Late Giant Aortic Pseudoaneurysm Following Iatrogenic Aortic Dissection.

Q3 Medicine
AORTA Pub Date : 2024-08-01 Epub Date: 2025-03-03 DOI:10.1055/s-0045-1802990
Amritanshu Sinha, Metesh Nalin Acharya, Giovanni Mariscalco
{"title":"Late Giant Aortic Pseudoaneurysm Following Iatrogenic Aortic Dissection.","authors":"Amritanshu Sinha, Metesh Nalin Acharya, Giovanni Mariscalco","doi":"10.1055/s-0045-1802990","DOIUrl":null,"url":null,"abstract":"<p><p>Aortic pseudoaneurysm occurs in 10 to 24% of patients after acute type A aortic dissection repair. We report the case of a 72-year-old female who developed an intraoperative iatrogenic ascending aortic dissection following mitral valve repair. A giant ascending aortic pseudoaneurysm was detected on follow-up imaging. This case emphasizes the importance of close radiological surveillance following acute aortic dissection repair.</p>","PeriodicalId":52392,"journal":{"name":"AORTA","volume":" ","pages":"102-104"},"PeriodicalIF":0.0000,"publicationDate":"2024-08-01","publicationTypes":"Journal Article","fieldsOfStudy":null,"isOpenAccess":false,"openAccessPdf":"https://www.ncbi.nlm.nih.gov/pmc/articles/PMC11961214/pdf/","citationCount":"0","resultStr":null,"platform":"Semanticscholar","paperid":null,"PeriodicalName":"AORTA","FirstCategoryId":"1085","ListUrlMain":"https://doi.org/10.1055/s-0045-1802990","RegionNum":0,"RegionCategory":null,"ArticlePicture":[],"TitleCN":null,"AbstractTextCN":null,"PMCID":null,"EPubDate":"2025/3/3 0:00:00","PubModel":"Epub","JCR":"Q3","JCRName":"Medicine","Score":null,"Total":0}
引用次数: 0

Abstract

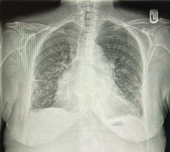
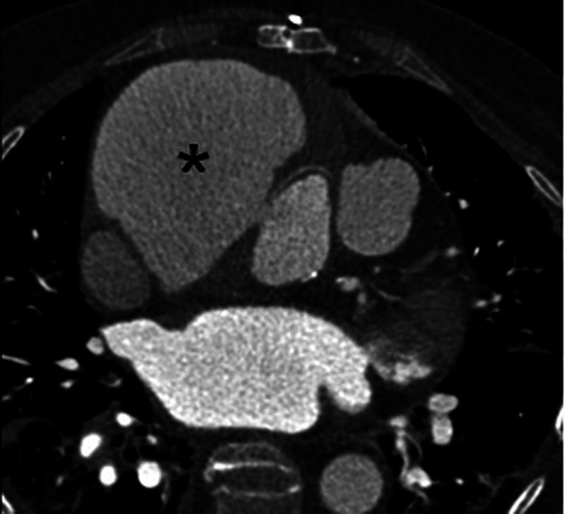
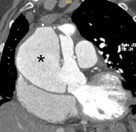
Aortic pseudoaneurysm occurs in 10 to 24% of patients after acute type A aortic dissection repair. We report the case of a 72-year-old female who developed an intraoperative iatrogenic ascending aortic dissection following mitral valve repair. A giant ascending aortic pseudoaneurysm was detected on follow-up imaging. This case emphasizes the importance of close radiological surveillance following acute aortic dissection repair.

Abstract Image

Abstract Image

Abstract Image

先天性主动脉夹层后的晚期巨大主动脉假动脉瘤
急性A型主动脉夹层修复术后10 ~ 24%的患者发生假性动脉瘤。我们报告的情况下,72岁的女性谁发展术中医源性升主动脉夹层后二尖瓣修复。在随访影像中发现巨大的升主动脉假性动脉瘤。本病例强调急性主动脉夹层修复后密切放射监测的重要性。
本文章由计算机程序翻译,如有差异,请以英文原文为准。
求助全文
约1分钟内获得全文 求助全文
来源期刊
AORTA
AORTA Medicine-Surgery
CiteScore
1.00
自引率
0.00%
发文量
119
×
引用
GB/T 7714-2015
复制
MLA
复制
APA
复制
导出至
BibTeX EndNote RefMan NoteFirst NoteExpress
×
提示
您的信息不完整,为了账户安全,请先补充。
现在去补充
×
提示
您因"违规操作"
具体请查看互助需知
我知道了
×
提示
确定
请完成安全验证×
copy
已复制链接
快去分享给好友吧!
我知道了
右上角分享
点击右上角分享
0
联系我们:info@booksci.cn Book学术提供免费学术资源搜索服务,方便国内外学者检索中英文文献。致力于提供最便捷和优质的服务体验。 Copyright © 2023 布克学术 All rights reserved.
京ICP备2023020795号-1
ghs 京公网安备 11010802042870号
Book学术文献互助
Book学术文献互助群
群 号:604180095
Book学术官方微信