Chiari malformation type 1 with combined nuclear PAX1 and DKK1 genes and mitochondrial D-loop variants: a case report.

IF 2.3 4区 医学 Q2 MEDICINE, GENERAL & INTERNAL
Croatian Medical Journal Pub Date : 2025-02-28
Siti Nornazihah Mohd Rosdi, Suzuanhafizan Omar, Mazira Mohamad Ghazali, Ab Rahman Izaini Ghani, Abdul Aziz Mohamed Yusoff
{"title":"Chiari malformation type 1 with combined nuclear PAX1 and DKK1 genes and mitochondrial D-loop variants: a case report.","authors":"Siti Nornazihah Mohd Rosdi, Suzuanhafizan Omar, Mazira Mohamad Ghazali, Ab Rahman Izaini Ghani, Abdul Aziz Mohamed Yusoff","doi":"","DOIUrl":null,"url":null,"abstract":"<p><p>Chiari malformation type 1 (CM 1) is a rare and complex neurological condition. This congenital condition affects the lower posterior fossa, where the brain connects to the spinal cord. Although the exact cause of CM 1 remains unclear, genetic predisposition plays a considerable role in structural defects of the cerebellum. Here, we report on a 15-year-old female patient with CM 1 who exhibited both nuclear and mitochondrial genetic variants, a combination that has not been previously described. We identified a silent mutation in exon 2 (c. 556 G>A, p. Lys185=) of PAX1 and a DKK1 variant in intron 3 (548-3 t>C) in the nuclear DNA. We also screened the D-loop region of mitochondrial DNA as it exhibits a higher susceptibility to mutations than other mitochondrial DNA regions. Several hotspot variants were revealed, including those in positions 303-309 and 16519 (t>C), as well as some variants that had not been documented in MITOMAP. Our findings highlight the potential role of genetic alterations in D-loop in CM 1.</p>","PeriodicalId":10796,"journal":{"name":"Croatian Medical Journal","volume":"66 1","pages":"56-61"},"PeriodicalIF":2.3000,"publicationDate":"2025-02-28","publicationTypes":"Journal Article","fieldsOfStudy":null,"isOpenAccess":false,"openAccessPdf":"https://www.ncbi.nlm.nih.gov/pmc/articles/PMC11947974/pdf/","citationCount":"0","resultStr":null,"platform":"Semanticscholar","paperid":null,"PeriodicalName":"Croatian Medical Journal","FirstCategoryId":"3","ListUrlMain":"","RegionNum":4,"RegionCategory":"医学","ArticlePicture":[],"TitleCN":null,"AbstractTextCN":null,"PMCID":null,"EPubDate":"","PubModel":"","JCR":"Q2","JCRName":"MEDICINE, GENERAL & INTERNAL","Score":null,"Total":0}
引用次数: 0

Abstract

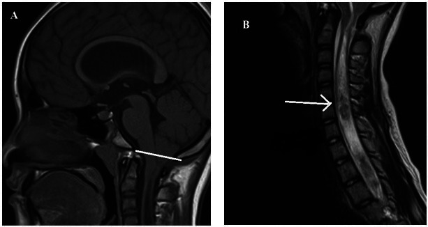
Chiari malformation type 1 (CM 1) is a rare and complex neurological condition. This congenital condition affects the lower posterior fossa, where the brain connects to the spinal cord. Although the exact cause of CM 1 remains unclear, genetic predisposition plays a considerable role in structural defects of the cerebellum. Here, we report on a 15-year-old female patient with CM 1 who exhibited both nuclear and mitochondrial genetic variants, a combination that has not been previously described. We identified a silent mutation in exon 2 (c. 556 G>A, p. Lys185=) of PAX1 and a DKK1 variant in intron 3 (548-3 t>C) in the nuclear DNA. We also screened the D-loop region of mitochondrial DNA as it exhibits a higher susceptibility to mutations than other mitochondrial DNA regions. Several hotspot variants were revealed, including those in positions 303-309 and 16519 (t>C), as well as some variants that had not been documented in MITOMAP. Our findings highlight the potential role of genetic alterations in D-loop in CM 1.

Abstract Image

Abstract Image

Abstract Image

合并核PAX1和DKK1基因和线粒体D-loop变异的1型Chiari畸形1例报告
1型Chiari畸形(CM 1)是一种罕见而复杂的神经系统疾病。这种先天性疾病影响大脑与脊髓连接的后窝。虽然cm1的确切病因尚不清楚,但遗传易感性在小脑结构缺陷中起着相当大的作用。在这里,我们报告了一位15岁的女性CM 1患者,她表现出核和线粒体遗传变异,这种组合以前没有被描述过。我们在PAX1的外显子2 (c. 556 G> a, p. Lys185=)和细胞核DNA的内含子3 (548- 3t > c)中发现了DKK1的突变。我们还筛选了线粒体DNA的d环区域,因为它比其他线粒体DNA区域更容易发生突变。发现了几个热点变异,包括303-309和16519 (t>C),以及一些未在MITOMAP中记录的变异。我们的发现强调了CM 1中D-loop基因改变的潜在作用。
本文章由计算机程序翻译,如有差异,请以英文原文为准。
求助全文
约1分钟内获得全文 求助全文
来源期刊
Croatian Medical Journal
Croatian Medical Journal 医学-医学:内科
CiteScore
3.00
自引率
5.30%
发文量
105
审稿时长
6-12 weeks
期刊介绍: Croatian Medical Journal (CMJ) is an international peer reviewed journal open to scientists from all fields of biomedicine and health related research. Although CMJ welcomes all contributions that increase and expand on medical knowledge, the two areas are of the special interest: topics globally relevant for biomedicine and health and medicine in developing and emerging countries.
×
引用
GB/T 7714-2015
复制
MLA
复制
APA
复制
导出至
BibTeX EndNote RefMan NoteFirst NoteExpress
×
提示
您的信息不完整,为了账户安全,请先补充。
现在去补充
×
提示
您因"违规操作"
具体请查看互助需知
我知道了
×
提示
确定
请完成安全验证×
copy
已复制链接
快去分享给好友吧!
我知道了
右上角分享
点击右上角分享
0
联系我们:info@booksci.cn Book学术提供免费学术资源搜索服务,方便国内外学者检索中英文文献。致力于提供最便捷和优质的服务体验。 Copyright © 2023 布克学术 All rights reserved.
京ICP备2023020795号-1
ghs 京公网安备 11010802042870号
Book学术文献互助
Book学术文献互助群
群 号:604180095
Book学术官方微信