Azacitidine-induced bullous pemphigoid-like localized toxic reaction.

IF 0.9 Q2 MEDICINE, GENERAL & INTERNAL
Einstein-Sao Paulo Pub Date : 2025-03-03 eCollection Date: 2025-01-01 DOI:10.31744/einstein_journal/2025RC0699
Rodrigo Brêtas Emerich Nogueira, Nelson Hidekazu Tatsui, Laura Ramos de Almeida, Marcella Soares Pincelli, Celina Wakisaka Maruta, José Antonio Sanches, Elvira Deolinda Rodrigues Pereira Velloso, Youko Nukui
{"title":"Azacitidine-induced bullous pemphigoid-like localized toxic reaction.","authors":"Rodrigo Brêtas Emerich Nogueira, Nelson Hidekazu Tatsui, Laura Ramos de Almeida, Marcella Soares Pincelli, Celina Wakisaka Maruta, José Antonio Sanches, Elvira Deolinda Rodrigues Pereira Velloso, Youko Nukui","doi":"10.31744/einstein_journal/2025RC0699","DOIUrl":null,"url":null,"abstract":"<p><p>Azacitidine is a hypomethylating agent recommended for the treatment of patients with high-risk myelodysplastic syndromes. Here, we report the case of a patient with myelodysplastic syndrome who was not eligible for allogeneic stem cell transplantation (allo-SCT) and presented with a rare and previously unreported cutaneous side effect after the use of subcutaneous azacitidine. We propose that changing the route of azacitidine administration from subcutaneous to intravenous could potentially decrease the occurrence of bullous pemphigoid-like localized toxic reactions in some patients.</p>","PeriodicalId":47359,"journal":{"name":"Einstein-Sao Paulo","volume":"23 ","pages":"eRC0699"},"PeriodicalIF":0.9000,"publicationDate":"2025-03-03","publicationTypes":"Journal Article","fieldsOfStudy":null,"isOpenAccess":false,"openAccessPdf":"https://www.ncbi.nlm.nih.gov/pmc/articles/PMC11869782/pdf/","citationCount":"0","resultStr":null,"platform":"Semanticscholar","paperid":null,"PeriodicalName":"Einstein-Sao Paulo","FirstCategoryId":"1085","ListUrlMain":"https://doi.org/10.31744/einstein_journal/2025RC0699","RegionNum":0,"RegionCategory":null,"ArticlePicture":[],"TitleCN":null,"AbstractTextCN":null,"PMCID":null,"EPubDate":"2025/1/1 0:00:00","PubModel":"eCollection","JCR":"Q2","JCRName":"MEDICINE, GENERAL & INTERNAL","Score":null,"Total":0}
引用次数: 0

Abstract

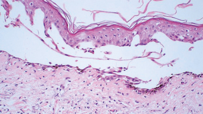
Azacitidine is a hypomethylating agent recommended for the treatment of patients with high-risk myelodysplastic syndromes. Here, we report the case of a patient with myelodysplastic syndrome who was not eligible for allogeneic stem cell transplantation (allo-SCT) and presented with a rare and previously unreported cutaneous side effect after the use of subcutaneous azacitidine. We propose that changing the route of azacitidine administration from subcutaneous to intravenous could potentially decrease the occurrence of bullous pemphigoid-like localized toxic reactions in some patients.

Abstract Image

Abstract Image

阿扎胞苷诱导的大疱性类天疱疮样局部毒性反应。
阿扎胞苷是一种低甲基化药物,推荐用于治疗高危骨髓增生异常综合征患者。在这里,我们报告了一例骨髓增生异常综合征患者,他不符合同种异体干细胞移植(alloc - sct)的条件,并且在使用皮下阿扎胞苷后出现了罕见且以前未报道的皮肤副作用。我们建议将阿扎胞苷的给药途径从皮下改为静脉注射,可能会减少一些患者大疱性类天疱疮样局部毒性反应的发生。
本文章由计算机程序翻译,如有差异,请以英文原文为准。
求助全文
约1分钟内获得全文 求助全文
来源期刊
Einstein-Sao Paulo
Einstein-Sao Paulo MEDICINE, GENERAL & INTERNAL-
CiteScore
2.00
自引率
0.00%
发文量
210
审稿时长
38 weeks
×
引用
GB/T 7714-2015
复制
MLA
复制
APA
复制
导出至
BibTeX EndNote RefMan NoteFirst NoteExpress
×
提示
您的信息不完整,为了账户安全,请先补充。
现在去补充
×
提示
您因"违规操作"
具体请查看互助需知
我知道了
×
提示
确定
请完成安全验证×
copy
已复制链接
快去分享给好友吧!
我知道了
右上角分享
点击右上角分享
0
联系我们:info@booksci.cn Book学术提供免费学术资源搜索服务,方便国内外学者检索中英文文献。致力于提供最便捷和优质的服务体验。 Copyright © 2023 布克学术 All rights reserved.
京ICP备2023020795号-1
ghs 京公网安备 11010802042870号
Book学术文献互助
Book学术文献互助群
群 号:604180095
Book学术官方微信