Mucinous Tubular and Spindle Cell Carcinoma: Case Report and Literature Review.

IF 1.9 Q3 ONCOLOGY
Journal of Kidney Cancer and VHL Pub Date : 2025-02-25 eCollection Date: 2025-01-01 DOI:10.15586/jkc.v12i1.354
S L Tsang, S S Hsu, Cheung An, Shb Ho, Atl Ng
{"title":"Mucinous Tubular and Spindle Cell Carcinoma: Case Report and Literature Review.","authors":"S L Tsang, S S Hsu, Cheung An, Shb Ho, Atl Ng","doi":"10.15586/jkc.v12i1.354","DOIUrl":null,"url":null,"abstract":"<p><p>Mucinous tubular and spindle cell carcinoma (MTSCC) is a rare type of renal cell carcinoma (RCC) recognized as an independent entity in the latest WHO (World Health Organization) classification. We here report a case of a 51-year-old female patient with MTSCC, who presented with abdominal pain and left lower pole kidney lesion on the computed tomography scan. A robotic-assisted laparoscopic partial nephrectomy was performed. The diagnosis was confirmed on histopathological examination. MTSCC is rare and generally indolent. Either partial or radical nephrectomy is usually curative. The prognosis is usually favorable. However, occasionally, MTSCC could demonstrate aggressive features requiring systemic therapy. There are also several mimickers of MTSCC, which carry different prognostic and treatment profiles. Histological, immunohistochemical, and molecular genetic profile are useful in diagnosing the disease.</p>","PeriodicalId":44291,"journal":{"name":"Journal of Kidney Cancer and VHL","volume":"12 1","pages":"6-11"},"PeriodicalIF":1.9000,"publicationDate":"2025-02-25","publicationTypes":"Journal Article","fieldsOfStudy":null,"isOpenAccess":false,"openAccessPdf":"https://www.ncbi.nlm.nih.gov/pmc/articles/PMC11870379/pdf/","citationCount":"0","resultStr":null,"platform":"Semanticscholar","paperid":null,"PeriodicalName":"Journal of Kidney Cancer and VHL","FirstCategoryId":"1085","ListUrlMain":"https://doi.org/10.15586/jkc.v12i1.354","RegionNum":0,"RegionCategory":null,"ArticlePicture":[],"TitleCN":null,"AbstractTextCN":null,"PMCID":null,"EPubDate":"2025/1/1 0:00:00","PubModel":"eCollection","JCR":"Q3","JCRName":"ONCOLOGY","Score":null,"Total":0}
引用次数: 0

Abstract

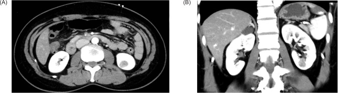
Mucinous tubular and spindle cell carcinoma (MTSCC) is a rare type of renal cell carcinoma (RCC) recognized as an independent entity in the latest WHO (World Health Organization) classification. We here report a case of a 51-year-old female patient with MTSCC, who presented with abdominal pain and left lower pole kidney lesion on the computed tomography scan. A robotic-assisted laparoscopic partial nephrectomy was performed. The diagnosis was confirmed on histopathological examination. MTSCC is rare and generally indolent. Either partial or radical nephrectomy is usually curative. The prognosis is usually favorable. However, occasionally, MTSCC could demonstrate aggressive features requiring systemic therapy. There are also several mimickers of MTSCC, which carry different prognostic and treatment profiles. Histological, immunohistochemical, and molecular genetic profile are useful in diagnosing the disease.

Abstract Image

Abstract Image

粘液管状和梭形细胞癌:1例报告及文献复习。
粘液管状和梭形细胞癌(MTSCC)是一种罕见的肾细胞癌(RCC)类型,在最新的WHO(世界卫生组织)分类中被认为是一个独立的实体。我们在此报告一例51岁的MTSCC女性患者,她在计算机断层扫描上表现为腹痛和左肾下极病变。进行机器人辅助腹腔镜部分肾切除术。经组织病理学检查确诊。MTSCC是罕见的,通常是惰性的。部分或根治性肾切除术通常是可治愈的。预后通常是良好的。然而,偶尔,MTSCC可能表现出需要全身治疗的侵袭性特征。还有几种MTSCC的模拟物,它们具有不同的预后和治疗概况。组织学,免疫组织化学和分子遗传谱对诊断疾病有用。
本文章由计算机程序翻译,如有差异,请以英文原文为准。
求助全文
约1分钟内获得全文 求助全文
来源期刊
自引率
6.20%
发文量
22
审稿时长
4 weeks
×
引用
GB/T 7714-2015
复制
MLA
复制
APA
复制
导出至
BibTeX EndNote RefMan NoteFirst NoteExpress
×
提示
您的信息不完整,为了账户安全,请先补充。
现在去补充
×
提示
您因"违规操作"
具体请查看互助需知
我知道了
×
提示
确定
请完成安全验证×
copy
已复制链接
快去分享给好友吧!
我知道了
右上角分享
点击右上角分享
0
联系我们:info@booksci.cn Book学术提供免费学术资源搜索服务,方便国内外学者检索中英文文献。致力于提供最便捷和优质的服务体验。 Copyright © 2023 布克学术 All rights reserved.
京ICP备2023020795号-1
ghs 京公网安备 11010802042870号
Book学术文献互助
Book学术文献互助群
群 号:604180095
Book学术官方微信