Percutaneous cystolitholapaxy in reconstructed bladder through the bowel segment.

IF 0.8 Q4 UROLOGY & NEPHROLOGY
Urology Annals Pub Date : 2025-01-01 Epub Date: 2025-01-18 DOI:10.4103/ua.ua_83_24
Razan Khalid Almesned, Abdulrahman Binjawhar, Waleed Altaweel, Mohammed Alomar
{"title":"Percutaneous cystolitholapaxy in reconstructed bladder through the bowel segment.","authors":"Razan Khalid Almesned, Abdulrahman Binjawhar, Waleed Altaweel, Mohammed Alomar","doi":"10.4103/ua.ua_83_24","DOIUrl":null,"url":null,"abstract":"<p><strong>Introduction: </strong>Calculous formation is a well-known complication of lower urinary tract reconstruction using an intestinal segment. Special considerations are required as access to the reconstructed bladder is complicated. To date, a standard strategy is yet to be accepted.</p><p><strong>Objective: </strong>This study aims to investigate the efficiency and safety of percutaneous cystolitholapaxy (PCCL) access.</p><p><strong>Materials and methods: </strong>This was a retrospective analysis of patients with reconstructed lower urinary tract who developed bladder stones and were treated with PCCL.</p><p><strong>Results: </strong>Seven patients underwent a total of nine PCCLs between 2019 and 2023. Sone burden ranged from 4 to 10 cm. No intraoperative complications were faced. Three patients had residual stone fragments < 7 mm in size. Suprapubic catheter was removed between days 0 and 3 postoperative. Cystostomy was left to close spontaneously, none of the patients developed peritoneal leak after removal. Patients with Mitrofanoff channel reported no leak or compromise to the continued mechanism. Predominant stone composition was magnesium ammonium phosphate (struvite) in seven cases.</p><p><strong>Conclusion: </strong>In our experience, PCCL accessing through bowel segment without tract closure in reconstructed bladder is a reliable and safe approach. When it comes to our patient selection, no limitations to this approach have been identified.</p>","PeriodicalId":23633,"journal":{"name":"Urology Annals","volume":"17 1","pages":"64-67"},"PeriodicalIF":0.8000,"publicationDate":"2025-01-01","publicationTypes":"Journal Article","fieldsOfStudy":null,"isOpenAccess":false,"openAccessPdf":"https://www.ncbi.nlm.nih.gov/pmc/articles/PMC11881946/pdf/","citationCount":"0","resultStr":null,"platform":"Semanticscholar","paperid":null,"PeriodicalName":"Urology Annals","FirstCategoryId":"1085","ListUrlMain":"https://doi.org/10.4103/ua.ua_83_24","RegionNum":0,"RegionCategory":null,"ArticlePicture":[],"TitleCN":null,"AbstractTextCN":null,"PMCID":null,"EPubDate":"2025/1/18 0:00:00","PubModel":"Epub","JCR":"Q4","JCRName":"UROLOGY & NEPHROLOGY","Score":null,"Total":0}
引用次数: 0

Abstract

Introduction: Calculous formation is a well-known complication of lower urinary tract reconstruction using an intestinal segment. Special considerations are required as access to the reconstructed bladder is complicated. To date, a standard strategy is yet to be accepted.

Objective: This study aims to investigate the efficiency and safety of percutaneous cystolitholapaxy (PCCL) access.

Materials and methods: This was a retrospective analysis of patients with reconstructed lower urinary tract who developed bladder stones and were treated with PCCL.

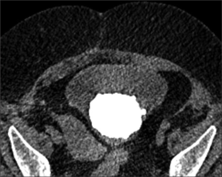
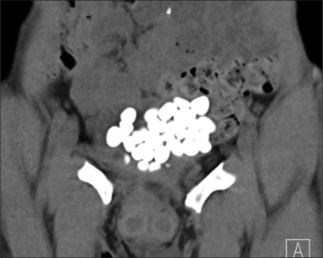
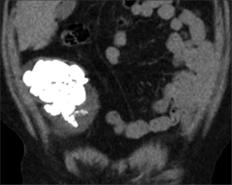
Results: Seven patients underwent a total of nine PCCLs between 2019 and 2023. Sone burden ranged from 4 to 10 cm. No intraoperative complications were faced. Three patients had residual stone fragments < 7 mm in size. Suprapubic catheter was removed between days 0 and 3 postoperative. Cystostomy was left to close spontaneously, none of the patients developed peritoneal leak after removal. Patients with Mitrofanoff channel reported no leak or compromise to the continued mechanism. Predominant stone composition was magnesium ammonium phosphate (struvite) in seven cases.

Conclusion: In our experience, PCCL accessing through bowel segment without tract closure in reconstructed bladder is a reliable and safe approach. When it comes to our patient selection, no limitations to this approach have been identified.

Abstract Image

Abstract Image

Abstract Image

经肠段重建膀胱的经皮膀胱石固定术。
导言:结石形成是众所周知的下尿路重建肠段并发症。由于进入重建膀胱的通道比较复杂,需要特别注意。到目前为止,一个标准的策略还没有被接受。目的:探讨经皮膀胱石固定术(PCCL)入路的有效性和安全性。材料和方法:本研究回顾性分析了下尿路重建后发生膀胱结石并采用PCCL治疗的患者。结果:7例患者在2019年至2023年期间共接受了9次pccl。一些负担从4到10厘米不等。术中无并发症。3例患者残留结石碎片小于7mm。耻骨上导管于术后第0天至第3天拔除。膀胱造口术自行关闭,术后无一例发生腹膜渗漏。使用米特罗法诺夫通道的患者报告没有泄漏或损害持续机制。7例结石主要成分为磷酸铵镁(鸟粪石)。结论:根据我们的经验,在重建膀胱中,经肠段不闭合的PCCL入路是可靠和安全的。当涉及到我们的患者选择时,这种方法没有局限性。
本文章由计算机程序翻译,如有差异,请以英文原文为准。
求助全文
约1分钟内获得全文 求助全文
来源期刊
Urology Annals
Urology Annals UROLOGY & NEPHROLOGY-
CiteScore
1.20
自引率
0.00%
发文量
59
审稿时长
31 weeks
×
引用
GB/T 7714-2015
复制
MLA
复制
APA
复制
导出至
BibTeX EndNote RefMan NoteFirst NoteExpress
×
提示
您的信息不完整,为了账户安全,请先补充。
现在去补充
×
提示
您因"违规操作"
具体请查看互助需知
我知道了
×
提示
确定
请完成安全验证×
copy
已复制链接
快去分享给好友吧!
我知道了
右上角分享
点击右上角分享
0
联系我们:info@booksci.cn Book学术提供免费学术资源搜索服务,方便国内外学者检索中英文文献。致力于提供最便捷和优质的服务体验。 Copyright © 2023 布克学术 All rights reserved.
京ICP备2023020795号-1
ghs 京公网安备 11010802042870号
Book学术文献互助
Book学术文献互助群
群 号:604180095
Book学术官方微信