到甲状腺病例的英文文章。仅报道了7例软骨肉瘤转移到甲状腺的病例,其中包括一篇用法语写的报告。(Otmany et al. in m马格里布53-54,2001)。我们发现大多数患者是女性成年人,有压迫症状或疼痛,大多数转移发生在几年后,预后较差。主要检查为CT和超声,主要治疗为手术,主要病理特征为软骨细胞和间充质细胞共存。我们在这里描述的病例是第一个报告的间充质软骨肉瘤转移到甲状腺只有纯间充质细胞,没有软骨细胞。此外,这些罕见的病例强调了放射科医生、组织病理学家和临床医生之间沟通的必要性。了解既往恶性肿瘤对甲状腺转移的诊断有重要意义。
本文章由计算机程序翻译,如有差异,请以英文原文为准。
求助全文
约1分钟内获得全文 求助全文
来源期刊
Diagnostic Pathology
Diagnostic Pathology 医学-病理学
CiteScore
4.60
自引率
0.00%
发文量
93
审稿时长
1 months
期刊介绍: Diagnostic Pathology is an open access, peer-reviewed, online journal that considers research in surgical and clinical pathology, immunology, and biology, with a special focus on cutting-edge approaches in diagnostic pathology and tissue-based therapy. The journal covers all aspects of surgical pathology, including classic diagnostic pathology, prognosis-related diagnosis (tumor stages, prognosis markers, such as MIB-percentage, hormone receptors, etc.), and therapy-related findings. The journal also focuses on the technological aspects of pathology, including molecular biology techniques, morphometry aspects (stereology, DNA analysis, syntactic structure analysis), communication aspects (telecommunication, virtual microscopy, virtual pathology institutions, etc.), and electronic education and quality assurance (for example interactive publication, on-line references with automated updating, etc.).
×
引用
GB/T 7714-2015
复制
MLA
复制
APA
复制
导出至
BibTeX EndNote RefMan NoteFirst NoteExpress
×
提示
您的信息不完整,为了账户安全,请先补充。
现在去补充
×
提示
您因"违规操作"
具体请查看互助需知
我知道了
×
提示
确定
请完成安全验证×
copy
已复制链接
快去分享给好友吧!
我知道了
右上角分享
点击右上角分享
0
联系我们:info@booksci.cn Book学术提供免费学术资源搜索服务,方便国内外学者检索中英文文献。致力于提供最便捷和优质的服务体验。 Copyright © 2023 布克学术 All rights reserved.
京ICP备2023020795号-1
ghs 京公网安备 11010802042870号
Book学术文献互助
Book学术文献互助群
群 号:604180095
Book学术官方微信