Outcome of photodynamic therapy with Rose Bengal in conjunction with topical PHMB and chlorhexidine combination in Acanthamoeba keratitis.

IF 2.3 Q1 OPHTHALMOLOGY
Bhupesh Bagga, Lakshminarayanan Gowtham, Lalit Kishore Ahirwar, Debkuntal Sen, Saumya Jakati, Md Hasnat Ali, Savitri Sharma
{"title":"Outcome of photodynamic therapy with Rose Bengal in conjunction with topical PHMB and chlorhexidine combination in Acanthamoeba keratitis.","authors":"Bhupesh Bagga, Lakshminarayanan Gowtham, Lalit Kishore Ahirwar, Debkuntal Sen, Saumya Jakati, Md Hasnat Ali, Savitri Sharma","doi":"10.1186/s12348-025-00466-w","DOIUrl":null,"url":null,"abstract":"<p><strong>Purpose: </strong>To report the outcome of Acanthamoeba keratitis, with early addition of Photo-dynamic antimicrobial therapy with Rose Bengal (PDAT-RB) to the medical treatment (combination of 0.02% Polyhexamethylene Biguanide (PH)and 0.02% chlorhexidine(CH)).</p><p><strong>Methods: </strong>Patients were recruited based on the infiltrate size being < 8 mm and limited to the mid stroma, < 300µ, and confirmed microbiological diagnosis. Along with the continuation of PHMB + CH, patients were also treated with PDAT-RB twice with a gap of one week using 0.1% w/v RB and green LED (525 nm) array immediately after the confirmation of diagnosis.</p><p><strong>Results: </strong>A total of 14 patients were enrolled. All the enrolled patients received adjuvant PDAT-RB within 5 (2.5 to 11) days of diagnosis. The average diameter and median depth of the infiltrate were 5.7 ± 1.56(V), 5.9 ± 1.38(H) mm, and 250 (250 to 300)µ, respectively. The mean LogMAR visual acuity at the time of presentation was 2.52 ± 0.95. Out of 14 enrolled patients, infection was resolved in 12 (85.7%) patients, whereas 2 (14.3%) patients needed TPK. The median days to resolve were 110 (67 to 150) days. The final mean LogMAR Visual acuity at the end of the follow-up was 1.60 ± 1.3.</p><p><strong>Conclusion: </strong>The study demonstrates the effective resolution of Acanthamoeba keratitis when treated with early adjuvant photodynamic antimicrobial therapy using Rose Bengal (PDAT-RB).</p>","PeriodicalId":16600,"journal":{"name":"Journal of Ophthalmic Inflammation and Infection","volume":"15 1","pages":"18"},"PeriodicalIF":2.3000,"publicationDate":"2025-03-05","publicationTypes":"Journal Article","fieldsOfStudy":null,"isOpenAccess":false,"openAccessPdf":"https://www.ncbi.nlm.nih.gov/pmc/articles/PMC11883065/pdf/","citationCount":"0","resultStr":null,"platform":"Semanticscholar","paperid":null,"PeriodicalName":"Journal of Ophthalmic Inflammation and Infection","FirstCategoryId":"1085","ListUrlMain":"https://doi.org/10.1186/s12348-025-00466-w","RegionNum":0,"RegionCategory":null,"ArticlePicture":[],"TitleCN":null,"AbstractTextCN":null,"PMCID":null,"EPubDate":"","PubModel":"","JCR":"Q1","JCRName":"OPHTHALMOLOGY","Score":null,"Total":0}
引用次数: 0

Abstract

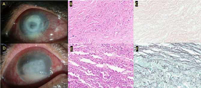
Purpose: To report the outcome of Acanthamoeba keratitis, with early addition of Photo-dynamic antimicrobial therapy with Rose Bengal (PDAT-RB) to the medical treatment (combination of 0.02% Polyhexamethylene Biguanide (PH)and 0.02% chlorhexidine(CH)).

Methods: Patients were recruited based on the infiltrate size being < 8 mm and limited to the mid stroma, < 300µ, and confirmed microbiological diagnosis. Along with the continuation of PHMB + CH, patients were also treated with PDAT-RB twice with a gap of one week using 0.1% w/v RB and green LED (525 nm) array immediately after the confirmation of diagnosis.

Results: A total of 14 patients were enrolled. All the enrolled patients received adjuvant PDAT-RB within 5 (2.5 to 11) days of diagnosis. The average diameter and median depth of the infiltrate were 5.7 ± 1.56(V), 5.9 ± 1.38(H) mm, and 250 (250 to 300)µ, respectively. The mean LogMAR visual acuity at the time of presentation was 2.52 ± 0.95. Out of 14 enrolled patients, infection was resolved in 12 (85.7%) patients, whereas 2 (14.3%) patients needed TPK. The median days to resolve were 110 (67 to 150) days. The final mean LogMAR Visual acuity at the end of the follow-up was 1.60 ± 1.3.

Conclusion: The study demonstrates the effective resolution of Acanthamoeba keratitis when treated with early adjuvant photodynamic antimicrobial therapy using Rose Bengal (PDAT-RB).

Abstract Image

Abstract Image

Abstract Image

光动力疗法联合局部PHMB和氯己定治疗棘阿米巴角膜炎的疗效。
目的:报道棘阿米巴角膜炎在药物治疗(0.02%聚己烯双胍(PH)和0.02%氯己定(CH)联合用药)的基础上,早期加用孟加拉玫瑰光动力抗菌治疗(PDAT-RB)的结果。方法:按浸润大小分为两组。结果:共纳入14例患者。所有入组患者均在诊断后5(2.5 ~ 11)天内接受PDAT-RB辅助治疗。浸润的平均直径为5.7±1.56(V),中位深度为5.9±1.38(H) mm,中位深度为250(250 ~ 300)µ。患者就诊时的平均LogMAR视力为2.52±0.95。在14例入组患者中,12例(85.7%)患者感染得到解决,而2例(14.3%)患者需要TPK。缓解的中位天数为110(67 ~ 150)天。随访结束时平均LogMAR视力为1.60±1.3。结论:本研究表明,早期辅助光动力抗菌治疗棘阿米巴角膜炎可有效解决。
本文章由计算机程序翻译,如有差异,请以英文原文为准。
求助全文
约1分钟内获得全文 求助全文
来源期刊
CiteScore
3.80
自引率
3.40%
发文量
39
审稿时长
13 weeks
×
引用
GB/T 7714-2015
复制
MLA
复制
APA
复制
导出至
BibTeX EndNote RefMan NoteFirst NoteExpress
×
提示
您的信息不完整,为了账户安全,请先补充。
现在去补充
×
提示
您因"违规操作"
具体请查看互助需知
我知道了
×
提示
确定
请完成安全验证×
copy
已复制链接
快去分享给好友吧!
我知道了
右上角分享
点击右上角分享
0
联系我们:info@booksci.cn Book学术提供免费学术资源搜索服务,方便国内外学者检索中英文文献。致力于提供最便捷和优质的服务体验。 Copyright © 2023 布克学术 All rights reserved.
京ICP备2023020795号-1
ghs 京公网安备 11010802042870号
Book学术文献互助
Book学术文献互助群
群 号:604180095
Book学术官方微信