Primary Follicular Lymphoma of Thyroid: A Rare Case Report with Review of the Literature.

Q3 Medicine
Iranian Journal of Pathology Pub Date : 2024-01-01 Epub Date: 2024-10-02 DOI:10.30699/ijp.2024.562997.2985
Shruthi K P, Lincy Joseph, Jeena V Chimmen
{"title":"Primary Follicular Lymphoma of Thyroid: A Rare Case Report with Review of the Literature.","authors":"Shruthi K P, Lincy Joseph, Jeena V Chimmen","doi":"10.30699/ijp.2024.562997.2985","DOIUrl":null,"url":null,"abstract":"<p><strong>Background & objective: </strong>Thyroid lymphomas are predominantly secondary to lymphoma at other sites, and primary follicular lymphoma of the thyroid is a very rare entity.</p><p><strong>Case presentation: </strong>Here, we report a case of a 62-year-old female who presented with swelling in the front of her neck for one month. The clinical diagnosis was a multinodular goiter. Fine needle aspiration cytology was done and reported as nodular colloid goiter with lymphocytic thyroiditis. The system examination was unremarkable. Histopathological assessments of the right hemithyroidectomy specimen revealed the effacement of thyroid architecture by abnormal and extensive lymphoid follicles. Immunohistochemistry revealed CD20, CD10, BCL2, and BCL6 positivity in the lymphoid follicles. FDG-PT CT scan demonstrated no evidence of lymphoma elsewhere. So, a e final diagnosis of follicular lymphoma of the thyroid was made.</p><p><strong>Conclusion: </strong>Due to the rarity and low prevalence of primary follicular lymphoma of the thyroid and challenging in its differentiation from Hashimoto's thyroiditis with dense lymphoplasmacytic infiltration and formation of lymphoid follicles, histopathologic diagnosis should be confirmed by immunohistochemical studies.</p>","PeriodicalId":38900,"journal":{"name":"Iranian Journal of Pathology","volume":"19 4","pages":"447-452"},"PeriodicalIF":0.0000,"publicationDate":"2024-01-01","publicationTypes":"Journal Article","fieldsOfStudy":null,"isOpenAccess":false,"openAccessPdf":"https://www.ncbi.nlm.nih.gov/pmc/articles/PMC11872031/pdf/","citationCount":"0","resultStr":null,"platform":"Semanticscholar","paperid":null,"PeriodicalName":"Iranian Journal of Pathology","FirstCategoryId":"1085","ListUrlMain":"https://doi.org/10.30699/ijp.2024.562997.2985","RegionNum":0,"RegionCategory":null,"ArticlePicture":[],"TitleCN":null,"AbstractTextCN":null,"PMCID":null,"EPubDate":"2024/10/2 0:00:00","PubModel":"Epub","JCR":"Q3","JCRName":"Medicine","Score":null,"Total":0}
引用次数: 0

Abstract

Background & objective: Thyroid lymphomas are predominantly secondary to lymphoma at other sites, and primary follicular lymphoma of the thyroid is a very rare entity.

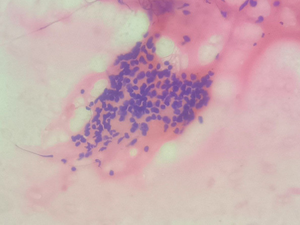
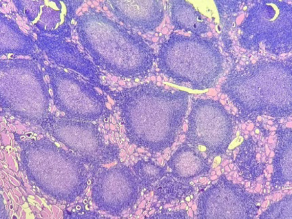
Case presentation: Here, we report a case of a 62-year-old female who presented with swelling in the front of her neck for one month. The clinical diagnosis was a multinodular goiter. Fine needle aspiration cytology was done and reported as nodular colloid goiter with lymphocytic thyroiditis. The system examination was unremarkable. Histopathological assessments of the right hemithyroidectomy specimen revealed the effacement of thyroid architecture by abnormal and extensive lymphoid follicles. Immunohistochemistry revealed CD20, CD10, BCL2, and BCL6 positivity in the lymphoid follicles. FDG-PT CT scan demonstrated no evidence of lymphoma elsewhere. So, a e final diagnosis of follicular lymphoma of the thyroid was made.

Conclusion: Due to the rarity and low prevalence of primary follicular lymphoma of the thyroid and challenging in its differentiation from Hashimoto's thyroiditis with dense lymphoplasmacytic infiltration and formation of lymphoid follicles, histopathologic diagnosis should be confirmed by immunohistochemical studies.

Abstract Image

Abstract Image

Abstract Image

甲状腺原发性滤泡性淋巴瘤1例报告并文献复习。
背景与目的:甲状腺淋巴瘤主要继发于其他部位的淋巴瘤,原发性甲状腺滤泡性淋巴瘤是非常罕见的。病例介绍:在这里,我们报告一个62岁的女性谁提出了肿胀在她的脖子前面一个月。临床诊断为多结节性甲状腺肿。细针穿刺细胞学检查结果为结节性胶质甲状腺肿伴淋巴细胞性甲状腺炎。系统检查无明显异常。右半甲状腺切除术标本的组织病理学评估显示甲状腺结构被异常和广泛的淋巴滤泡所淡化。免疫组化显示淋巴滤泡中CD20、CD10、BCL2和BCL6阳性。FDG-PT CT扫描未见其他部位淋巴瘤。因此,最终诊断为甲状腺滤泡性淋巴瘤。结论:原发性甲状腺滤泡性淋巴瘤罕见且发病率低,且难以与伴有淋巴浆细胞密集浸润及淋巴滤泡形成的桥本甲状腺炎鉴别,故组织病理学诊断应通过免疫组织化学检查予以证实。
本文章由计算机程序翻译,如有差异,请以英文原文为准。
求助全文
约1分钟内获得全文 求助全文
来源期刊
Iranian Journal of Pathology
Iranian Journal of Pathology Medicine-Pathology and Forensic Medicine
CiteScore
2.00
自引率
0.00%
发文量
99
审稿时长
20 weeks
×
引用
GB/T 7714-2015
复制
MLA
复制
APA
复制
导出至
BibTeX EndNote RefMan NoteFirst NoteExpress
×
提示
您的信息不完整,为了账户安全,请先补充。
现在去补充
×
提示
您因"违规操作"
具体请查看互助需知
我知道了
×
提示
确定
请完成安全验证×
copy
已复制链接
快去分享给好友吧!
我知道了
右上角分享
点击右上角分享
0
联系我们:info@booksci.cn Book学术提供免费学术资源搜索服务,方便国内外学者检索中英文文献。致力于提供最便捷和优质的服务体验。 Copyright © 2023 布克学术 All rights reserved.
京ICP备2023020795号-1
ghs 京公网安备 11010802042870号
Book学术文献互助
Book学术文献互助群
群 号:604180095
Book学术官方微信