Genetic Basis and Clinical Management of Schwannomatosis.

IF 1.7 4区 医学 Q4 CLINICAL NEUROLOGY
Journal of Korean Neurosurgical Society Pub Date : 2025-05-01 Epub Date: 2025-03-06 DOI:10.3340/jkns.2025.0001
Shohei Nagasaka, Ji Hoon Phi
{"title":"Genetic Basis and Clinical Management of Schwannomatosis.","authors":"Shohei Nagasaka, Ji Hoon Phi","doi":"10.3340/jkns.2025.0001","DOIUrl":null,"url":null,"abstract":"<p><p>Schwannomatosis (SWN) is now recognized as a broad classification that includes neurofibromatosis (NF) type 2, reflecting their shared genetic and phenotypic characteristics. Previously, SWN and NF type 2 were considered distinct clinical entities; however, the 2022 classification revision has unified them under the umbrella of SWN, with NF type 2 now referred to as NF2-related SWN. SWN arises from mutations in NF2, SMARCB1 (SWI/SNF related, matrix associated, actin dependent regulator of chromatin, subfamily b, member 1) or LZTR1 (leucine zipper like transcription regulator 1). Recent diagnostic criteria for SWN incorporate molecular classification, including \"NF2-related SWN\", \"SMARCB1-related SWN\", \"LZTR1-related SWN\", \"22q-related SWN\", \"SWN-not otherwise specified\", or \"SWN-not elsewhere classified\". NF2-related SWN is a genetic condition where all individuals with a germline or constitutional NF2 mutation are destined to develop the disease. The pathogenesis of SMARCB1- or LZTR1-related SWN follows a three-step, four-hit model. This involves retention of the mutated germline SMARCB1 or LZTR1 allele in the tumor, loss of the wild-type chromosome 22, and somatic mutation in the NF2 gene. Clinically, NF2-related SWN involves bilateral vestibular schwannomas, with treatment options including microsurgery, radiotherapy, and bevacizumab, each with specific benefits and limitations. Patients with SWN frequently present with chronic pain caused by schwannomas, which often does not correlate with tumor size, location, or burden. Management of SWN is primarily symptom-based. Surgical intervention is reserved for symptomatic lesions, particularly in cases of spinal cord compression or significant functional impairments. Multidisciplinary approaches to pain management are critical for enhancing quality of life. Although malignant transformation of schwannomas is a potential risk, the life expectancy of individuals with SWN is nearly normal. Despite advancements in understanding SWN, further research is necessary to elucidate the underlying genetic mechanisms and to develop targeted therapeutic strategies for this complex disorder.</p>","PeriodicalId":16283,"journal":{"name":"Journal of Korean Neurosurgical Society","volume":" ","pages":"286-293"},"PeriodicalIF":1.7000,"publicationDate":"2025-05-01","publicationTypes":"Journal Article","fieldsOfStudy":null,"isOpenAccess":false,"openAccessPdf":"https://www.ncbi.nlm.nih.gov/pmc/articles/PMC12062529/pdf/","citationCount":"0","resultStr":null,"platform":"Semanticscholar","paperid":null,"PeriodicalName":"Journal of Korean Neurosurgical Society","FirstCategoryId":"3","ListUrlMain":"https://doi.org/10.3340/jkns.2025.0001","RegionNum":4,"RegionCategory":"医学","ArticlePicture":[],"TitleCN":null,"AbstractTextCN":null,"PMCID":null,"EPubDate":"2025/3/6 0:00:00","PubModel":"Epub","JCR":"Q4","JCRName":"CLINICAL NEUROLOGY","Score":null,"Total":0}
引用次数: 0

Abstract

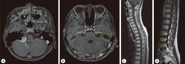
Schwannomatosis (SWN) is now recognized as a broad classification that includes neurofibromatosis (NF) type 2, reflecting their shared genetic and phenotypic characteristics. Previously, SWN and NF type 2 were considered distinct clinical entities; however, the 2022 classification revision has unified them under the umbrella of SWN, with NF type 2 now referred to as NF2-related SWN. SWN arises from mutations in NF2, SMARCB1 (SWI/SNF related, matrix associated, actin dependent regulator of chromatin, subfamily b, member 1) or LZTR1 (leucine zipper like transcription regulator 1). Recent diagnostic criteria for SWN incorporate molecular classification, including "NF2-related SWN", "SMARCB1-related SWN", "LZTR1-related SWN", "22q-related SWN", "SWN-not otherwise specified", or "SWN-not elsewhere classified". NF2-related SWN is a genetic condition where all individuals with a germline or constitutional NF2 mutation are destined to develop the disease. The pathogenesis of SMARCB1- or LZTR1-related SWN follows a three-step, four-hit model. This involves retention of the mutated germline SMARCB1 or LZTR1 allele in the tumor, loss of the wild-type chromosome 22, and somatic mutation in the NF2 gene. Clinically, NF2-related SWN involves bilateral vestibular schwannomas, with treatment options including microsurgery, radiotherapy, and bevacizumab, each with specific benefits and limitations. Patients with SWN frequently present with chronic pain caused by schwannomas, which often does not correlate with tumor size, location, or burden. Management of SWN is primarily symptom-based. Surgical intervention is reserved for symptomatic lesions, particularly in cases of spinal cord compression or significant functional impairments. Multidisciplinary approaches to pain management are critical for enhancing quality of life. Although malignant transformation of schwannomas is a potential risk, the life expectancy of individuals with SWN is nearly normal. Despite advancements in understanding SWN, further research is necessary to elucidate the underlying genetic mechanisms and to develop targeted therapeutic strategies for this complex disorder.

Abstract Image

Abstract Image

神经鞘瘤病的遗传基础及临床治疗。
神经鞘瘤病(SWN)现在被认为是一个广泛的分类,包括2型神经纤维瘤病(NF),反映了它们共同的遗传和表型特征。以前,SWN和NF 2型被认为是不同的临床实体;然而,2022年的分类修订将它们统一在SWN的保护伞下,NF2现在被称为nf2相关的SWN。SWN由NF2、SMARCB1或LZTR1突变引起。最近的SWN诊断标准包括分子分类,包括“nf2相关的SWN”、“smarcb1相关的SWN”、“lztr1相关的SWN”、“22q相关的SWN”、“SWN未另行指定”或“SWN未在其他地方分类”。NF2相关的SWN是一种遗传病,所有具有种系或体质NF2突变的个体都注定会患上这种疾病。SMARCB1-或lztr1相关SWN的发病机制遵循一个三步、四击模型。这包括肿瘤中突变的种系SMARCB1或LZTR1等位基因的保留,野生型22号染色体的丢失以及NF2基因的体细胞突变。临床上,nf2相关的SWN涉及双侧前庭神经鞘瘤,治疗选择包括显微手术、放疗和贝伐单抗,每种治疗方案都有特定的益处和局限性。SWN患者经常出现由神经鞘瘤引起的慢性疼痛,这通常与肿瘤的大小、位置或负担无关。SWN的治疗主要以症状为基础。手术干预保留用于症状性病变,特别是在脊髓受压或显著功能损伤的情况下。多学科方法的疼痛管理是提高生活质量的关键。虽然神经鞘瘤的恶性转化是一种潜在的风险,但SWN患者的预期寿命几乎是正常的。尽管对SWN的了解有所进展,但仍需要进一步研究以阐明潜在的遗传机制并制定针对这种复杂疾病的靶向治疗策略。
本文章由计算机程序翻译,如有差异,请以英文原文为准。
求助全文
约1分钟内获得全文 求助全文
来源期刊
CiteScore
2.90
自引率
6.20%
发文量
109
审稿时长
3-8 weeks
期刊介绍: The Journal of Korean Neurosurgical Society (J Korean Neurosurg Soc) is the official journal of the Korean Neurosurgical Society, and published bimonthly (1st day of January, March, May, July, September, and November). It launched in October 31, 1972 with Volume 1 and Number 1. J Korean Neurosurg Soc aims to allow neurosurgeons from around the world to enrich their knowledge of patient management, education, and clinical or experimental research, and hence their professionalism. This journal publishes Laboratory Investigations, Clinical Articles, Review Articles, Case Reports, Technical Notes, and Letters to the Editor. Our field of interest involves clinical neurosurgery (cerebrovascular disease, neuro-oncology, skull base neurosurgery, spine, pediatric neurosurgery, functional neurosurgery, epilepsy, neuro-trauma, and peripheral nerve disease) and laboratory work in neuroscience.
×
引用
GB/T 7714-2015
复制
MLA
复制
APA
复制
导出至
BibTeX EndNote RefMan NoteFirst NoteExpress
×
提示
您的信息不完整,为了账户安全,请先补充。
现在去补充
×
提示
您因"违规操作"
具体请查看互助需知
我知道了
×
提示
确定
请完成安全验证×
copy
已复制链接
快去分享给好友吧!
我知道了
右上角分享
点击右上角分享
0
联系我们:info@booksci.cn Book学术提供免费学术资源搜索服务,方便国内外学者检索中英文文献。致力于提供最便捷和优质的服务体验。 Copyright © 2023 布克学术 All rights reserved.
京ICP备2023020795号-1
ghs 京公网安备 11010802042870号
Book学术文献互助
Book学术文献互助群
群 号:604180095
Book学术官方微信