Duodenal Peptic Ulcer Perforation in the Puerperium Case Report Series.

IF 0.6 Q4 PEDIATRICS
AJP Reports Pub Date : 2025-03-04 eCollection Date: 2025-01-01 DOI:10.1055/a-2533-2017
Elizabeth Stiles, Andre Robinson, Erin Fitzgerald, Marie Fleury, Andrew Rubenstein
{"title":"Duodenal Peptic Ulcer Perforation in the Puerperium Case Report Series.","authors":"Elizabeth Stiles, Andre Robinson, Erin Fitzgerald, Marie Fleury, Andrew Rubenstein","doi":"10.1055/a-2533-2017","DOIUrl":null,"url":null,"abstract":"<p><p>Peptic ulcers and complications, such as perforation, are rare during pregnancy and the puerperium. Accordingly, many clinicians may place these diagnoses low on their differential diagnosis. We present two case reports of primigravida, advanced maternal-age females with a history of irritable bowel syndrome and nonsteroidal anti-inflammatory drug use found to have perforated duodenal ulcers after cesarean section. Postpartum surgical abdomens may not present with classic guarding and rigidity. A low threshold for imaging and identification of risk factors is critical to timely diagnosis and management.</p>","PeriodicalId":7645,"journal":{"name":"AJP Reports","volume":"15 1","pages":"e32-e35"},"PeriodicalIF":0.6000,"publicationDate":"2025-03-04","publicationTypes":"Journal Article","fieldsOfStudy":null,"isOpenAccess":false,"openAccessPdf":"https://www.ncbi.nlm.nih.gov/pmc/articles/PMC11879482/pdf/","citationCount":"0","resultStr":null,"platform":"Semanticscholar","paperid":null,"PeriodicalName":"AJP Reports","FirstCategoryId":"1085","ListUrlMain":"https://doi.org/10.1055/a-2533-2017","RegionNum":0,"RegionCategory":null,"ArticlePicture":[],"TitleCN":null,"AbstractTextCN":null,"PMCID":null,"EPubDate":"2025/1/1 0:00:00","PubModel":"eCollection","JCR":"Q4","JCRName":"PEDIATRICS","Score":null,"Total":0}
引用次数: 0

Abstract

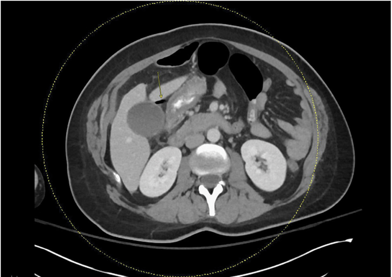
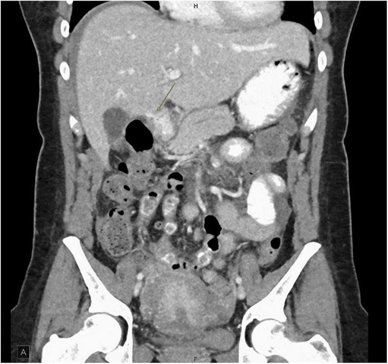
Peptic ulcers and complications, such as perforation, are rare during pregnancy and the puerperium. Accordingly, many clinicians may place these diagnoses low on their differential diagnosis. We present two case reports of primigravida, advanced maternal-age females with a history of irritable bowel syndrome and nonsteroidal anti-inflammatory drug use found to have perforated duodenal ulcers after cesarean section. Postpartum surgical abdomens may not present with classic guarding and rigidity. A low threshold for imaging and identification of risk factors is critical to timely diagnosis and management.

Abstract Image

Abstract Image

Abstract Image

产褥期十二指肠消化性溃疡穿孔病例报告系列。
消化性溃疡和并发症,如穿孔,是罕见的在怀孕和产褥期。因此,许多临床医生可能会将这些诊断放在鉴别诊断的较低位置。我们提出两个病例报告的原发,高龄产妇与肠易激综合征和非甾体抗炎药的历史,发现有穿孔的十二指肠溃疡剖宫产后。产后手术腹部可能不会出现典型的保护和僵硬。低阈值成像和识别危险因素是及时诊断和管理的关键。
本文章由计算机程序翻译,如有差异,请以英文原文为准。
求助全文
约1分钟内获得全文 求助全文
来源期刊
AJP Reports
AJP Reports PEDIATRICS-
CiteScore
2.20
自引率
0.00%
发文量
30
审稿时长
12 weeks
×
引用
GB/T 7714-2015
复制
MLA
复制
APA
复制
导出至
BibTeX EndNote RefMan NoteFirst NoteExpress
×
提示
您的信息不完整,为了账户安全,请先补充。
现在去补充
×
提示
您因"违规操作"
具体请查看互助需知
我知道了
×
提示
确定
请完成安全验证×
copy
已复制链接
快去分享给好友吧!
我知道了
右上角分享
点击右上角分享
0
联系我们:info@booksci.cn Book学术提供免费学术资源搜索服务,方便国内外学者检索中英文文献。致力于提供最便捷和优质的服务体验。 Copyright © 2023 布克学术 All rights reserved.
京ICP备2023020795号-1
ghs 京公网安备 11010802042870号
Book学术文献互助
Book学术文献互助群
群 号:604180095
Book学术官方微信